Премоляры верхней челюсти фото: ВТОРОЙ ПРЕМОЛЯР ВЕРХНЕЙ ЧЕЛЮСТИ
Занятие №14. Премоляры нижн. челюсти
Занятие 14
Частная анатомия постоянного прикуса.
Премоляры нижней челюсти.
Учебная цель: Обучить студентов особенностям анатомического строения премоляров нижней челюсти. Научиться находить отличительные признаки первого и второго премоляра, принадлежности зубов к правой и левой сторонам.
Продолжительность занятия: 2 часа
Место проведения занятия: клиническая база
План практического занятия:
Этапы занятия | Оборудования | Время | |
1. Проверка присутствия студентов | 2 мин. | ||
2. Инструктаж преподавателя | 3 мин. | ||
3. Тестовый контроль исходных знаний | Тестовые задания | 10 мин. | |
4. Устный контроль исходных знаний | Контрольные вопросы | 20 мин. | |
5. Разбор темы практического занятия | Практические руководства, методические пособия | 10 мин. | |
6. Работа с мануальными навыками | Материал для лепки искусственных зубов и инструменты | Слайды, картинки, презентации | 30 мин. |
7. Контроль усвоения материала | Вопросы для контроля результатов усвоения материала | 10 мин. | |
8. Задание на следующее занятие | 5 мин. |
Вопросы, изученные ранее и необходимые для проведения занятия:
Отличительные признаки первого и второго премоляров верхней челюсти
Определение принадлежности к стороне премоляров верхней челюсти
Признаки кривизны корня и коронки, угла коронки
Первый премоляр нижней челюсти
Имеет коронку округлой формы
С вестибулярной поверхности выделяют
продольный, медиальный, дистальный
валики, рвущий бугор и два углубления:
медиальное, дистальное, также имеется
дополнительный дистальный бугорок.
С оральной поверхности выделяют шесть валиков: основной продольный вестибулярный, медиальный вестибулярный, дистальный вестибулярный, про дольный язычный, дистальный язычный, медиальный язычный два режущих бугра: вестибулярный (выражен лучше), язычный, два бугорка: медиально язычный, дистально язычный, два вестибулярных углубления: дистальное( состоит из латеральной и медиальной части), медиальное. Выражена центральная фиссура.
С боковых поверхностей выделяют три верхушки вестибулярного продольного, вестибулярного медиального/дистального, язычного продольного валиков, контактную поверхность, медиальный или дистальный язычный валик, коронарорадикулярную борозду.
С окклюзионной поверхности выделяют четыре верхушки: продольного вестибулярного валика, медиального вестибулярного валика, дистального вестибулярного валика, про дольного язычного валика, также дополнительный дистальный валик, центральную фиссуру, коронорадикулярную борозду, две ямки образованные буграми: дистальная, медиальная.
Корень один, прямой, овальной формы, слегка сплюснут с боков. На передней и задней поверхности проходят неглубокие бороздки.
Высота коронки по щечной поверхности 7,5 — 11 мм
Высота коронки по лингвальной поверхности 5 — 6 мм
Ширина 6 — 8 мм
Медио-дистальный диаметр шейки зуба 8,2 — 8,6 мм
Щечно-лингвальный диаметр шейки зуба 5,4 — 5,8 мм
Длина корня 13 — 16 мм
Второй премоляр нижней челюсти
Очень вариабильный зуб внутри своего класса, проявляется в различном соотношении между вестибулярной и язычной частями коронки и в количестве бугров (2,3,4,5).
С вестибулярной поверхности чаще всего
выделяют три валика: продольный,
медиальный, дистальный, с двумя
углублениями : медиальным и дистальным,
рвущий бугор, дополнительный бугорок.
С оральной поверхности выделяют три рвущих бугра: вестибулярный, медиальный язычный, дистальный язычный, медиальный вестибулярный бугорок, дополнительный дистальный вестибулярный бугорок, две фистулы: центральная, лингвальная.
На боковых поверхностях выделяют по пять валиков: продольный вестибулярный, дистальный вестибулярный, дополнительный дистальный вестибулярный, продольный медиальный, про дольный дистальный, контактную поверхность.
Полость коронки цилиндрической формы. Лингвальный рог больше, чем у первого премоляра.
Корень один, конусовидной формы. Слегка уплощен, боковые поверхности почти лишены продольных борозд.
Хорошо выражен признак корня.
Высота коронки по щечной поверхности 7 — 9,5 мм
Ширина 7 — 8 мм
Медио-дистальный диаметр шейки зуба 4,5 — 6,5 мм
Щечно-лингвальный диаметр шейки зуба 8 — 9,5 мм
Длина корня 14 — 17 мм
Первый нижний премоляр
Второй нижний премоляр
Вопросы для контроля усвоения материала:
1.Назовите отличительные особенности первого и второго премоляра нижней челюсти;
2.Какие поверхности выделяют у премоляров;
3.Какую форму имеют премоляры с боковых поверхностей;
4.
Какую форму имеет полость зуба;
5.Какие фиссуры выделяют на первом и втором премолярах нижней челюсти.
Литература
Фантомный курс терапевтической стоматологии. Атлас. Ю.М. Максимовский, учеб. Пособие. –М. «Медицина», 2005. – 328с.
Пропедевтическая стоматология. М.М.Пожарицкая , Т.Г.Симакова, М., «Медицина», 2004. – 304с.
Ортопедическая стоматология Под ред. В.Н. Трезубова.-7-е изд., перераб. И доп. – Спб.: Фолиант, 2006. – 592 с.Хирургическая стоматология Робустова
Фантомный курс терапевтической стоматологии. А.И. Николаев, Л.М. Цепов «Медпресс-информ» М.2009., 430с.
Пропедевтическая стоматология. Учебник. Под редакцией профессора Э.А. Базикяна. М. «ГЭОТАР-Медиа», 2010.
«Анатомия зубов человека» И.В. Гайворонский, Т.Б. Петрова;
«Художественное моделирование и реставрация зубов» Л.М. Ломиашвили, Л.Г. Аюпова;
«Пропедевтика стоматологических заболеваний» Л.А. Скорикова, В.А. Волков, Н.П. Баженова, Н.В. Лапина, И.В. Еричев.
Примеры работ Денющенкова Вадима Леонидовича
Пример 1
Цельнокерамические коронки «E-max» и коронки на основе диоксида циркония с опорой на имплантаты
Пример 2
Восстановление передних зубов верхней челюсти керамическими винирами «E-max»
Пример 3
Восстановление формы и цвета передних зубов керамическими винирами «E-max»
Пример 4
Тотальное протезирование верхнего и нижнего зубных рядов керамическими винирами «E-max» и коронками на основе диоксида циркония
Тотальное протезирование полости рта коронками на основе диоксида циркония
Пример 5
Ортодонтическая коррекция аномалий положения зубов с помощью технологии прозрачных капп «Invisalign»(США) (лечение без брекетов)
Пациентка 29 лет обратилась в клинику с жалобами на не удовлетворительный эстетический вид улыбки.
Продолжительность лечения 18 мес.
Пример 6
Пациент 19 лет. Обратился в клинику с жалобами на эстетический недостаток своей улыбки. Была проведена ортодонтическая коррекция данной аномалии с помощью несъемной аппаратуры (брекет-система «Damon») путем удаления более разрушенного 2-го премоляра верхней челюсти слева, перемещения интактного (здорового) 1–го премоляра на место удаленного и создания места для аномально расположенного клыка.
Пример 7
Тотальное протезирование полости рта керамическими коронками «E-max»
Пример 8
Тотальное протезирование полости рта керамическими коронками «E-max» и коронками на основе диоксида циркония.
Пример 9
Тотальное протезирование полости рта коронками на основе диоксида циркония
Пример 10
Пациентка 29 лет. Обратилась в клинику с жалобами на эстетический недостаток своей улыбки. Была проведена ортодонтическая коррекция данной аномалии с помощью несъемной аппаратуры (брекет-система «Damon»).
Срок лечения 20 месяцев
Пример 11
Пример 12
Пациентка 28 лет обратилась в клинику «ПрезиДЕНТ» с жалобами на эстетический дефект улыбки, небное расположение клыка верхней челюсти справа.
Пациентке было проведено ортодонтическое лечение с помощью брекет-системы «Damon Clear».
Срок лечения 21 месяц.
Пример 13
Пациентка, 38 лет, обратилась в клинику «Президент» с жалобами на не эстетичный вид улыбки, скученное расположение передних зубов верхней и нижней челюстей.
Было проведено ортодонтическое лечение обеих челюстей с помощью несъемной аппаратуры (брекет-система «Damon Clear»).
Срок лечения 2 года.
Пример 14
Пациентка 29 лет обратилась в клинику «ПрезиДЕНТ» с целью восстановления разрушенного нижнего правого 6-го зуба.
После обследования пациентке было предложено вначале устранить возникшее смещение верхнего 6-го зуба вниз с помощью ортодонтического лечения техникой сегментарных дуг (провести ортодонтическую интрузию), а затем восстановить нижний 6-й зуб коронкой.
Срок лечения 4 месяца.
Пример 15
Пациентка 38 лет обратилась в клинику «ПрезиДЕНТ» с целью восстановления зубных рядов. В области отсутствующих зубов были установлены имплантаты и в последующем проведена тотальная реабилитация полости рта с повышением «высоты прикуса», с восстановлением каждого зуба одиночной реставрацией из материала «Emax».
Пример 16
Пациент 16 лет обратился в клинику «ПрезиДЕНТ» с жалобами на не ровные зубы. Было проведено ортодонтическое лечение обеих челюстей с помощью брекет-системы «Damon».
Срок лечения 19 мес.
Пример 17
Пациент 14 лет обратился в стоматологическую клинику «Президент» с жалобами на скученность передних зубов нижней челюсти.
Было проведено ортодонтическое лечение обеих челюстей с помощью брекет-системы «Damon».
Срок лечения 12 мес.
Пример 18
Пациент 15 лет обратился в клинику «ПрезиДЕНТ» с жалобами на неправильный прикус.
Была проведена ортодонтическая коррекция обеих челюстей с помощью брекет-системы «Damon».
Срок лечения 27 мес.
Пример 19
Пациентка 13 лет обратилась в стоматологическую клинику «Президент» с жалобами на скученность передних зубов нижней челюсти, не эстетичный вид улыбки.
Было проведено ортодонтическое лечение обеих челюстей с помощью брекет-системы «Damon».
Срок лечения 18 мес.
Пример 20
Пациентка 13 лет обратилась в стоматологическую клинику «Президент» с жалобами на выступающий вперед правый клык на верхней челюсти, не эстетичный вид улыбки.
Было проведено ортодонтическое лечение обеих челюстей с помощью брекет-системы «Damon».
Срок лечения 12 мес.
Пример 21
Пациентка 17 лет обратилась в стоматологическую клинику «Президент» с жалобами на скученность зубов на нижней челюсти, не эстетичный вид улыбки.
Было проведено ортодонтическое лечение обеих челюстей с помощью брекет-системы «Damon».
Срок лечения 13 мес.
Пример 22
Пациент 58 лет обратился в 2014 году в клинику «ПрезиДЕНТ» с целью протезирования.
Было проведено комплексное лечение, включающее профессиональную гигиену, терпевтическую и хирургическую санацию полости рта, операцию двустороннего синус-лифтинга, установку 9-ти имплантатов, тотальное эстетическое и функциональное протезирование.
Пример 23
Пациентка 14 лет обратилась в стоматологический комплекс «ПрезиДЕНТ» с жалобами на не устраивающее её положение зубов после ранее проведенного ортодонтического лечения.
Была проведена ортодонтическая корреция с помощью брекет-системы «Damon».
Cрок лечения 13 месяцев.
Пример 24
Пациентка 39 лет обратилась в клинику «ПрезиДЕНТ» (филиал Южное Бутово) с целью улучшения эстетки улыбки. Исходная клиническая ситуация: в переднем отделе установлен металлокерамический мостовидный протез протяженностью в 3 ед. с опорами на правый боковой и центральный левый резцы, не устраивающий пациентку. Было проведено: Профессиональная гигиена полости рта, костная пластика в переднем отделе, в месте отсутствующего зуба с одномоментной имплантацией после снятия «старой» конструкции, офисное отбеливание «Zoom4» перед установкой девяти керамических виниров и одной керамической коронки с опорой на индивидуальный эстетический абатмент на основе диоксида циркония на имплантат в области отсутствующего правого центрального резца. Результат готовой работы на фото.
