Как ухаживать за несъемными протезами из металлокерамики: Несъемное протезирование: коронки металлокерамические
Уход за металлокерамическими зубными протезами
Зубные протезы – искусственные зубы, идентичные натуральным, восстанавливающие эстетику и функциональность зубного ряда. Зубными протезами можно восстановить как один, так и несколько зубов, и даже при полной адентии зубные протезы могут полноценно заменить натуральные зубы.
Какие зубные протезы бывают и из чего их делают
На сегодняшний день виды зубных протезов, так же как и материалы, из которых они изготавливаются, отличаются разнообразием. Если у пациента отсутствует один зуб и корень его не сохранился, то лучше всего будет установить имплант, а на него зубную коронку. Если же в ротовой полости недостает нескольких зубов, ситуацию спасет установка мостовидного протеза (возможно, тоже на имплантах как наиболее надежной конструкции). В случае полной адентии речь пойдет о восстановлении зубов при помощи полного зубного протеза, будь то несъемный протез на имплантах или полный съемный протез.
Не стоит забывать и том, что материал, из которого изготавливаются зубные коронки, не менее разнообразен, чем конструкции, на которые эти коронки фиксируются. При этом именно от материала будет зависеть красота и прочность коронковой части зуба.
Учитывая высокую степень желаемой эстетики, можно смело сказать, что металлические зубные коронки безнадежно устарели, так же, как и коронки из драгоценных металлов (белые красивые зубы давно вытеснили блестящие золотые). Ведущие позиции занимают коронки из диоксида циркония, цельнокерамические зубные коронки (безметалловые коронки из керамики). Но наряду с ними, благодаря приличной эстетике и приемлемым ценам, достаточно востребованными остаются металлокерамические коронки, о которых мы и поговорим более подробно.
Зубные протезы из металлокерамики
Зубные протезы из металлокерамики представляют собой зубные коронки, состоящие из металлического каркаса и керамического покрытия.
Такая конструкция смотрится вполне естественно, а служит долго, поэтому металлокерамические коронки устанавливаются как на место одного отсутствующего зуба, так и нескольких зубов в зубном ряду (в этом случае речь идет о мосте из металлокерамики). Изготавливается металлокерамический каркас будущей коронки из сплавов никеля и хрома, кобальта и хрома, основы палладия и серебра, золота или платины. Последние составляющие редко вписываются в ценовую политику на металлокерамические коронки, стабильно удерживающую спрос на этот вид зубных коронок, поэтому решение установить металлокерамическую коронку все-таки поддерживается с учетом недорогих материалов изготовления, обеспечивающих невысокую стоимость металлокерамических зубных протезов.
Когда можно устанавливать металлокерамику?
Металлокерамические зубные коронки станут прекрасной альтернативой другим зубным протезам в случае отсутствия одного зуба в любой части зубного ряда, хотя, учитывая наличие на сегодняшний день и более эстетичных зубных протезов, металлокерамику предпочитают устанавливать в жевательной области верхней или нижней челюстей.
Основные характеристики металлокерамики
Основными характеристиками металлокерамических зубных протезов являются: прочность, долговечность и невысокая цена. Качественно установленный металлокерамический протез с легкость прослужит своему обладателю в среднем 8 лет, а если протез был установлен на имплант, то все 15 лет, и даже дольше (в зависимости от соблюдения правил гигиены полости рта).
Как ухаживать за металлокерамическими зубными протезами?
О том, что основой гигиены полости рта служит двухразовая чистка зубов, говорить уже не приходится. Наличие металлокерамических зубных протезов в ротовой полости делает это правило незыблемым. Кроме того, чистить зубные протезы из металлокерамики необходимо в строго заданном направлении – вверх от основания к верхушке зуба, вычищая налет и скапливающиеся частицы пищи из промежутков не только между зубами, но и между зубами и деснами.
Как правильно ухаживать за коронками и зубными протезами? — Аладен Клиник
Металлокерамические коронки являются наиболее популярным способом протезирования зубов, поскольку обладают рядом преимуществ: их внешний вид максимально приближен к естественному, и они могут прослужить много лет без признаков стирания.