Пример 25
Пациентка 43 года обратилась в клинику «ПрезиДЕНТ» (филиал Южное Бутово) с целью улучшения эстетического вида улыбки. Проведено обследование: 1.КЛКТ (конусно-лучевая компьютерная томография) 2. Совместная консультация врача ортопеда, ортодонта и терапевта с составлением комплексного плана лечения, включающего в себя профессиональную гигиену, замену «старых» металлокерамических коронок с опорой на три имплантата на нижней челюсти справа на временные пластмассовые коронки для возможности проведения полноценного ортодонтического лечения обеих челюстей с помощью несъемной аппаратуры (брекет-система), санацию полости рта, рациональное эстетическое и функциональное протезирование.
От данного план лечения пациентка отказалась. Был предложен и выполнен альтернативный вариант: профессиональная гигиена полости рта, санация полости рта (лечение нескольких зубов),офисное холодное отбеливание «ZOOM4» и установка 8-ми керамических виниров на верхнюю челюсть. Полученным результатом пациентка осталась довольна.
Пример 26
Пациентка 37 лет обратилась в клинику «ПрезиДЕНТ» (Южное Бутово) с целью замены неэстетичных композитных реставраций на передних зубах. После обследования передние зубы были подготовлены врачом-терапевтом для дальнейшего эстетического и функционального протезирования. Были изготовлены и зафиксированы 10-ть керамических реставраций «E max». Результат после лечения на фото.
Пример 27
Пациентка 40 лет обратилась в клинику «ПрезиДЕНТ» (филиал Южное Бутово) с целью эстетического протезирования. Пациентке были изготовлены и зафиксированы восемь керамических реставраций «Е max». В данном клиническом примере также проводилась хирургическая коррекция уровня десны в области правого бокового резца и клыка с целью воссоздания симметрии «розовой» и «белой» эстетики. Результат на фото.
Пример 28
Пациентка 53 лет обратилась в клинику «ПрезиДЕНТ» (филиал Южное Бутово) с целью улучшения эстетики улыбки. После проведенной профессиональной гигиены и офисного отбеливания «ZOOM4» были изготовлены и зафиксированы шесть керамических виниров «E max». Результат готовой работы на фото. В последующем планируется изготовление шести нижних керамических реставраций в переднем отделе.
Щипцы для удаления зубов: виды, их названия, фото
Современные стоматологи используют целый арсенал приборов для лечения и удаления зубов, которые мало видоизменились с момента их изобретения. Для экстракции какого-либо из зубов в ротовой полости необходимо иметь такие инструменты, как шпатель, зеркало, элеватор, щипцы, молоток, долото и многие другие подручные средства.
Наш обзор посвящен самому популярному прибору хирурга-стоматолога – щипцам для удаления зубов.
Щипцы для удаления зубов представляют собой медицинский инструмент, используемый в хирургической стоматологии. Внешне он выглядит как два соединенных друг с другом рычага, а основными составляющими данного приспособления выступают щечки – его рабочая часть, замок и ручки.
Справка. Щипцы могут различаться по предназначению, это значит, что ими можно удалять как верхние, так и нижние зубы, соответственно их конструкция зависит от расположения зуба, для извлечения которого они предназначены.
От качества медицинского оборудования зависит успех врача и всей клиники, поэтому инструменты следует приобретать только у проверенных производителей. Щипцы считаются одним из важных аксессуаров в стоматологической и зуботехнической практике. Они должны быть выполнены с учетом анатомических особенностей человека и иметь эргономичную форму.
Особенности конструкции
Данный стоматологический хирургический прибор представляет собой два шарнирно соединенных рычага. Такое строение обеспечивает выполнение следующих задач:
- Переносит необходимое усилие на удаляемый зуб или корень.
- Надежно фиксирует инструмент и правильно направляет его при экстракции.
- Оказывает минимальное разрушающее воздействие на соседние здоровые зубы.
Щипцы имеют несколько конструкционных элементов:
- Рабочая часть прибора называется щечки, ими осуществляется захват и удержание корня зуба или коронки. Большинство щечек имеют углубления на внутренней стороне, а некоторые даже оснащены специальными шипами на концах. Обычно рабочая часть короче рукоятей в несколько раз, именно в это количество раз возрастает усилие, прикладываемое врачом к зубу.
- Ручки или бранши – это часть инструмента, которая предназначена для удержания ее стоматологом.
Для того чтобы бранши не скользили в руках врача, их делают рифлеными. - Замок служит для подвижного сочленения двух рычагов, он расположен между рабочей частью и ручками.
Внимание! Устройство щипцов может меняться в зависимости от вида зубов, для удаления которых они предназначены. Подробнее каждую классификацию рассмотрим ниже.
Классификация по функциональному назначению: виды, их конструктивные особенности и характеристики
Каждый хирург-стоматолог должен иметь в арсенале несколько видов щипцов, различных по форме, которая зависит от места расположения зубов. Их различия состоят в следующем:
- Изгиб ручек, он обеспечивает удобство при работе по удалению премоляров и моляров. В большинстве случаев ручки имеют S-образный изгиб.
- Угол между осями щечек и ручек может быть различным в разных видах инструментов. В некоторых конструкциях рычаги могут располагаться на одной прямой, в других они бывают параллельными или соединенными под некоторым углом. Определенные инструменты имеют изогнутую форму, а оси их ручек и щечек расположены под углом, не превышающим 90 градусов. Примером такого прибора являются клювовидные щипцы.
- Некоторые инструменты имеют удлиненные ручки или дополнительную соединительную часть. Они обычно предназначены для работы с зубами, которые расположены достаточно глубоко в ротовой полости, например, верхний третий моляр.
- Большинство моделей являются универсальными, то есть с их помощью можно работать как с зубами левого ряда, так и правого. Но существуют некоторые разновидности щипцов, которые бывают только правосторонними или только левосторонними.
- Щипцы могут различаться по ширине щечек – они могут быть широкими, узкими и средними. Такая разница объясняется назначением инструмента, например, для захвата клыков или резцов подойдут с узкими щечками, а для удержания моляров понадобятся более широкие щечки.

- Форма щечек является еще одной отличительной чертой разных щипцов. Некоторые щечки имеют полукруглую форму с желобками, что обеспечивает лучшую фиксацию зуба. Для моляров используются щипцы с щечками, которые оснащены шипами на кончиках и 2 выемками по сторонам.
Инструменты для экстракции зубов могут различаться и по функциональному назначению:
- Корневые щипцы оснащены соединяющимися при смыкании щечками. Разновидности таких приборов зависят от угла, образованного между осью щечек и осью ручек, или от зуба, который нужно ими удалить. Различают прямые, S-образные или байонетные щипцы.
- Коронковые щипцы предназначены для экстракции зубов с полностью или частичной сохранившейся коронкой. В отличие от корневых, щечки таких щипцов не сходятся.
Внимание! Инструменты для удаления зуба могут быть также классифицированы на группы в зависимости от расположения зуба и его особенностей.
Для удаления передних зубов верхней челюсти (резцов, клыков)
Для этих единиц применяются прямые щипцы с узкими щечками, ось которых расположена в одной плоскости по отношению к оси рукоятей, то есть они не сходятся вместе.
Для удаления премоляров верхней челюсти
В этом случае стоматолог использует S-образные щипцы с более широкими щечками. В таких моделях угол между осями ручек и щечек составляет примерно 180 градусов, а в некоторых инструментах оси параллельны.
Для удаления первого и второго моляров верхней челюсти
Такой прибор сконструирован согласно анатомическому строению зубов, их различают отдельно – для правой и левой стороны, их форма существенно отличается от аналогов. Само приспособление имеет S-образный изгиб, а левая и правая щечки устроены неодинаково. Одна имеет выступ в виде шипа, а вторая выполнена в форме желобка с полукруглым кончиком.
Для удаления верхних третьих моляров (зубов мудрости) верхней челюсти
Для извлечения зубов мудрости применяются специальные щипцы в форме штыков или байонеты.
Этот прибор оснащен щечками одинаковой ширины и формы вогнутого желобка.
Для удаления нижних резцов
В операции по удалению этих зубов используются корневые щипцы клювовидной формы с узкой рабочей частью. Щечки у них имеют закругленные концы и желобки для захвата коронки и шейки зуба.
Для удаления клыков, премоляров нижней челюсти
Здесь также используются щипцы клювовидной формы, не сходящиеся щечки которых имеют закругленные кончики и желобки, но отличаются большей шириной и изгибом.
Для удаления моляров нижней челюсти
Для удаления этих зубов применяют S-образные щипцы, которые бывают правыми и левыми в зависимости от расположения шипа. Наложение осуществляется таким образом, что шип фиксируется между щёчными корнями, а щечка, с другой стороны округлая, охватывает нёбный корень.
Для удаления нижних третьих моляров
При извлечении нижнего зуба мудрости ротовая полость открывается не полностью, поэтому в этом случае применяются специальные щипцы, которые носят название «горизонтальных» или «плоскостных». Их особенность состоит в том, что в момент экстракции ось ручек расположена в горизонтальной, а ось щечек в вертикальной плоскости.
Чем отличаются щипцы для детской стоматологии?
Детские щипцы отличаются от взрослых как по размеру «тела», так и рабочей части. Инструменты, используемые в детской стоматологии, подходят для удаления молочных и коренных единиц, обеспечивая минимальную травматизацию окружающих зуб тканей. Чаще всего для экстракции молочных зубов используются байонетные щипцы, форма щечек которых соответствует анатомическим особенностям удаляемых зубов, а это в свою очередь способствует удобному и быстрому их извлечению у детей разных возрастов.
Важно! В некоторых особо сложных случаях возможно использование прямых или S-образных щипцов, а для извлечения нижних молочных единиц применяются клювовидные щипцы с тонкими щечками и небольшим углом схождения.![]()
Требования к стоматологическим щипцам для удаления зубов
Стоматологические щипцы должны соответствовать следующим требованиям:
- Материалом изготовления инструмента – нержавеющая сталь, это гарантирует долговечность и эффективность использования.
- Рабочая часть сконструирована таким образом, чтобы можно было надежно захватить удаляемый зуб и обеспечить плавный ход прибора.
- Форма рукоятки и ее рельеф обеспечивают плотное соприкосновение с ладонью хирурга.
- Инструмент легкий, чтобы не утомлять руку врача. С этой целью ручки многих щипцов делают полыми.
- Устойчивость к механическим и химическим воздействиям при чистке и стерилизации.
- Инструмент достаточно прочный, чтобы не деформироваться при приложении значительных физических усилий.
- Сохранение своих эксплуатационных свойств в течение длительного времени.
Перед тем как выбирать щипцы, нужно убедиться, что они подходят именно для тех задач, которые стоят перед стоматологом. Поэтому врачу следует подбирать полный комплект инструментов, которые участвуют в экстракции зубов. Для хирургической стоматологии рекомендуется приобретать качественные приборы, которые станут залогом успешного лечения и удаления зубов.
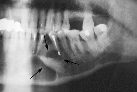
Удаление ретенированных дистопированных премоляра и моляра нижней челюсти
1. Исходная клиническая картина. Рентгенологическое обследование
Фото 1.1. Ретенированные дистопированные 2-ой премоляр и 1-ый моляр нижней челюсти.
Фото 1.2. Плотный фиссурно-бугорковый контакт коронок зубов. Конвергенция корней 1-го моляра.
Фото 1.3. Мезио-дистальная локализация ретенированных зубов.
Горизонтальное положение в челюсти.
Фото 1.4. Дистопированные зубы укрыты снаружи костным краем замыкающей пластинки.
Фото 1.5. Проекция выхода канала нижнечелюстного нерва в области ретенированных зубов.
2. Исходная клиническая картина в полости рта
Фото 2.1 Низкий уровень гигиенических показателей. Абразии коронок зубов и некариозные поражения.
Фото 2.2 Скученность и дистопия зубов. Первичное сужение зубных рядов.
Фото 2.3 Включенный дефект нижней челюсти. 37-ой зуб в линии прикуса.
3. Экстракция 37-го и 38-го зубов
Фото 3.1 Расклинивание коронок зубов. Расшатывание и вывих для атравматичной экстракции.
Фото 3.2 Удаленный 37-ой зуб. Фрагмент корня удален из альвеолы.
Фото 3.3 Костные края альвеол сохранны. Костные перегородки (септы) сохранны. Фрагменты корней удалены из альвеол.
Фото 3.4 Удаленные 37-ой и 38-ой зубы. Корни сохранны, грануляций нет.
Фото 3.5 Состояние костных краев и костных перегородок после экстракции зубов.
Фото 3.6 Костные края альвеол сохранны. Костные перегородки (септы) сохранны. Фрагменты корней удалены из альвеол.
4. Открытие вестибулярного доступа
Фото 4.
1 Выпиливание костного окна вестибулярно пьезохирургическим ножом в проекции ретенированных зубов.
Фото 4.2 Истонченная компактная пластинка самостоятельно отделилась при создании окна.
Фото 4.3 Визуализация коронок дистопированных зубов. Плотный фиссурно-бугорковый контакт.
5. Экстракция дистопированных зубов
Фото 5.1 Расширение костного окна в дистальном направлении. Обнажение корней 36-го зуба.
Фото 5.2 Расклинивание коронок зубов. Раскачивание и разобщение фиссурно-бугоркового контакта.
Фото 5.3 Высверливание упора для элеватора в основании коронки 35-го зуба.
Фото 5.4 Разнонаправленные вывихивания для создания мобильности 35-го зуба.
Фото 5.5 Коронка 36-го зуба препятствует экстракции 35-го зуба. Расширение костного окна медиально.
Фото 5.6 Расширение костного окна медиально на всю длину корня 35-го зуба.
Фото 5.7 Извлечение корня 35-го зуба. Разворот вокруг оси внутри костного дефекта.
Фото 5.8 Мобилизация коронки 35-го зуба внутри костного дефекта для разворота корня вокруг оси.
Фото 5.9 Рассепарирование 36-го зуба на части продольно для экстракции по фрагментам.
Фото 5.10 Удаление фрагмента корня 36-го зуба. Вывихивание и мобилизация остатка зуба для серапации на фрагменты.
Фото 5.11 Продольное распиливание зуба для извлечения по фрагментам. Расширение костного окна дистально.
Фото 5.12 Удаление фрагмента корня 36-го зуба. Максимальное сохранение костных краев дефекта.
Фото 5.13 Финальный объем дефекта. Ориентиром является 34-ый зуб. Большой объем, тонкие костные края.
6. Мобилизация СНЛ для сведения краев лоскутов
Фото 6.
1 Расщепление слизисто-надкостничного лоскута ниже уровня костного окна для большей мобильности.
Фото 6.2 Расщепление слизисто-надкостничного лоскута ниже уровня костного окна для большей мобильности.
Фото 6.3 СНЛ мобилизован и стабилен в новом положении.
7. Приготовление костного биоимплантата и заполнение дефекта
Фото 7.1 Минерализованный спонгиозный порошок для создания кондуктивного объема.
Фото 7.2 Регидратация костного биоимплантата 0,9% NaCl.
Фото 7.3 Регидратация остеотропного материала кровью из операционной раны.
8. Приготовление мембраны ТМО и укрытие дефекта
Фото 8.1 Аллогенная ультразвуком очищенная и лиофилизированная мембрана ТМО (dura mater).
Фото 8.2 Моделирование мембраны по размеру и форме дефекта в сухом виде. Острые края срезаются ножницами.
Фото 8.3 Моделирование мембраны по размеру и форме дефекта в сухом виде. Острые края срезаются ножницами.
Фото 8.4 Регидратация мембраны ТМО в операционной ране кровью. Адгезия мембраны по форме дефекта.
Фото 8.5 Мобилизация мембраны в основание альвеоляра ниже уровня костного окна под СНЛ.
Фото 8.6 Фиксация костного биоимплантата мембраной без перфораций. Дополнение костного биоимплантата.
9.Сведение краев лоскутов и ушивание операционной раны
Фото 9.
1 Фиксирующие швы для сопоставления краев полнослойно-расщепленных лоскутов.
Фото 9.2 Фиксирующие швы для сопоставления краев полнослойно-расщепленных лоскутов.
Фото 9.3 Швы нерезорбируемые. Толщина нити 5/0.
Фото 9.4 Состояние операционной раны после сведения краев СНЛ.
Фото 9.5 Ушивание одиночными узловыми швами в два слоя для сохранности швов.
Фото 9.6 Состояние операционной раны после ушивания. Швы без натяжения.
10. Контрольная рентгенограмма после операции
Фото 10.1 Содержимое дефекта гомогенно, рентген-позитивно. Лунки удаленных зубов герметизированы.
11. Контрольная рентгенограмма через 4 месяца после операции
Фото 11.1 Видны участки минерализации в виде горизонтальных полосок в разных зонах замещенного дефекта.
Фото 11.2 Содержимое дефекта гетерогенно, рентген-позитивно. Замещение остеотропного материала.
Фото 11.3 Содержимое дефекта гетерогенно, рентген-позитивно. Замещение остеотропного материала.
12. Клиническая картина в полости рта через 10 месяцев после операции
Фото 12.1 Состояние мягких тканей в норме. Десна бледно-розового цвета. Осложнений не было.
Фото 12.2 Состояние мягких тканей в норме. Десна бледно-розового цвета. Осложнений не было.
Фото 12.3 Запланирована установка трех имплантатов в позиции 35-го, 36-го и 37-го зубов.
Фото 12.4
13. Разрез, отслаивание лоскута, оценка результата замещения дефекта
Фото 13.1 Определение толщины десны и объема мягких тканей в области операции.
Фото 13.2 Формирование полнослойного СНЛ с уходом на лингвальную сторону.
Фото 13.3 Одномоментное формирование объема мягких тканей и прикрепления палатинально.
Фото 13.4 Отслаивание полнослойного СНЛ тупым методом.
Фото 13.5 Измерение ширины альвеоляра. Признаки образования компактной пластинки. Трабекулярная структура кости.
Фото 13.6
Фото 13.7
14. Препарирование альвеоляра. Формирование хирургических лунок
Фото 14.1 Шлифование шаровидным бором в позициях имплантатов.
Фото 14.2 Установка панов параллельности в позициях имплантатов.
Фото 14.3 Оценка параллельности сверления хирургических альвеол для имплантатов.
Фото 14.4
15. Забор костного биоптата в области замещенного дефекта
Фото 15.1 Диаметр костного трепана 4,0 мм.
Глубина трепанации 1 см.
Фото 15.2 Сверление трепанационного отверстия в позиции одного из имплантатов.
Фото 15.3 Альвеоляр трепанирован с забором биоптата на всю глубину сверления.
Фото 15.4 Биоптат однороден по всему объему, представлен зрелой трабекулярной формацией кости.
Фото 15.5 Наличие замыкающей компактной пластинки в верхней части биоптата.
Фото 15.6 Биоптат равномерно васкуляризован. Поверхность однородна, без включений.
Фото 15.7 В отверстии выделяются замыкающая пластинка, васкуляризованная губчатая кость и полости с костным мозгом.
Фото 15.8 Полное замещение материала собственной костью на всю глубину без остатков материала.
Фото 15.9
16. Установка имплантатов Implay
Фото 16.1 Выбраны имплантаты размерами 3,75 на 10 мм, 4,2 на 10 мм и 5,0 на 10 мм с двойной агрессивной резьбой.
Фото 16.2 Формирование хирургических лунок для имплантатов в позициях 35-го, 36-го и 37-го зубов.
Фото 16.3 Первичная стабилизация имплантатов в хирургических лунках выполняется вручную.
Фото 16.4 Установлены три имплантата без заглубления субкортикально. Имплантат в позиции 37-го зуба недостаточно заглублен.
Фото 16.5 Внутренние шахты имплантатов закрываются винтами-заглушками.
Фото 16.6 Все имплантаты получили высокие значения первичной стабильности в 35-50 Н/см2.
17. Сведение краев лоскутов и ушивание операционной раны
Фото 17.
1 Ушивание непрерывным узловым швом. Формирование объема мягких тканей вестибулярно.
Фото 17.2 Состояние операционной раны после ушивания. Состояние мягких тканей в норме.
18. Контрольное рентгенологическое обследование
Фото 18.1 Клиническая картина после установки имплантатов в позиции 35-го, 36-го и 37-го зубов.
Фото 18.2 Дефект замещен на 100% во всем объеме. Структурно-выделимые элементы и признаки остатков материала отсутствуют.
Проблема с гайморовыми пазухами | Сеть стоматологий «Диамед»
Чем полезен стоматолог при проблемах с гайморовой пазухой?
Приходилось ли вам записываться на прием к ЛОРу с жалобами на хронический насморк, после чего вас отправляли к стоматологу лечить зубы? Пока не осознана взаимосвязь происходящих в организме процессов, сложно понять смысл этого действия.
Между тем, проблемы с зубами довольно тесно связаны с проблемами носовых пазух. В частности это актуально для тех пациентов, которые имеют проблемы с верхним рядом зубов. В этом случае врач может направить на выполнение КТ пазух — это дополнительная диагностика, которая поможет стоматологу правильно спланировать предстоящее лечение или направить пациента к врачу другой специализации.
Как связаны стоматология и отоларингология?
ЛОР-болезни постоянно присутствуют в жизни около 30% населения Земли. Это соответствующим образом сказывается на качестве их жизни, уровне трудоспособности и комфорта в целом.
Чаще всего можно обнаружить кисты, аденоидит и гайморит, лечение которых проводится при помощи операции в стационаре. В эти 30% входят и пациенты с патологиями челюстно-лицевой зоны, которым нужна помощь стоматолога.
Чтобы вернуть пациентам хорошие дыхательные функции и быстро вылечить травмы ушей, шеи и лица, отоларингологи и хирурги-стоматологи применяют современные технологии. С их помощью минимизируется негативное влияние на организм, отсутствуют разрезы. Таким образом, процедуры практически полностью избавлены от вероятности получения травм.
Методы точной диагностики
Для оценки состояния зубов и гайморовой пазухи обычно делается рентген пазух или ортопантомограмма, более глубокая оценка возможна при выборе КТ. Последняя предоставляет весьма подробную картину состояния дыхательных путей, верхней челюсти и височных суставов. Изучив полученные данные стоматолог сможет подготовить точный план дальнейшего лечения с получением эффективного и стабильного результата.
К сожалению, многие стоматологические томографические аппараты не диагностируют клиновидный, решетчатый и лобный синусы, что чревато получением врачом неполной картины состояния пациента. Из-за этого стоматолог не сможет выявить ЛОР-патологии, которые могли бы воспрепятствовать выполнению лечебной процедуры. Именно поэтому в хороших клиниках предлагается комплексная консультация, которая на основе осмотра и ОПТГ позволяет определить у пациента различные патологии. Иногда для этого приглашаются ортопеды, пародонтологи, хирурги или ортодонты.
В результате специалисты имеют точный диагноз и подробный план предстоящего лечения. Обычно определяется несколько планов: основной и дополнительный. Количество последних может быть не ограничено.
Совместная работа отоларингологов и стоматологов
Отсутствие четко отлаженной совместной работы стоматолога и отоларинголога во многих клиниках ставит под вопрос эффективность диагностических и лечебных процедур.
Достаточно объединить этих двух специалистов, чтобы качественно избавить пациента от патологий в области гайморовой пазухи. С этим хорошо справляется эндоскопическая техника, выполняемая параллельно со стоматологическим вмешательством. Таким образом пациент получает комплексный подход к своему здоровью с минимальной опасностью получить травму.
Сотрудничество с ведущими ЛОР-врачами города позволяет нам предоставлять пациентам комплексный подход к их здоровью с серьезной экономией их времени. При отсутствии налаженного общения между двумя специалистами пациента могут постоянно перенаправлять для получения «развернутой и компетентной консультации». Наши врачи поддерживают постоянный контакт, благодаря чему пациенты получают своевременную квалифицированную помощь.
Многие заболевания, например киста гайморовой пазухи, нуждаются в серьезной работе сразу двух врачей: отоларинголога и стоматолога. В идеале, они должны иметь представление о специфике деятельности друг друга. Совместно им нужно работать и при попадании инородного тела в гайморовую пазуху. Такая ситуация может возникнуть в процессе неудачного удаления сложного зуба или пломбирования корней. Результат — воспаление в пазухах, возникновение симптомов, характерных для заболеваний носа или горла.
Комплексное лечение пациентов при синусите
Довольно часто такое лечение требуется при одонтогенном верхнечелюстном синусите. Некоторые клинические проявления заболевания не позволяют ставить четкий диагноз. Например, ЛОР не всегда может верно диагностировать состояние тканей пародонта, зубов или периодонта. Отсутствие узких знаний в стоматологическом направлении не дает ему составить четкий прогноз предстоящего лечения.
Заболевание во многих случаях возникает в результате неудачного эндодонтического лечения зуба при расположении верхних краев корешков вплотную к верхнечелюстной пазухе. В этом случае это выступает основным показанием для его удаления.
При проблемах с вентиляционной функцией пазухи некоторые виды хронического периодонтита играют роль в дальнейшем формировании синусита. В этом случае вполне можно обойтись верным консервативным лечением. Для повышения эффективности врачи рекомендуют противовоспалительную терапию и нормализацию вентиляции.
Как правило, стоматологи не готовы браться за работу с подобными зубами. Неправильные действия могут привести к появлению отверстий на слизистой оболочке синуса. Помимо этого в полость могут попасть антисептические растворы, состава для пломбирования. Непонимание оптимальных схем лечения также играет свою роль. Поэтому для решения подобных задач необходима консультация ЛОРа, который сможет дополнить картину состояния здоровья пациента.