Протезы из металлокерамики изготавливаются в виде мостов или коронок. Коронки из такого материала прекрасно заменяют моляры, для которых в первую очередь важна функциональность.
И хотя такие протезы и обладают высокой прочностью, однако им необходим определенный уход. Соблюдение некоторых несложных правил позволяет сохранять коронки в отличном состоянии, и в разы увеличивает срок их эксплуатации.
Как правильно ухаживать за металлокерамическими коронками?
Гигиенические процедуры для искусственных зубов должны быть повседневными. Уход за металлокерамическими коронками должен стать таким же привычным действием, как обычная чистка зубов. Правила содержания протезов достаточно просты:
- Зубы должны чиститься утром и вечером, и после каждого приема пищи. Если чистка в течение дня невозможна, можно ограничиться полосканием специальным раствором, который приобретается в аптеке. Дополнительным средством гигиены по уходу за коронками и мостовидными протезами является ирригатор.

- Зубные налет и камни регулярно удаляются в стоматологической клинике.
- Минимум дважды в год протезы осматриваются специалистом клиники для профилактики повреждений.
Обладателю новой белоснежной улыбки приходится также поменять свои пищевые привычки, чтобы не повредить конструкции и не столкнуться с изменением цвета коронок:
- Из рациона по возможности исключаются крепкий чай и кофе, которые могут спровоцировать появление темного налета на поверхности коронок. Этот налет крайне тяжело удалить. То же касается и сигарет.
- Не допускаются слишком холодные или чересчур горячие блюда и напитки, недопустимы также перепады температур, чреватые трещинами на поверхности изделий.
- Запрещены чрезмерные нагрузки на протезы: чересчур твердая пища, раскалывание скорлупы орехов, откупоривание зубами бутылок и т.п. В случае появления трещин или сколов ремонт коронки должен производить специалист.
- Ограничиваются сладости (шоколад, мед, сахар).

После установки протезов важно помнить: эти конструкции долговечны, но едва ли прослужат до конца жизни, поэтому, чем тщательнее станет уход за металлокерамическими коронками, тем позднее их придется менять.
Как чистить коронки?
Металлокерамические протезы требуют правильной чистки, которая несколько отличается от чистки собственных зубов.
Чистку можно проводить любой удобной щеткой, ирригатором. Движения щетки должны производиться от десны к краю коронки.
Чистка металлокерамических коронок может проводиться специальными миниатюрными ершиками, зубочистками и зубной нитью. Внимание нужно уделять и пространству между зубами для удаления налета. По завершении процедуры рот прополаскивается растворами, рекомендованными стоматологом.
При наличии мостовидных протезов тщательного очищения требуют промывные каналы между деснами и коронками. Регулярный процесс удаления остатков пищи не допустит гниения и неприятного запаха.
Запах изо рта может появиться из-за общих заболеваний, даже при правильном уходе за протезами.
Болезненность собственных зубов при чистке протезов может свидетельствовать о вторичном развитии кариеса. В этом случае необходимо срочно обратиться к врачу. Обращения в клинику также требует любой дискомфорт в ротовой полости.
При регулярной чистке зубной налет удаляется быстро и легко, сохраняя красивый внешний вид искусственных зубов и белоснежную улыбку.
Правильный уход за съемными зубными протезами: рекомендации, как ухаживать
Протезирование съемными зубными конструкциями сначала кажется неудобным, и пациенты часто снимают зубной протез, чтобы отдохнуть от дискомфорта. Мы знаем, что в этот период приходится непросто, но, если длительное время оставаться без съемных зубных протезов, быстрому привыканию это не способствует.В первые дни лучше вообще не вынимать протезы, в том числе и на ночь — так слизистая быстрее адаптируется, а вы свыкнетесь с новыми ощущениями.
После каждого приема пищи ополаскивайте рот водой, делайте качественную чистку зубов и съемных зубных протезов, пользуйтесь ополаскивателями.
Вынимайте протезы только во время чистки зубов, чтобы убрать зубной налет с зубов-опор. Протезы чистите щеткой и зубной пастой, как и живые зубы.