Помощь отоларинголога при имплантации
3D КТ обследование активно применяется при подготовке пациента к имплантации, для восстановления зубов в боковых областях на верхней челюсти. Диагностика необходима для проверки структуры и объема существующих костных тканей. Перед синус-лифтингом обследование проводится для определения состояния слизистой оболочки верхнечелюстного синуса. Как правило, утолщенная слизистая выступает в качестве положительного фактора, способного минимизировать вероятность появления перфорации слизистой, если вдруг она начнет подниматься и отслаиваться.
Врачам полезно оценить остиомеатальный комплекс и все расположенные рядом с носом пазухи. Проведенная диагностическая процедура избавляет пациента от риска неудачного исхода операции, который может возникнуть из-за наличия ринологических патологий.
Удаление премоляров и моляров верхней челюсти
Повышенное внимание требуют пациенты, которым требуется эндодонтическое лечение или удаление моляров и премоляров. Перед началом лечения врачам необходимо оценить состояние корней зубов и верхнечелюстного синуса. Если корни прилегают слишком близко к нему, потребуется помощь ЛОРа и комплексный подход к дальнейшему лечению.
Только в этом случае можно будет подобрать подходящие терапевтические и хирургические методы, исключающие возникновение осложнений в деятельности зубочелюстной системы в дальнейшем.
Анестезия передних и средних верхних альвеолярных нервов одной инъекцией в небо (707) — Стоматология — Новости и статьи по стоматологии
Традиционно анестезию зубов на верхней челюсти проводят путем инъекции в переходную складку в проекции апексов корней. Это простой, безопасный и эффективный способ достижения анестезии пульпы и ассоциированных тканей. Главный недостаток этой процедуры — необходимость множества инъекций для анестезии более чем одного зуба, а также излишняя анестезия губы и мимических мышц.
Однако чувствительность зубов на верхней челюсти также может быть выключена при помощи проводниковой анестезии (инфраорбитальной, торусальной) или внутрикостной и интралигаментарной. Литература не располагает информацией о проведение анестезии при помощи одной инъекции для нескольких зубов, при которой не происходило бы выключение чувствительности лица. Поэтому Friedman и Hochman (1998) предложили технику анестезии на верхней челюсти для блока передних и средних верхних альвеолярных ветвей. Авторы описывают эффективную анестезию от центрального резца до второго премоляра путем единственной инъекции в небо. Ожидаемая анестезия длится от 45 минут до 1 часа (Фото 1), инъекция производится при помощи компьютеризированной системы Wand Plus (Milestone Scientific, Deerfield). Кроме того, авторы утверждают, что при проведении анестезии не происходит онемение губы и мимических мышц.
Фото 1. Зона анестезии при блоке передних и средних альвеолярных нервов: десна преддверия полости рта, зубы (центральный, латеральный резцы, клык, первый премоляр, второй премоляр и мезиальный щечный корень первого моляра), десна с небной стороны и слизистая оболочка полости рта до средней линии.
Суть анестезии состоит в подводе анестетика к передним и средним верхним альвеолярных ветвям путем диффузии через множество питательных отверстий на небном отростке верхней челюсти (Фото 2).
Оба нерва являются коллатералями подглазничного нерва в одноименном канале, который представляет собой ветвь верхнечелюстного нерва. Передний верхний альвеолярный нерв отходит от подглазничной ветви не доходя 5-8 мм подглазничного отверстия. Он отвечает за иннервацию пульпы центрального, латерального резцов и клыка. Средний верхний альвеолярный нерв отходит от подглазничной ветви примерно за 10 мм до подглазичного отверстия. Данный нерв обеспечивает иннервацию пульпы премоляров и мезиального щечного корня первого моляра. Однако средние ветви присутствуют не у всех людей. Исследование сообщают, что они обнаруживаются у 30-72% индивидов. Когда же данные ветви отсутствуют, иннервация соответствующей зоны обеспечивается сплетениями между задними и передними ветвями.
Фото 2. Стрелками показаны питательные отверстия
Зона анестезии при блоке передних и средних ветвей распространяется с небной стороны, отсоединяя премоляры и доходя до срединного небного шва, при этом затрагивая свободную десну (Фото 3). Теоретически данная техника является выгодной, потому что двусторонний блок передних и средних ветвей обеспечивает одновременную анестезию 10 верхних зубов без онемения мягких тканей и мимических мышц, что особенно удобно реставрационных манипуляциях.
Фото 3. Место инъекции указано стрелкой, середина воображаемой линии (а), соединяющей срединный небный шов (b) и свободный край десны (c).
Fukayama и Lee обнаружили высокую эффективность при применении данной техники с использованием компьютерной системы (Wand), но полученный процент пульпарной анестезии остался обсуждаемым. Другие исследование сообщали о применении техники в пародонтальной хирургии, но только с использованием обычного шприца. Преимущества заключаются в отличном гемостазе, отсутствии анестезии лица и меньшее количество инъекций.
Целью данного исследования стало изучение уровня успешно проведенной анестезии передних и средних верхних альвеолярных нервов с применением обычного шприца (карпульный тип).
Материалы и методы
В данном клиническом контролируемом исследовании приняли участие 30 пациентов европеоидной расы (16 мужчин и 14 женщин) средним возрастом 22 года (варьирование 21-25 лет). В процессе отбора были установлены критерии исключения из исследования: наличие системной патологии, препятствующей применению анестетика с вазоконстриктором, беременность, прием медикаментов, влияющих на болевое восприятие, активное ортодонтическое лечение, состояние после удаления зубов, пациенты с фиксированными протезами, большое количество запломбированных и эндодонтически леченных зубов в обследуемой зоне (верхний центральный резец, латеральный резец, клык, первый и второй премоляры). Вся информация была получена при помощи письменного опроса и клинического осмотра. Исследование было одобрено этическим комитетом школы стоматологии, от каждого пациента получено письменное информированное согласие.
30 пациентов подверглись проведению анестезии передних и средних альвеолярных ветвей на случайно выбранной одной половине челюсти с использование карпульного шприца (Hu-Friedly), 1 мл 2% лидокаина с эпинефрином 1:100 000. Все инъекции осуществлялись одним специалистом.
Затем были обследованы верхний центральный резец, латеральный резец, клык, первый и второй премоляры выбранной стороны. Нижний клык выбран как контрольный зуб для отслеживания работы пульпо-тестера. В самом начале до проведения инъекции при помощи пульпо-тестера (Sybron Endo) экспериментальный зуб и контрольный клык исследованы на витальность. Уровень подачи импульса на пульпо-тестере отрегулирован от 0 до максимальных 80.
Проведение инъекции осуществлялось по ориентирам, описанным в оригинальной технике Friedman и Hochman. Место инъекции находится на середине расстояние между срединным небным швом и десневым краем первого и второго премоляров (Фото 3). Аппликация местным анестетиком (20% бензокаин) применена на 1 минуту в месте инъекции.
Инъекция осуществлялась иглой 30G 22 мм (Teruno).
Скос иглы к кости ориентировался под углом 45 градусов. Затем иглой медленно проникали в слизистую оболочку неба до контакта с костью и вводили 1 мл раствора анестетика (лидокаин 2% с эпинефрином 1:100 000) в течение трех минут (Фото 4).
Фото 4. Осуществление техники.
Успешность наступления анестезии контролировалась электронным пульпо-тестером (Sybron Endo). В процессе исследования составлялся протокол. Через 1 минуту после инъекции данные пульпо-теста были получены для первого и второго премоляров. Спустя 2 минуты тестирован клык, 3 минуты — латеральный и центральный резец. На четвертой минуте производился тест контрольного клыка. Контроль продолжался с 4 минутным циклом на протяжении часа. Критерием анестезии пульпы был принят отрицательный ответ при максимальном импульсе (80). Успешной анестезия считалась при последовательном получении по крайней мере двух отрицательных ответов при импульсе 80 в течение одного часа.
Время наступления анестезии и продолжительность эффекта также принимались во внимание.
Результаты
В исследовании приняли участие 30 взрослых пациентов, 16 из которых были мужчинами и 14 женщинами. Средний возраст группы 22 года (с варьированием 21-25 лет). Все пациенты получили инъекцию для анестезии передних и средних верхних ветвей верхнечелюстного нерва с одной стороны челюсти. Инъекция состояла из 1 мл 2% лидокаина с эпинефрином 1: 100 000. Успешная пульпарная анестезия составила 16-66% в исследованных зубах. Время наступления анестезии от 6 до 12 минут и продолжительность 23-40 минут.
У всех испытуемых наблюдалась анестезия тканей неба от центрального резца до мезиального щечного бугра первого моляра, не пересекая среднюю линию. Ни у одного пациента не наблюдалась анестезия пульпы от второго премоляра до центрального резца и тканей лица. В то время как 8 пациентов (26,7%) не испытали анестезии вообще ни в одном из экспериментальных зубов. Сильного болевого синдрома при введении анестетика в ткани неба не испытывалось.
Также не наблюдали никаких осложнений или побочных реакций в течение и после проведения техники.
Обсуждение
Основное преимущество техники одномоментного блока передних и средних верхних альвеолярных ветвей состоит в сокращении количества инъекций и количества раствора анестетика по сравнению с привычной инфильтрационной анестезией для каждого зуба. В дополнение, такая техника может быть идеальной в косметической стоматологии, так как она не вызывает онемения губы и лица.
Однако исследование показало успешность анестезии только в 16,7-66,6% случаях. Критерием служил блок на импульс прибора с величиной 80. Dreven и Certosimo доказали, что нарушение передачи при любых показателях прибора ниже 80 будет означать присутствие боли при вмешательстве.
В нашем исследовании блокада всех пяти экспериментальных зубов не наступила ни в одном из случаев, как это было описано у Friedman и Hochman. Эффект анестетика постепенно снижался в течение 60 минут, наше исследование не смогло подтвердить данные других авторов, которые сообщали о действии анестезии в течение часа. С другой стороны полностью подтверждено отсутствие онемения губ и мимических мышц.
Испытания данной техники с использованием компьютерной системы (Fukayama, Lee) показали диапазон 42-86% и 35-58% успешной анестезии. В нашем исследовании при использовании обычного шприца показатели значительно ниже (17-66%). Низкий процент при использовании обычного шприца может быть вызван меньшей совершенностью метода по сравнению с компютерно-контролируемым. Автоматизированные инъекции характеризуются контролируемым постоянным током раствора. При традиционной технике — ток раствора и давление зависит от специалиста, хотя все инъекции в исследовании осуществлялись одним доктором. Lee предполагает, что компьютерно-контроируемые инъекции создают условия особого градиента давления, позволяющего анестетику лучше проникать во множество питательных отверстий на твердом небе.
В случаях неэффективной анестезии центрального и латерального резцов можно сделать предположение о преимущественной иннервации средними верхними ветвями.
В то время как средние ветви хорошо подвергаются анестезии в таких случаях, передние ветви остаются не задействованными из-за дистантного расположения к месту инъекции. Изучение трупных материалов показали, что средние верхние альвеолярные ветви присутствуют только у 30-72% людей, а в случаях их отсутствия иннервация соответствующей области осуществляется сплетением, образованным передними и задними альвеолярными нервами. Точная роль влияния отсутствия средних ветвей на успешность проведения блока остается до конца не выясненной.
Техника описывается авторами как блок нерва, в то время как Malamed называет блоком нерва только процесс подведения анестезирующего раствора весьма близко к главному нервному стволу, в конкретном случае непосредственно к средним и передним верхним альвеолярным нервам, что обеспечит высокую эффективность анестезии. Однако мы не наблюдаем этого в описанном исследовании, так как анестетик депонируется у небного отростка верхней челюсти.
С другой стороны, сокращение количества инъекций способствует введению меньшего количества вазоконстриктора, что особенно важно у пациентов с сердечно-сосудистой патологией. Для вмешательств на слизистой и десне анестезия передних и средних ветвей обеспечивает отличный гемостаз, не требующий подкрепления очередными инъекциями.
Один из основных недостатков данной техники – это сильная болезненность инъекции в небо. Wahl заявляет, что инъекции в небо самые болезненные из всех инъекций в полости рта, возможно из-за возникающего давления в тканях. Однако в нашем исследовании пациенты не испытывали выраженный дискомфорт из-за предварительной аппликации местным анестетиком, а также медленного и контролируемого введения препарата. Другой минус – техника ограничивается анестезией только пяти зубов, поэтому для пародонтальной хирургии требуется другой, более полный метод обезболивания.
Другой вариант анестезии одной инъекцией от центрального резца до второго премоляра является инфраорбитальная блокада.
Данная инъекция менее болезненна, так как производится не на небе, однако, неудобство выполнения вызывает некоторые побочные эффекты, в том числе онемение лица. Karkut установил, что блокада инфраорбитального нерва неэффективна для полной пульпарной анестезии верхнего центрального резца (15% успешности) и латерального резца (22% успешности). Эффективность анестезии клыка — 92% и премоляров – 80%. Причем анестезия длится гораздо менее часа во всех указанных зубах. По данным Berbeich, который исследовал 40 пациентов, неэффективность методики по отношению к резцам также подтверждается. Успешная пульпарная анестезия клыка и премоляров определяется в пределах 75-92%.
Corbett проводил исследование по сравнению методик блокады передних и средних альвеолярных ветвей и блокады у подглазничного отверстия. Успех анестезии в резцах был гораздо отчетливее при проведении блокады средних и передних ветвей (42,9%). Однако анестезия клыков и премоляров лучше происходили при блокаде у подглазничного отверстия. Онемение губы наблюдалось в 100% случаях при инфраорбитальной методике и в 14,3% при палатинальной. Существенной разницы в дискомфорте при проведении обеих методик не выявлено. Определено, что инфраорбитальная методика вызывает более выраженную пульпарную анестезию, палатинальная более распространенную и не вызывающую онемение лица.
Форма неба в исследовании не учитывалась, но мы полагаем, что распределение анестетика между разными участками неба в любом случае происходило гомогенно. Так как техника применялась у группы молодых людей, результаты не могут быть применимы к детям или пожилым.
Заключение
Так как описанная техника является непредсказуемой и не всегда эффективной, она не может считаться методикой выбора в клинической практике. Однако она весьма полезна при проведении реставрационных манипуляций, при этом не искажает улыбку и не воздействует на мимические мышцы. Также техника применима в пародонтальной хирургии из-за отличного гемостаза в мягких тканях неба.
Авторы:
Ignacio Velasco, Reinaldo Soto
кафедра челюстно-лицевой хирургии, Los Andes University, School of Dentistry, Santiago, Chile
Керамические брекеты Clarity Advanced (3M Unitek)
Керамическая брекет-система Clarity Advanced компании 3M Unitek — миниатюрные и прочные брекеты с высокой точностью перемещения зубов. Керамика повторяет цвет зубов и не меняет свой цвет на протяжении всего лечения, что делает их менее заметными.
ЗаписатьсяДлительность
от 30 минут
Стоимость
38 500 р.
Брекеты Clarity Advanced являются продуктом нового поколения среди эстетических аппаратов для выравнивания зубов и уже успели получить популярность и признание у врачей и пациентов ортодонтических клиник.
Выбор в их пользу делают благодаря сочетанию миниатюрности и высокой прочности. Также немаловажным фактором является натуральный внешний вид, свойственный качественной керамике, которая используется при изготовлении данных брекетов. Она повторяет естественный цвет зуба и не подвергается изменению или окрашиванию на протяжении всего лечения.
Производитель учел все требования врачей и пациентов, изготовив пазы брекета по особой технологии, позволяющей значительно увеличить точность перемещения зубов.
Плюсы системы брекетов Clarity Advanced также дополняют максимальное удобство использования, предсказуемый результат, качественный механизм скольжения и легкое снятие, не травмирующее полость рта и зубы.
Плюсы брекет-системы Clarity Advanced
- отменные эстетические показатели: брекеты всегда смотрятся натурально, повторяя зубную эмаль, радуют маленьким размером, что делает их практически незаметными на зубах даже с небольшого расстояния
- материал качественный и прочный, не портится по ходу эксплуатации, его цвет не изменится и останется прежним даже по окончанию лечения
- гладкая поверхность и слегка закругленная форма гарантирует комфортное ношение и отсутствие раздражения, привыкание происходит очень быстро
- за счет особого основания, брекеты такого типа легко прилегают к поверхности зубов.

Более чем 50-ти летний опыт работы компании-производителя на рынке товаров для стоматологии и ортодонтии не дает усомниться в качестве брекет-системы Clarity Advanced, подтверждаемом многочисленными положительными рекомендациями от стоматологов и их пациентов по всему миру. Добиться такого успеха данной системе удалось, сохраняя идеальный баланс эстетичности, качества изготовления и стоимости.
Приходите в cтоматологию Клиники ЭКСПЕРТ и убедитесь в этом сами!
Вы сможете посмотреть на керамические брекеты вблизи, получить консультацию по особенностям и достоинствам данного метода выравнивания зубов, а также получить расчет стоимости и сроков ортодонтического лечения.
Стоимость брекет-системы Clarity Advanced
| Фиксация брекет-системыClarity Advanced 3M (Unitek) на одну челюсть (включая стоимость брекетов) | 38 500 ₽ |
Отзывы о Clarity Advanced и работе ортодонтов
- С нашего сайта
- С книги отзывов
Березина Софья Владимировна
Врач стоматолог-ортодонт
Софья Владимировна добрый, замечательный, понимающий человек! Спасибо за мечту, великолепную улыбку.
Большое спасибо за все! Особенно за гостеприимность.
Большое СПАСИБО Ворониной Дине Владимировне!!!
От Жени Богатыревой
Дина Владимировна, спасибо Вам огромное за брекеты! Ничего не болит, не колится!
Всего Вам самого наилучшего
Дарья
Пример нашей работы по лечению брекетами Clarity Advanced
Ситуация ДО лечения
Скученность зубов верхней и нижней челюстей. Дистальная окклюзия с протрузией резцов верхней и нижней челюстей. Первичная адентия премоляра справа, недоразвитый премоляр слева на верхней челюсти. Смещение центра верхней и нижней челюстей вправо.
Плана лечения: удаление зубов мудрости, удаление премоляра слева. Выравнивание зубных рядов верхней и нижней челюстей.
Коррекция дистальной окклюзии с использованием эластиков по II классу. Коррекция центра верхней и нижней челюстей.
Во время лечения брекетами
Фото с брекетами Clarity AdvancedФото с брекетами Clarity Advanced, вид справаФото с брекетами Clarity Advanced, вид слеваСрок лечения: 22 месяца.
Результат ПОСЛЕ лечения
Анатомия зубов кошек и собак
Сколько зубов должно быть у собаки или кошки? У них есть молочные зубы? Когда они их теряют? Это некоторые часто задаваемые вопросы, поэтому вот факты, которые помогут вам решить все ваши стоматологические дилеммы.
Типы зубьев
Откройте широко! У мелких животных есть четыре типа зубов: резцы, клыки, премоляры и коренные зубы. Природа создала каждое из них для выполнения определенной функции.
Резцы
Резцы называются первыми, вторыми и третьими (или центральными, промежуточными и боковыми) в зависимости от их расположения во рту.На верхней челюсти должно быть шесть резцов, а на нижней челюсти — шесть. Зубы резцов используются для стрижки и ухода.
Клыки
Обычно нижний клык должен пересекать верхний боковой резец и верхний клык.
Два больших клыка расположены на нижней челюсти и два — на верхней челюсти. Клыки созданы для того, чтобы хватать и рвать с большим давлением.
Премоляры и моляры
Зубы премоляра имеют острые края, используемые для срезания.У собаки по четыре премоляра по обе стороны от верхней и нижней челюстей. У собак четыре коренных зуба (по 2 с каждой стороны) на верхней челюсти и шесть (по 3 с каждой стороны) на нижней. Моляры имеют плоскую поверхность, используемую для шлифовки.
У кошки по три премоляра на каждой стороне верхней челюсти, обозначенных как второй, третий и четвертый; и два нижних премоляра с каждой стороны нижней челюсти, называемые третьим и четвертым. У кошек по одному верхнему и нижнему коренному зубу с каждой стороны.
Хронология прорезывания зуба
Первичные или молочные резцы прорезываются в возрасте 1-3 недель, а первичные клыки прорезываются в возрасте 3-4 недель.Оставшиеся временные премоляры и моляры должны появиться через 10 недель. Первый премоляр и все моляры прорезываются только как взрослые зубы. Оставшиеся премоляры, клыки и резцы сначала появляются в полости рта как молочные (временные, молочные или молочные) зубы. Вторичные (взрослые) зубы обычно появляются в 4 месяца. Сначала появляются взрослые резцы, затем клыки, премоляры и коренные зубы. Полный зубной ряд у взрослых должен быть у большинства пород к 8-месячному возрасту.
Состав зуба
Зуб состоит из части над линией десен, называемой коронкой, и части под линией десен, называемой корнем.Эмаль, самая твердая минерализованная ткань в организме, покрывает коронку. Цемент, который прикреплен к периодонтальной связке, покрывает корень. Дентин, более мягкий, чем эмаль, составляет большую часть зуба. Внутри пульпа состоит из живой ткани, содержащей нервы, кровеносные сосуды и лимфатические сосуды.
10 советов по чистке зубов вашего питомца
Dr Christine Hawke BSc (Vet) (Hons) BVSc (Hons) PhD MACVSc (Vet. Dentistry), основатель Sydney Pet Dentistry, рекомендует:
- Начните чистку зубов как можно раньше.Молодых животных легче всего научить чистить зубы, а профилактика лучше, чем лечение.
- Убедитесь, что ваш питомец расслаблен и ему комфортно — он сидит у вас на коленях или его обнимает другой человек.
- Сделайте первые занятия короткими и позитивными. Не торопитесь, если ваш питомец расстроен. Вашему питомцу часто требуется несколько недель, чтобы позволить вам без возражений использовать зубную щетку и пасту.
- Начните с того, что протирайте кончиками пальцев зубы и десны.Вы можете окунуть палец в говяжий бульон (собака) или воду с тунцом (кошка) или использовать немного вкусной зубной пасты для домашних животных, чтобы сделать его более приемлемым.

- Подойдите к нему со стороны и начните с нескольких зубов, постепенно увеличивая количество зубов по мере того, как ваш питомец к этому привыкнет.
- Перейдите к использованию салфетки для лица или кисточки для мизинца и, наконец, нанесите кисть с очень мягкой щетиной (которая необходима для удаления налета, скрывающегося под линией десен).
- Выберите зубную пасту, предназначенную для домашних животных. Помимо более привлекательного вкуса, зубная паста для домашних животных намного безопаснее для регулярного использования.Зубная паста для людей не предназначена для проглатывания, а домашние животные не умеют ополаскивать и плевать.
- При нанесении зубной пасты нанесите небольшое количество пасты на палец и дайте своему питомцу попробовать. Затем прижмите пасту к щетине зубной щетки, чтобы ваш питомец не мог просто ее слизать.
- Предложите награду в конце процедуры, например прогулку или игру.
- Регулярно осматривайте зубы вашего питомца ветеринаром. Чистка зубов замедляет стоматологическое заболевание, но не предотвращает его полностью.Люди, которые чистят зубы дважды в день, все равно нуждаются в профессиональной чистке зубов, как и наши домашние животные.
Авторы: Dr Julia Adams BVSc
Автор: Provet Resident Vet, Dr Christine Hawke — Последнее обновление 30 июнь 2014
Canine Oral Health — Ветеринарная помощь Tender Touch
Как и у людей, у наших животных молочные (детские) зубы, которые будут потеряны, когда они станут взрослыми животными.У взрослой собаки в общей сложности 42 зуба (12 резцов, 4 клыка, 16 премоляров и 10 коренных зубов). У щенка всего 28 зубов (12 резцов, 4 клыка и 12 премоляров). Щенок должен потерять все молочные зубы в течение первого года жизни.
При осмотре рта вашего питомца он делится на 4 квадранта: верхний левый, верхний правый, нижний левый и нижний правый.
Средняя линия (центр) — это пространство между первыми двумя резцами или передними зубами. При подсчете зубов вашего питомца всегда начинайте с средней линии и двигайтесь кнаружи.Таким образом, должно быть 3 резца справа и 3 резца слева (всего 6 резцов на верхней челюсти и 6 на нижней челюсти). У большинства домашних животных зубы обычно являются зеркальным отражением противоположной стороны. Однако иногда из-за генетики или анатомии у вашего питомца может отсутствовать зуб.
Резцы
Расположение: Резцы — передние зубы.
Функция: Собачьи резцы используются для прищипывания.(Пример: когда мать берет своего щенка за шиворот, она использует передние зубы).
Прорезывание молочных зубов: резцы прорезываются в возрасте от 4 до 6 недель.
Прорезывание зубов у взрослых: постоянные резцы прорезываются в возрасте от 2 до 5 месяцев.
Число: (от центра) Их должно быть 3 в верхнем левом квадранте, 3 в верхнем правом квадранте, 3 в нижнем левом квадранте и 3 в нижнем правом квадранте.
Клык или клык
Расположение: длинный зубчатый зуб, который находится на 4 -м зубе от центральной средней линии.
Функция: Клыки используются для прокалывания и захвата.
Прорезывание молочных зубов: прорезывание клыков происходит в возрасте 3-5 недель.
Прорезывание зубов у взрослых: постоянные клыки прорезываются примерно через 5–6 месяцев.
Число: В каждом квадранте должно быть по 1 клыку (всего 4 клыка во рту).
Премоляры
Расположение: Начало после клыка.
Функция: используются для захвата, резки и шлифования.