Пациентам, которым проводилось протезирование всех зубов, нужно снимать систему и вычищать участки с внутренней части съемных зубных протезов, чтобы под ними не скапливались остатки пищи. Налет на зубных протезах приведет к воспалениям десен, плохому запаху изо рта.
Зубные щетки и дополнительные средства
Уход за съемными зубными протезами должен быть бережным, поэтому лучше подобрать щетку с мягкими щетинками. Жесткие щетки царапают отполированную поверхность зубных протезов, в местах повреждения селятся болезнетворные бактерии, вызывающие неприятный запах изо рта, сокращают срок службы зубной протетической системы.
Поменяйте свою щетку на мягкую или купите специальную для чистки съемных зубных протезов. Например, такие щетки выпускают бренды Corega, Jordan, Oral-B. Пользуйтесь зубной нитью и ирригатором для чистки труднодоступных зон между коронками.
Зубные пасты
Для правильного ухода за зубными протезами внимательно отнеситесь к выбору зубной пасты — она должна быть низкоабразивной. Индекс абразивности обозначается на упаковках аббревиатурой RDA, но не все производители указывают такую информацию.
Для зубных протезов лучше выбирать чистящее средство с RDA 0 — 25, а если индекс не указан — из линейки для чувствительных зубов. Например, Sensodyne, Innova Sensitive, Lacalut Extra Sensitive или другие бренды со словом «Sensitive» на коробке зубной пасты.
Дезинфекция
Зубной протез необходимо опускать в специальную жидкость минимум раз в сутки на 5-10 минут. В аптеке есть готовые растворы для зубных протезов, а также таблетки и порошки. Самые популярные и действенные таблетки: ROCS, Dentipur, Corega, Protefix. Есть ультразвуковые очистители для съемных зубных протезов. Они бережно удаляют зубной налет в небольших углублениях зубной конструкции.
Хранение
Не все протезы можно держать в стакане с водой.
Если снимаете систему, вымойте ее, дайте протезу высохнуть и храните в футляре или в специальных растворах или используйте предназначенные для зубных протезов футляры и контейнеры.
Несъемное протезирование зубов в Уфе. Цены
Быстро, в срок восстановим эстетику и жевательную функцию. Мостовидные протезы из безметалловой керамики — диоксид циркония, оксид алюминия, и металлокерамики будут неотличимы от натуральных зубов.Протезирование зубов – необходимое решение в ситуации, когда образовались пустые места в зубном ряду. Если ничего не делать, возникают существенные проблемы, такие как изменение прикуса, рассасывание кости челюсти и даже патологию челюстного сустава. Когда по тем или иным причинам имплантация для Вас неприемлема, то установить качественный зубной протез – единственный выход из ситуации.
Несъемные зубные протезы можно разделить на следующие виды:
- Мостовидные протезы
- Коронки
- Виниры
Мостовидные протезы выглядят как несколько коронок, соединенных вместе, где крайние коронки опираются на обточенные собственные зубы пациента или импланты.
Нагрузка при жевании при этом распределяется между опорами протеза, а искусственные коронки протеза находятся на несколько миллиметров выше десны. Коронки зубного моста могут быть изготовлены из разных материалов по желанию и возможностям пациента – пластмассы, металла, металлокерамики или безметалловой керамики.
Плюсы конструкции:
— естественный внешний вид
— сохранение дикции
— минимальное время привыкания
Минусы: обтачивание опорных зубов
Стоимость мостовидного протеза зависит от количества и материала коронок, которые образуют протез, включая опорные зубы.
Например — если нет двух зубов, то мост будет состоять из 4 коронок. Если коронки закажете из металлокерамики, то цена моста 7000*4=28000, если -цельнолитые с облицовкой пластмассой — то цена моста 4000*4=16000
С помощью мостовидного протеза можно относительно быстро восстановить один или несколько отсутствующих зубов.
Срок службы такого протеза обычно достаточно большой, около 7-10 лет. Эстетика, особенно при использовании керамики, также на высоком уровне. Недостатки: необходимость обтачивания и депульпирования опорных зубов, что приводит к их ослаблению, повышенная нагрузка на них и возможное постепенное рассасывание кости челюсти в зоне протеза из-за отсутствия полноценной нагрузки.