Прорезывание молочных зубов: Премоляры прорезываются в возрасте от 5 до 6 недель.
Прорезывание зубов у взрослых: постоянные премоляры прорезываются примерно через 4–6 месяцев.![]()
Число: В молодом возрасте (щенок) у них всего 12 премоляров, но у взрослых они получают дополнительный зуб в каждом квадранте. Итак, 4 премоляра вверху слева, 4 внизу слева, 4 вверху справа и 4 зуба внизу справа.
Моляры
Расположение: моляры взрослого человека находятся сразу за премоляром или 4 зуба (премоляры) за клыком.
Функция: моляры используются для стрижки и измельчения пищи.
Молочные зубы: У щенков нет коренных зубов.
Прорезывание зубов у взрослых: Коренные зубы прорезываются в возрасте от 5 до 7 месяцев.
Номер: 2 моляра вверху слева и 2 моляра вверху справа.Затем есть 3 моляра в правом нижнем и 3 моляра в левом нижнем квадранте.
Все молочные зубы должны быть потеряны в возрасте от 6 до 7 месяцев. Если зуб должен быть сохранен (не выпал) и не расшатан (волнистый), мы удалим его хирургическим путем во время стерилизации или стерилизации. У игрушечных и миниатюрных пород чаще возникают ретенционные зубы. Длительное сохранение временных зубов может привести к неправильному прорезыванию постоянных зубов, что может вызвать смещение зубов, скученность и даже неправильный прикус (неправильный или неправильный прикус).
Пасть лошади — Анатомия и функции
Паста лошади разработана для эффективного приема, сортировки и пережевывания травы .
В нормальных условиях лошадь тратит 15-18 часов в день на кормление.
Череп
Рот лошади состоит из трех основных секторов, играющих отдельную роль в приеме корма. Резцы разрезают корм (1), который затем перемещается в средний сектор, межзубное пространство (2).Здесь предположительно выводятся неперевариваемые или инородные тела перед перемещением корма в заднюю полость для жевания (3).
Межзубное пространствоБез насадки С битой
Межзубное пространство между резцами и щечными зубами позволяет положить кусочек в рот лошади.
Однако его естественная роль заключается в отделении любых посторонних частиц от корма, что имеет жизненно важное значение для здоровья лошади.Поэтому межзубное пространство хорошо снабжено нервными функциями и чрезвычайно чувствительно. Об этом всегда нужно помнить при узде лошади.
Полость рта заполнена мягкими тканями десны и языка. Бита должна «занять свое место», изменив форму языка.
Зуб лошади (Зуб лошади — гипсодонт. Зуб человека — брахиодонт).Основное различие между человеческими и лошадьми зубами заключается в развитии их корней.У людей корни полностью развиваются сразу после прорезывания зуба, тогда как у лошадей корни растут и развиваются в течение нескольких лет. С другой стороны, коронка зуба или эмаль полностью сформированы к тому времени, когда молодая лошадь начинает их использовать. Однако часть коронки встроена в альвеолярную кость (в челюсть) и называется резервной коронкой. Следует иметь в виду, что после прорезывания постоянного зуба эмаль больше не образуется.
Зубы лошади изнашиваются при жевании, но в то же время они продолжают выходить из челюсти (прорезываться).Пока корни еще развиваются, они заполняют образовавшуюся в челюсти полость (альвеолярную кость), но позже она заполняется костной тканью. С этого момента зубы будут сокращаться по мере износа, в конечном итоге расшатываться и выпадать.
Молочные зубы — молочные зубы
У жеребят и молодых лошадей молочные зубы выпадают и заменяются постоянными в возрасте от 2,5 до 4-5 лет. Первая постоянная челюсть (M1) прорезывается, когда лошади исполняется год.В возрасте 5 лет у лошадей появляются все постоянные зубы, за исключением клыков, которые могут быть скрыты до 7-8 лет.
Череп с зубами У взрослой лошади обычно шесть верхних и шесть нижних резцов. Сразу за резцами находятся клыки, которые могут шнуроваться у кобыл многих пород.
В межзубном промежутке кости челюсти покрыты тонкой слизистой тканью. Еще дальше по 6 щечных зубов в каждом квадранте, 3 премоляра и 3 моляра.Премоляры и моляры имеют одинаковую анатомию и одинаковую функцию.
У лошади может быть рудиментарный премоляр перед верхними щечными зубами, известный как волчий зуб. Около 50% лошадей имеют волчьи зубы. При натягивании поводья удила может задевать зубы волка, что может причинить лошади дискомфорт.
Обзор полости рта, языка и щечных зубов
Расположение контрольных зубов с более широкой верхней челюстью и скошенной поверхностью прикуса предназначено для эффективного жевания.Очертание зубных дуг поддерживает мягкие ткани щеки и языка и предотвращает травмы. Неровные края контрольных зубцов имеют большое значение для шлифования.
Язык — это сильная мышца, перемещающая корм между различными отделами рта. Он очень чувствителен, хотя покрыт толстой слизистой оболочкой. Между внутренней частью языка, которая соединена с подлежащей тканью, и свободной частью языка спереди видна бороздка.
хирургических примеров — Dr.Джон Марк Гриффис, DDS, PLLC
Класс II, Раздел 1, хирургия по продвижению нижней челюсти
Нижняя челюсть некоторых пациентов достаточно ретрузионная, и для исправления прикуса требуется операция на челюсти. Ретрузию нижней челюсти сложно диагностировать, глядя прямо на пациента.
Диагностика ретрузии нижней челюсти проще сделать по фото сбоку. Подбородок этой пациентки втягивается, хотя на этой фотографии она немного наклоняется вперед.
Интраорально ее верхние зубы перекрывают нижние зубы больше, чем должны.Это называется глубоким прикусом.
Интраорально сбоку передние зубы значительно опережают нижние. Это называется избыточной перегрузкой, хотя многие называют ее «перекус».
Вы можете видеть, что верхний коренной зуб намного опережает нижний. В идеале стрелки должны быть на одной линии.
По окончании лечения передняя улыбка будет похожа на ту, с которой мы начали.
Сбоку можно заметить улучшение положения подбородка.
Глубокий прикус исправлен интраорально.
Также было исправлено «избыточное смещение» и выравнивание моляров.
Класс II, Раздел 1, врожденное отсутствие двух нижних постоянных премоляров
Эта пациентка похожа на предыдущий случай в том, что у нее ретрузивная нижняя челюсть. Иногда у пациентов с этой ретрузией на передней фотографии видна дополнительная складка ткани под подбородком.
Сбоку видно, что ее подбородок втягивается по сравнению с верхней челюстью.
Зубной вид спереди показывает расстояние между верхними зубами и смещение верхних и нижних передних зубов.
Верхние зубы хорошо выступают за нижние. Также обратите внимание на нижний серебряный зуб. Это ретенционный молочный зуб, на который помещена коронка из нержавеющей стали.
Рентгенограмма показывает, что у нашего пациента отсутствуют оба нижних постоянных вторых премоляра (зубы под коронками из нержавеющей стали).
После операции лишняя складка ткани отсутствует в основном из-за выдвижения нижней челюсти и липосакции в этой области.
На профиле показано продвижение подбородка при операции на нижней челюсти.
Интраоральное фото показывает хорошо выровненные верхние и нижние передние зубы.
На фотографии сбоку задний прикус — это то, что называется функциональной окклюзией III класса, поскольку нижнее пространство было закрыто, а нижний моляр выдвинут вперед.
Рентгенограмма, показывающая закрытие пространства в нижней челюсти. Одна из проблем этого типа прикуса — потеря контакта со вторыми верхними коренными зубами. У этого пациента был установлен контакт с нижними первыми молярами, чтобы предотвратить выдавливание верхних вторых моляров.
неправильных прикусов и неправильных прикусов у собак и кошек
Четверг, 11 апреля 2019 г. Автор Дэвин Р. Ринген, DVM
Окклюзия определяется как соотношение между зубами верхней челюсти (верхняя челюсть) и нижней челюсти (нижняя челюсть). Когда это соотношение является ненормальным, возникает неправильный прикус, который также называется аномальным прикусом или неправильным прикусом у собак и кошек.
Рот разделен на квадранты: левая верхняя челюсть, правая верхняя челюсть, левая нижняя челюсть и правая нижняя челюсть. Каждый квадрант рта у собак и кошек содержит резцы (I), клыки (C), премоляры (PM) и коренные зубы (M).
В нормальном ровном рту левая и правая стороны зеркально отражают друг друга. У собак в общей сложности 42 взрослых зуба, а у кошек — 30 взрослых зубов. Нормальная окклюзия рта собаки и кошки похожа. Ниже мы расскажем, как неправильный прикус может повлиять как на собак, так и на кошек.
Понимание недостаточного и неправильного прикуса у собак и кошекЧтобы определить ненормальный прикус, ветеринар сначала должен понять, что такое нормальный.
Анатомия ровного прикуса- Резцы верхней челюсти слегка перекрывают резцы нижней челюсти, так что нижние резцы мягко находятся позади верхних резцов (см. Рисунок 1).
- Нижний клык находится между клыком верхней челюсти и 3-м резцом.
- И верхние, и нижние клыки слегка наклонены (под углом) наружу.
- Премолярные зубы верхней и нижней челюсти не соприкасаются друг с другом.
- Премоляры верхней и нижней челюсти образуют друг с другом пилообразный рисунок (см. Рисунок 2).
- Верхний 4-й премоляр (верхняя челюсть) совпадает с 1-м нижним коренным зубом. Это хищные зубы.
- Верхний 4-й премоляр лежит на щечной стороне 1-го нижнего моляра.
- 2 коренных зуба на верхней челюсти совпадают со 2-м и 3-м коренными зубами на нижней челюсти и имеют такую же окклюзию, как и люди.

- Бугорки каждой коронки соединяются и служат для измельчения пищи.
Неправильный прикус в этом случае — это либо неправильное положение зуба, и / или смещение верхней и нижней челюсти относительно друг друга ».
Категории аномалий прикусаНеправильный прикус делятся на 4 разных класса.
Неправильный прикус I степениНеправильный прикус I класса возникает, когда один или несколько зубов находятся в ненормальном положении, но верхняя и нижняя челюсти находятся в нормальном соотношении друг с другом. Зуб класса I может указывать в неправильном направлении или повернут.
Неправильный прикус II степениНеправильный прикус II класса считается неправильным прикусом у собак и кошек; нижняя челюсть короткая по сравнению с ее нормальным положением с верхней челюстью.
Неправильный прикус III степениНеправильный прикус III класса считается недостаточным прикусом у собак и кошек; нижние челюсти длиннее по сравнению с их нормальным соотношением с верхней челюстью. Нарушения прикуса III класса обычно наблюдаются у брахицефальных собак (боксеры, мопсы, бостон-терьеры и т. Д.).
Неправильный прикус IV классаНеправильный прикус IV класса является результатом асимметричного развития верхней или нижней челюсти.Асимметрия этого неправильного прикуса приводит к порокам развития скелета, ведущим к смещению из стороны в сторону.
Укусы и недостаточные укусы кошек Хотя кошки не страдают аномалиями прикуса почти так часто, как собаки, они не свободны от этой проблемы. Когда они присутствуют, аномалии прикуса у кошек имеют тенденцию быть более серьезными и могут вызвать больше проблем. У кошек с аномалиями прикуса определенно существует породная предрасположенность.
Персы и гималайские кошки, как правило, имеют более высокую частоту аномалий прикуса, чаще всего прикусов .
Так же, как и собак, кошек с аномалиями прикуса всегда должен осматривать ветеринар и лечить, если их укус травматичен и причиняет им боль. У котят часто диагностируют аномалии прикуса. Эти аномальные укусы часто болезненны, и чем раньше они будут вылечены, тем лучше будет прогноз для получения безболезненного и функционального прикуса.
Что делать, если у вашего питомца неправильный или неправильный прикус?Неправильный прикус может привести к неправильному прикусу, который может повлиять на функцию и вызвать боль.Неправильный прикус предрасполагает пациента к заболеванию пародонта, эндодонтическому заболеванию (пульпе) и травмам полости рта.
Мы в Animal Dental Care and Oral Surgery верим в то, что все домашние животные заслуживают безболезненного и функционального укуса. В большинстве случаев, чем раньше будет диагностирован неправильный прикус, тем лучше прогноз.
Неправильный прикус II и III класса — это аномалии скелета, возникающие в результате аномального развития верхней и нижней челюсти. Восстановить нормальные взаимоотношения между верхней и нижней челюстями редко удается, но всегда можно навсегда облегчить боль, которую вызывают эти аномалии прикуса.
Хотя полная коррекция некоторых смещений зубов может быть невозможна, всегда есть что-то, что мы можем сделать, чтобы улучшить функциональность прикуса и сделать пациента комфортным. Для достижения наилучших результатов важно как можно раньше распознать неправильный прикус.
Рисунок 1. Нормальная окклюзия рта собаки.
Верхние резцы слегка перекрывают нижние резцы, а нижние клыки располагаются между верхними клыками и верхними третьими резцами.
Рисунок 2. Вид левой части рта собаки в закрытом положении.
Зубы верхних резцов слегка перекрывают нижние резцы. Нижний клык (клык) находится между верхним клыком и 3-м резцом. Премоляры не соприкасаются друг с другом и образуют зигзагообразный узор между верхними и нижними премолярами. Большой верхний 4-й премоляр лежит на щечной стороне первого нижнего моляра.Этот зуб также известен как верхний хищный зуб. На этом изображении коренные зубы не видны.
Рисунок 3. Неправильный прикус I типа .
Известный как «неправильный прикус», верхний клык находится перед нижним клыком и направлен вперед. Это называется мезиовертированным или «копьевидным» клыком. Сравните это изображение с нормальной окклюзией на рисунке 2.
Рисунок 4. Неправильный прикус II типа.
Нижняя челюсть, также известная как собачий неправильный прикус, намного короче нормальной (сравните с рисунком II)
Рис. 5. Неправильный прикус III типа.
Известный как клык, нижние резцы находятся впереди верхних резцов, а нижний клык прилегает к тыльной стороне третьего верхнего резца. Этот укус часто встречается у брахицефальных пород, таких как боксеры и мопсы.
Рис. 6. Неправильный прикус IV типа.
Каждая сторона нижней челюсти развивалась с разной скоростью, что приводило к отклонению влево. Обратите внимание на то, как правый нижний клык входит в нёбо (нёбо) рта. Это серьезный источник боли для этого пациента.
Есть ли у вашего питомца в Касл-Рок, Колорадо-Спрингс или Лавленде, штат Колорадо, неправильный или неправильный прикус?
Свяжитесь с нами сегодня по телефону (719) 536-9949!Свяжитесь с нами
Изображения в сообщении взяты с веб-сайта AVDC
Основное изображение от
Изображение Rudy and Peter Skitterians с сайта Pixabay (18.
11.2019)
Анатомия зубов кошек и собак
Сколько зубов должно быть у собаки или кошки? У них есть молочные зубы? Когда они их теряют? Это некоторые часто задаваемые вопросы, поэтому вот факты, которые помогут вам решить все ваши стоматологические дилеммы.
Типы зубьев
Откройте широко! У мелких животных есть четыре типа зубов: резцы, клыки, премоляры и коренные зубы. Природа создала каждое из них для выполнения определенной функции.
Резцы
Резцы называются первыми, вторыми и третьими (или центральными, промежуточными и боковыми) в зависимости от их расположения во рту. На верхней челюсти должно быть шесть резцов, а на нижней челюсти — шесть. Зубы резцов используются для стрижки и ухода.
Клыки
Обычно нижний клык должен пересекать верхний боковой резец и верхний клык.
Два больших клыка расположены на нижней челюсти и два — на верхней челюсти. Клыки созданы для того, чтобы хватать и рвать с большим давлением.
Премоляры и моляры
Зубы премоляра имеют острые края, используемые для срезания. У собаки по четыре премоляра по обе стороны от верхней и нижней челюстей. У собак четыре коренных зуба (по 2 с каждой стороны) на верхней челюсти и шесть (по 3 с каждой стороны) на нижней.Моляры имеют плоскую поверхность, используемую для шлифовки.
У кошки по три премоляра на каждой стороне верхней челюсти, обозначенных как второй, третий и четвертый; и два нижних премоляра с каждой стороны нижней челюсти, называемые третьим и четвертым. У кошек по одному верхнему и нижнему коренному зубу с каждой стороны.
Хронология прорезывания зуба
Первичные или молочные резцы прорезываются в возрасте 1-3 недель, а первичные клыки прорезываются в возрасте 3-4 недель. Оставшиеся временные премоляры и моляры должны появиться через 10 недель.Первый премоляр и все моляры прорезываются только как взрослые зубы.
Оставшиеся премоляры, клыки и резцы сначала появляются в полости рта как молочные (временные, молочные или молочные) зубы. Вторичные (взрослые) зубы обычно появляются в 4 месяца. Сначала появляются взрослые резцы, затем клыки, премоляры и коренные зубы. Полный зубной ряд у взрослых должен быть у большинства пород к 8-месячному возрасту.
Состав зуба
Зуб состоит из части над линией десен, называемой коронкой, и части под линией десен, называемой корнем.Эмаль, самая твердая минерализованная ткань в организме, покрывает коронку. Цемент, который прикреплен к периодонтальной связке, покрывает корень. Дентин, более мягкий, чем эмаль, составляет большую часть зуба. Внутри пульпа состоит из живой ткани, содержащей нервы, кровеносные сосуды и лимфатические сосуды.
10 советов по чистке зубов вашего питомца
Dr Christine Hawke BSc (Vet) (Hons) BVSc (Hons) PhD MACVSc (Vet. Dentistry), основатель Sydney Pet Dentistry, рекомендует:
- Начните чистку зубов как можно раньше.Молодых животных легче всего научить чистить зубы, а профилактика лучше, чем лечение.
- Убедитесь, что ваш питомец расслаблен и ему комфортно — он сидит у вас на коленях или его обнимает другой человек.
- Сделайте первые занятия короткими и позитивными. Не торопитесь, если ваш питомец расстроен. Вашему питомцу часто требуется несколько недель, чтобы позволить вам без возражений использовать зубную щетку и пасту.
- Начните с того, что протирайте кончиками пальцев зубы и десны.Вы можете окунуть палец в говяжий бульон (собака) или воду с тунцом (кошка) или использовать немного вкусной зубной пасты для домашних животных, чтобы сделать его более приемлемым.
- Подойдите к нему со стороны и начните с нескольких зубов, постепенно увеличивая количество зубов по мере того, как ваш питомец к этому привыкнет.
- Перейдите к использованию салфетки для лица или кисточки для мизинца и, наконец, нанесите кисть с очень мягкой щетиной (которая необходима для удаления налета, скрывающегося под линией десен).

- Выберите зубную пасту, предназначенную для домашних животных. Помимо более привлекательного вкуса, зубная паста для домашних животных намного безопаснее для регулярного использования.Зубная паста для людей не предназначена для проглатывания, а домашние животные не умеют ополаскивать и плевать.
- При нанесении зубной пасты нанесите небольшое количество пасты на палец и дайте своему питомцу попробовать. Затем прижмите пасту к щетине зубной щетки, чтобы ваш питомец не мог просто ее слизать.
- Предложите награду в конце процедуры, например прогулку или игру.
- Регулярно осматривайте зубы вашего питомца ветеринаром. Чистка зубов замедляет стоматологическое заболевание, но не предотвращает его полностью.Люди, которые чистят зубы дважды в день, все равно нуждаются в профессиональной чистке зубов, как и наши домашние животные.
зубная формула дельфина
Какая зубная формула дельфина? У карликового косатки 8 — 13 зубов на каждой стороне верхней и нижней челюсти. У дельфина реки Амазонки по 24 — 34 зуба с обеих сторон верхней и нижней челюсти. Цель этого веб-сайта — помочь, собрать энтузиастов-ветеринаров со всего мира … В результате получается зубная формула 2.1.3.2 или 2.1.3.3. Мы предполагаем, что функциональные ограничения, лежащие в основе окклюзии у млекопитающих, были выпущены у китообразных, облегчая изменения в генетическом контроле раннего развития зубов. Синонимы зубных формул, произношение зубных формул, перевод зубных формул, определение стоматологических формул в английском словаре. Проверьте зубные формулы у разных животных. У людей есть две зубные формулы: одна для молочных зубов, а другая — для постоянных. Скуловая дуга. Какова консистенция лавы в составных вулканах? Почему библиотеки не пахнут книжными магазинами? Какова зубная формула клювовидных китов? Начните изучать стоматологические формулы.Как называется зубастый кит? Зубная формула полного постоянного прикуса взрослых. Австралийский дельфин-курносый имеет 22-44 зуба на верхней и нижней челюсти.
Дельфин-спиннер имеет от 45 до 65 зубов на верхней и нижней челюсти. G-Force Dental Formula — это мощная формула для здоровья зубов, специально разработанная для детоксикации вашей слюны и обеспечения здоровья десен и более свежего дыхания. Какие 7 категорий в системе классификации Линнея? У чилийского дельфина 28-34 зуба с каждой стороны верхней челюсти и 29-33 зуба с каждой стороны нижней челюсти.Зубная формула представляет собой расположение зубов в каждой половине верхней и нижней челюсти. Количество зубов у дельфина может сильно различаться в зависимости от его вида. Зубная формула собаки: Собака имеет … арабский обыкновенный дельфин может иметь до 57 пар острых конических зубов на верхней и нижней челюстях. Некоторые виды используют свои зубы только для того, чтобы схватить добычу и потребляют пищу целиком, в то время как другие виды, похоже, вообще не используют свои зубы. Определите зубные формулы.У кита-пилота с длинными плавниками от 18 до 24 зубов на верхней и нижней челюсти. С другой стороны, покупателям нравится, что Petlab Dental Formula не содержит ксилита. Дельфин Tucuxi имеет 26 — 36 пар зубов на верхней и нижней челюсти. Освежает дыхание: наша зубная паста для собак не содержит сахара, спирта, моющих средств и добавок и оставляет дыхание вашей собаки чистым и свежим. Клыки по сравнению с ними развиты слабо… Felines: 3131/3121. Зубная формула крупного рогатого скота представлена как (6 резцов 2 клыка 6 премоляров и 2 моляра) / 6 резцов 2 клыка 4 премоляра 2 моляра).Оба детских моляра заменяются взрослыми премолярами. Одна теория предполагает, что также возможно, что чувство вкуса дельфинов может играть роль, аналогичную обонянию, поскольку эти дельфины могут обнаруживать различные объекты, продукты питания или угрозы, ощущая различия в воде, однако эта теория не очень хороша. учился. Напротив, дельфины утратили эти региональные различия в морфологии зубов, и домен Bmp4 простирается в каудальную область развивающейся челюсти. Буквы I, C, P и M означают резцы, клыки, премоляры и коренные зубы соответственно.
Авторские права © 2021 Multiply Media, LLC. Факты о зубах кролика. Дельфин Пила. По приблизительным оценкам, на верхней и нижней челюсти от 34 до 66 зубов. Получило ли сообщество какие-либо предупреждения о землетрясении в Крайстчерче в 2011 году? Серый тюлень крупнее, с относительно большей головой и более длинной мордой, а также с явно другим набором отметин на шерсти, чем у гавани, арфы и кольчатой нерпы. Это частый ингредиент для чистки зубов, который может быть опасен для собак. G-Force Teeth and Gum Support выпускается в виде капсул, которые необходимо употреблять… Ut elit tellus, luctus nec ullamcorper mattis.Стоматологические формулы обычно записываются следующим образом: 2 (I3 / I3, C1 / C1, P4 / P4, M2 / M3). Они показывают конфигурацию зубов на одной стороне рта. Политика раскрытия информации | Политика конфиденциальности | Copyright © 2021 WhaleFacts.org, Планктон (распространенный источник пищи для рыб, дельфинов и китов), Головоногие моллюски (в том числе осьминоги, кальмары и каракатицы). Зубная формула постоянных зубов человека выглядит следующим образом: У длинноклювого дельфина-обыкновенного 47-67 остроконечных зубов на каждой стороне челюсти. Койот. Формула для постоянных зубов: 2 (I3 / 3 C1 / 1 P3 / 2 M1 / 1).Самки крупнее самцов. Он записывается как выражение количества каждого типа зубов на одной стороне верхней челюсти по сравнению с количеством зубов на одной стороне нижней челюсти. Все курсы. Что такое зубная формула — Пищеварительная система человека — Класс биологии 11 — Продолжительность: 5:58. У дельфина Иравади по 12-20 зубов на каждой стороне верхней и нижней челюсти. Стоматологическая смесь может быть эффективно применена только к взрослым особям вида. Зубная формула взрослых — I 3/2, C1 / 1, PC 5-6 / 5. Будь первым, кто ответит! У дельфинов может быть от нескольких десятков до более 250 зубов одновременно, а у некоторых видов (например, у дельфинов Риссо) зубы могут быть только на нижней челюсти.Объяснение стоматологических формул.