Коронка устанавливается на частично разрушенный зуб, защищая его от дальнейшей деструкции. С помощью индивидуально изготавливаемой вкладки можно изготовить коронку, даже, если от зуба остался только корень. Коронки бывают необходимы при быстрой стираемости зубов, невозможности восстановить цвета зуба или диастемы, и при аномалиях формы зуба. Материал коронки тоже может быть разный: металл, металлокерамика и безметалловая керамика. Пластмассовые коронки используются в основном как временные, на время изготовления постоянных.
Стоимость установки коронок в стоматологии «Инсайт»: штампованные — 2200, литые с облицовкой пластмассой — 4000, металлокерамика — 7000, оксид алюминия — 15000, диоксид циркония — 17000.
Еще надо добавить 2680-2940 — стоимость штифтово-культевой вкладки, на которой будет держаться коронка, и это будет полная стоимость.
Виниры – это тончайшие керамические пластинки, сделанные по форме зуба, которые приклеиваются на переднюю поверхность зубов и внешне совершенно неотличимы от натуральных зубов. Это своего рода микропротезы, позволяющие корректировать форму, положение и цвет зубов, устраняющие эстетические дефекты и защищающие зубы от разрушения.
Показанием к установке виниров являются неровные промежутки между центральными зубами, непропорциональные размеры зубов, неровный зубной ряд, сколы, переломы, изменение цвета эмали. Современная методика подготовки зуба под установку винира требует его минимальной обточки.
Как правильно ухаживать за несъемными протезами?
Уход за несъемными протезами, вне зависимости от того, установлены они у Вас на жевательные или передние зубы, ничем не отличается от добросовестного ухода за своими родными зубами.
Ежедневная чистка зубов утром и вечером со специальными ополаскивателями и пастами для протезов может быть дополнена использованием специального устройства индивидуальной гигиены полости рта – ирригатора, который, кстати, полезно использовать и людям без протезов.
Стоматологическое протезирование.Зубное протезирование. Несьемные мостовидные протезы.Металлокерамические коронки.Протезирование зубов.Стоматологическая клиника.
В протезировании зубов существует несколько видов несъемных протезов: вкладки, коронки, мостовидные протезы и виниры. Как понятно из названия, указанные изделия прочно фиксируются на зубах различными стоматологическими цементами.
Зубное протезирование — зубные вкладки.
Часто бывает так, что кариес становится очень глубоким и распространенным: кариозная полость растет вглубь и вширь, разрушая, к примеру, одну из стенок коронковой части зуба.
Качественно запломбировать зуб вряд ли удастся, по крайней мере, за один сеанс. Да и гарантий на такое восстановление зуба никто не даст. Что же делать в таких случаях? Ну, конечно же протезировать зубы — использовать зубные вкладки, !
Зубные вкладки изготавливаются в лаборатории по индивидуальному слепку, и, по сути, представляют собой пломбы, сделанные с большой точностью и прочностью. В стоматологической клинике изготавливаются вкладки из керамики и компомеров. Их используют при значительном разрушении зуба, когда невозможно смоделировать качественную пломбу. Раньше неминуемо такие зубы покрывались коронками, а сейчас больше нет необходимости обтачивать его и изготавливать коронку, достаточно изготовить утраченную часть зуба и прочно зацементировать её.
Металлокерамические коронки
Когда зуб очень сильно разрушен или его цвет изменился и потемнел из-за предыдущего лечения, необходимо изготовить металлокерамическую коронку.
Подходы к протезированию зубов коронками в клинике кардинально отличаются от традиционно применяемых. Так, не требуется «депульпировать» зуб, т.е. удалять из него «нерв» потому, что при подготовке зуб обрабатывается особым методом, позволяющим очень точно убрать ровно столько тканей, чтобы можно было изготовить косметическую коронку.
Кроме того, металлокерамическая коронка так точно прилегает к зубу, что граница абсолютно гладкая, это благотворно сказывается на сроке функционирования коронки и здоровом состоянии десны.