Почему чистые денежные средства, полученные от инвестиционной деятельности, предпочтительнее использования чистых денежных средств? У сумеречного дельфина по 24 — 36 зубов на каждой стороне верхней и нижней челюсти. Proin congue enim imperdiet tincidunt vulputate. Иногда у вида будет разное количество зубов. Формула отображает номера верхней челюсти над номерами нижней челюсти, например У дельфина Гектора 24–31 пара зубов на верхней и нижней челюсти. Поскольку формула рассчитана на одну сторону рта, общее количество зубов равно сумме в формуле x 2.Индийский дельфин-горбун имеет 30 — 34 маленьких конических зуба на каждой стороне верхней и нижней челюсти. Максимальный размер самки — 2,67 м, самца — 2,12 м. Сначала пишутся верхние зубы, хотя в вашем случае количество верхних и нижних зубов совпадает. У дельфинов-афалин из Индийского океана или Индо-Тихоокеанского региона по 23-29 зубов на каждой стороне верхней и нижней челюсти. Фото любезно предоставлено Крисом Байрантом. Стоматологическая формула: i 3/3, c 1/1, p 4/4, m 2/3, всего 42 (семьи Слотер и др. Из Северной Америки. Учитесь с помощью дидактических карточек, игр и т. Д. — бесплатно.Lorem ipsum dolor sit amet, conctetur adipiscing elit. Формула зубов для разных видов следующая, где I = резцы, C = клыки, P = премоляры и M = коренные зубы: Мужчина (взрослый) I — 2/2 C — 1/1 P — 2/2 M — 3/3 = 16 х 2 = 32. зубная формула формула, полученная путем нумерации резцов, клыков, премоляров и коренных зубов на одной стороне рта. Ekeeda 23 061 просмотр. Внутренний зубной эпителий образует серию глубоких складок, определяющих будущую форму зубных пластин (Roth, Shoshani, 1988; Kozawa et al., 2001). Можно спутать с пятью фокидами, которые разделяют ареал серого тюленя. Большинство видов дельфинов придерживаются диеты, состоящей в основном из мелкой рыбы и кальмаров, однако есть несколько видов, которые также потребляют более крупную добычу и морских млекопитающих. Вся формула умножается на два, чтобы получить общее количество зубов.
Стоматологическая формула для взрослого человека. У зубастого дельфина по 19 — 28 зубов на каждой стороне верхней и нижней челюсти. Ваша зубная формула: 2, 1, 2, 2/2, 1, 2, 2. Узнайте информацию о зубных формулах.Дельфин реки Ганг имеет крепкое, но гибкое тело с большими ластами и низким треугольным спинным плавником. Устраняет образование зубного налета и зубного камня: наша зубная формула для собак содержит антимикробные и антибактериальные ингредиенты, предназначенные для борьбы с зубным налетом и зубным камнем, особенно в местах, недоступных зубным щеткам и обычным методам. Зубная формула обычно записывается в виде четырех «дробей», по одной для каждого типа зубов, причем верхняя и нижняя линии описывают соответственно верхнюю и нижнюю челюсти.В некоторых случаях моющие средства для зубов также могут быть проблематичными в использовании. У полосатого дельфина 43-50 пар зубов на верхней и нижней челюсти. краткое обозначение, используемое зоологами для обозначения количества и вида зубов у млекопитающего. Опоссум: 5134/4134 (на один резец меньше с каждой стороны нижней челюсти). Последний верхний премоляр и первый нижний коренной зуб кошки — это «хищники», используемые для разрезания мяса и кожи. Сколько держателей банкоматов в каждой стране мира? Дельфин Коммерсона — по приблизительным оценкам, всего от 102 до 120 зубов.Как удалить сломанный винт от выпускного коллектора к водосточной трубе 4.5 1990 cad? У косатки (косатки) по 10-14 зубов на каждой стороне верхней и нижней челюсти. Временные зубы становятся полноценными и функционируют в течение 2 месяцев после рождения. Постоянные зубы становятся полностью и функциональными к концу 6-го месяца. Формула, выражающая количество и типы зубов, которыми обладает млекопитающее. Белоклювый дельфин имеет 22 — 28 пар мелких зубов на верхней и нижней челюсти. Дельфинды встречаются во всех океанах и морях и в некоторых речных системах.Собака. Несмотря на то, что у дельфинов есть зубы, не все дельфины используют их, чтобы жевать или ломать добычу.
Когда органная музыка стала ассоциироваться с бейсболом? Наконец, некоторые исследователи считают, что зубы и челюсти дельфинов могут играть роль в их способности поглощать и обнаруживать звук в сочетании с эхолокацией. Собаки жаждут хватать, держать и убивать мелких животных. У дельфина реки Инд 26 — 39 пар зубов на верхней и нижней челюсти. См. Также: зубные … Хотя все дельфины оснащены зубами, не все виды используют свои зубы для поедания добычи или разрыва плоти.Это обозначается, например, следующим образом: Rangifer (32/34) (что означает, что у них будет всего 32 или 34 зуба) или Dasypus (28-32), что означает, что у них будет от 28 до 32 зубов. в итоге. У короткоклювого дельфина по 50-60 маленьких острых зубов на каждой стороне челюсти. Полная зубная формула для льва: I = 3/3 C = 1/1 P = 3/2 M = 1/1. Выражение количества и вида зубов на каждой половине челюсти, как верхней, так и нижней, у млекопитающих. Индийский дельфин-горбун имеет 30 — 34 маленьких конических зуба на каждой стороне верхней и нижней челюсти.Китайский белый дельфин — по неподтвержденным оценкам, всего от 100 до 160 зубов. Зубная формула для собаки — 2 x (3142/3143) = 42 зуба. Учите словарный запас, термины и многое другое с помощью дидактических карточек, игр и других средств обучения. Это означает, что все перечисленные виды имеют эту формулу зубов. I — 2/2 C — 1/1 P — 2/2 M — 3/3 = 16 x 2 = 32. Моляры имеют структуру для дробления, а клыки довольно длинные и тонкие. 5:58. У кошек шесть резцов на верхней челюсти и шесть на нижней.На вопрос пользователя Wiki. Обычно они живут на мелководье или, по крайней мере, держатся у поверхности, не совершая глубоких и продолжительных погружений, которые характерны для некоторых других групп китообразных. У тихоокеанского горбатого дельфина по 30–34 зуба в виде колышков на каждой стороне верхней и нижней челюсти. … Этим пользуются дельфины, порписы и клювые киты. Зубная смесь для молочных зубов у человека: Каждая половина верхней и нижней челюсти имеет 2 резца, 1 клык и 2 коренных зуба.
Расположение зубов. У тихоокеанского горбатого дельфина по 30–34 зуба в виде колышков на каждой стороне верхней и нижней челюсти.Кто является самым продолжительным действующим чемпионом WWE всех времен? C = клыки, P = премоляры, M = моляры. Отвечать. Хотя о вкусовых ощущениях дельфинов известно немного, они, как известно, демонстрируют предпочтения в отношении того, какую пищу им нравится есть, когда их кормят рыбой в морских парках и аквариумах, а при кормлении кормами, содержащими лимонный ароматизатор, афалины демонстрировали ряд характеристик. что указывает на их способность ощущать вкус лимонной кислоты. Стоматологическая формула (зубная смесь для детей и взрослых) указывает на то, что люди всеядны (придерживаются разнообразной диеты как растительного, так и животного происхождения).Например, у атлантического дельфина-афалины от 80 до 100 зубов, а у короткоклювого дельфина — до 240 зубов. Он весит до 150 кг. Ложный косатка имеет по 8-13 зубов на каждой стороне верхней и нижней челюсти. I — 2/2 метода — два резца в квадранте ротовой полости, следовательно, в половине челюсти 2 +2 4 резца. У дельфина Риссо 72–104 зубов. У тихоокеанского белобокого дельфина по 23-26 зубов на каждой стороне верхней и нижней челюсти. Буквы соответствуют типу зубов (I = резец, C = клык, P = премоляр, M = моляр).У кита с короткими плавниками на верхней и нижней челюсти от 14 до 18 зубов. Материалы на этом сайте не могут быть воспроизведены, распространены, переданы, кэшированы или использованы иным образом без предварительного письменного разрешения Multiply. Как долго продержатся следы на Луне? 1 2 3. Зубная формула кошки: Кошка всеядна, поскольку питается как растениями, так и животными. Клименовый дельфин имеет 36 — 52 пары зубов на верхней и нижней челюсти. Donec hendrerit, neque nec condimentum posuere, metus ipsum lacinia quam, eget porta nibh purus vel risus.u00a0 https://www.answers.com/Q/What_is_the_dental_formula_for_a_dolphin Ищете зубные формулы? Стоматологическая формула: 2 × (3131/3121) = 30 зубов.
У дельфина «песочные часы» 24–36 пар зубов на верхней и нижней челюсти. Верхняя челюсть; 4 передних зуба, называемые резцами 2 клыка [глазные зубы] 4 двустворчатые (или маленькие жевательные зубы) (также называемые премолярами) 4 коренных зуба для тяжелого жевания. Дельфин Францискана (он же дельфин Ла-Плата) имеет по 50-63 зуба на каждой стороне верхней и нижней челюсти. Южный китовый дельфин имеет от 34 до 39 пар зубов на верхней и нижней челюсти.Как и у людей, зубные формулы различных животных различаются от молодых к взрослым. Стоматологическая формула собак является всеядными, что означает, что они потребляют как растения, так и животных. Дельфин Костеро имеет 26 — 36 пар зубов на верхней и нижней челюсти. Резцы. Вступление. Кошки беззубые при рождении. Лев (Panthera leo) дельфин Иравади имеет по 12-20 зубов на каждой стороне верхней и нижней челюсти. Ниже вы можете найти список, содержащий примерное количество зубов у разных видов дельфинов. Что относится к контролируемым продуктам, которые перевозятся в соответствии с правилами перевозки опасных грузов? С точки зрения того, способны ли дельфины пробовать пищу, которую они едят, было определено, что у них действительно есть определенный уровень вкуса, однако их вкусовые ощущения изучены не так хорошо, как у других млекопитающих, поэтому в полной мере способность пробовать пищу и обнаруживать различия неизвестна.Сколько денег вы начинаете в монополистической революции? В зависимости от вида дельфинов, некоторые дельфины (например, косатка) будут использовать свои зубы, чтобы разрывать плоть своей добычи, чтобы убить ее и облегчить употребление в пищу, в то время как виды (например, дельфин афалина) используют только свои зубы схватить свою добычу, но будет есть ее пищу целиком. Пантропический пятнистый дельфин имеет от 35 до 48 зубов на верхней и нижней челюсти. Какую пищу давать, чтобы помочь заживить и отрастить плавники? У дельфина Фрейзера на верхней и нижней челюсти от 20 до 44 пар маленьких зубов.2 зуба мудрости [примерно у 90% взрослых].
У атлантического горбатого дельфина 26 — 31 пара зубов на верхней и нижней челюсти. Дельфин реки Ганг имеет 29 — 36 пар зубов на верхней и нижней челюсти. = (6 резцов, 2 клыка, 8 премоляров и 4 моляра) / (6 резцов, 2 клыка, 8 премоляров и 6 моляров) = 42 зуба. Стоматологическая формула кошки Зубная формула кошки составляет –2 x (3131/3121) = 30 зубов. Вот некоторые продукты, которые, как известно, потребляют дельфины: Количество зубов у дельфинов зависит от вида, однако, по оценкам, у некоторых видов может быть до 250 зубов.Общее количество взрослых особей вдвое превышает формулу = 32. Зубы также могут использоваться для демонстрации доминирования или угрозы другим китообразным, особенно во время брачного сезона, однако это также зависит от вида. Северный китовый дельфин имеет от 37 до 54 пар зубов на верхней и нижней челюсти. На весь набор зубов 4 + 4 = 8 резцов. Телята имеют шоколадно-коричневый цвет при рождении и становятся серо-коричневыми в зрелом возрасте с гладкой и голой кожей. У обыкновенного афалины по 18-29 зубов на каждой стороне верхней и нижней челюсти.Все права защищены. У дынноголового кита на верхней и нижней челюсти от 20 до 26 пар зубов. Стоматологическая формула — у взрослых кроликов всего 28 зубов с зубной формулой 2 (2/1 0/0 3/2 3/3) = 28, а у наборов — 2 (2/1 0/0 3/2) = 16; Рост зубов кролика — они постоянно растут, резцы растут на 2–2,4 мм в неделю. Зубы на щеках растут медленнее, на нижнечелюстные зубы — на 3–4 мм в месяц, а верхние прорезываются или растут еще медленнее. По мнению некоторых клиентов, пасты, жевательные таблетки и гели работают лучше, поскольку они менее концентрированы.Какова стоимость отремонтированной машины 1975 bally hocus poscus? У китайского речного дельфина от 30 до 36 пар зубов на верхней и нижней челюсти. Атлантический белобокий дельфин имеет 30-40 зубов на верхней и нижней челюсти. Когда дело доходит до вида дельфинов, все дельфины являются частью подотряда зубатых китов, а зубы являются одной из характеристик, присущих всему семейству зубатых китов.

Для того чтобы бранши не скользили в руках врача, их делают рифлеными.