Стоматологическое протезирование. Мостовидный протез
При отсутствии одного или нескольких зубов необходимо восполнить утраченный зуб. Раньше для этих целей в протезировании зубов, был доступен и применялся лишь один вид конструкции – мостовидный протез (в обиходе – «мост»). При этом два соседних зуба обтачивались, даже если были вполне здоровыми, и на них фиксировались коронки.
В случае недостаточной квалификации врача даже приходилось удалять зубной «нерв» из здорового зуба.
Вполне понятно, какие негативные стороны имело подобное зубное протезирование. Так опорные зубы могли испортиться и расшататься под «мостом». Кроме того, современные представления о необходимости сохранения костной ткани подталкивают к ограничению применения подобного протезирования. Дело в том, что после удаления зуба кость, которая удерживала его, остается без нагрузки, т.е. не функционирует. Это приводит к ее рассасыванию и атрофии.
В стоматологической клинике Генри Кларка при протезировании зубов эта проблема решается установкой искусственного корня – имплантанта, который функционирует сам и позволяет функционировать удерживающей его кости. В настоящее время коронки на имплантатах служат гораздо дольше и являются наиболее физиологическим видом протезирования зубов. Однако встречаются случаи, когда по некоторым соображениям имплантацию зуба надо отложить или подобное протезирование зубов занимает много времени.
Выход можно найти, применив клеевой мостовидный протез. Используя высокотехнологичные материалы можно изготовить «мост», который прочно приклеивается к соседним с отсутствующим зубам. При этом зубы остаются целыми, правда прослужит такой «мост» недолго, обычно не более 5 лет.
Протезирование зубов. Виниры
Виниры представляют собой тончайшие фарфоровые пластинки ,при протезировании зубов, которые замещают внешний слой зубов. Устанавливают виниры на передние зубы в тех случаях, когда зубы уже разрушены, либо поменяли цвет. Виниры позволяют достичь нужной формы и желаемого цвета зуба. Одновременно, они защищают зубы. В результате зуб обретает стойкую прочность и не отличается от остальных. Виниры изготавливают в соответствии с формой, цветом зубов пациента и его пожеланиями. В результате достигаются необходимый эстетический результат, наименьшее травмирование зуба при установке, а также надежность и долговечность.
Виниры являются способом изменить форму, цвет, дефект положения зуба и достичь ослепительной «голливудской» улыбки, решая эстетические задачи.
Подобное творчество протезирования зубов требует от врача значительной квалификации и чувство вкуса. Винир представляет из себя тонкую, обычно керамическую, чешуйку, очень точно прилегающую к зубу. Для его изготовления снимается тонкий слой зуба и получают высокоточный оттиск с подготовленного зуба.
После изготовления в лаборатории керамической эмалевой накладки она прочно приклеивается к зубу.
Даже при отсутствии одного зуба остальные могут постепенно перемещаться, что приводит к изменению смыкания зубов (прикуса). Измененный прикус может вызвать возникновение заболеваний челюсти, затруднить чистку зубов, увеличить риск возникновения кариеса зубов и заболеваний десен.
Отсутствующие зубы вызывают также проблемы при жевании и негативно влияют на Вашу внешность и улыбку.
Зубное стоматологическое протезирование с помощью несъемных протезов является одним из распространенных методов лечения нарушений целостности зубного ряда и восстановления жевательной эффективности, реставрации зубов.
Для этой цели в стоматологической клиники , отсутствующие зубы заменяются искусственными, опирающимися на соседние зубы.Функциональной основой протезирования зубов являются резервные мощности зубного ряда, позволяющие выдержать дополнительную нагрузку.
Несъемный мостовидный протез (мост) — это конструкция, состоящая из одного или нескольких искусственных зубов, замещающих отсутствующие зубы и прикрепленных к соседним естественным зубам при помощи фиксирующих элементов (коронок, вкладок, пластин).
Несъемные мостовидные протезы восстанавливают жевательную эффективность до 100%, практически не нарушают вкусовую, температурную и тактильную чувствительность. По размерам и внешнему виду они могут полностью соответствовать Вашим естественным зубам.
Психологическая и функциональная адаптация к установленным несъемным мостовидным протезам происходит, как правило, за очень короткое время.
Наиболее часто используется тип несъемного мостовидного протеза, в котором замещающий искусственный зуб жестко соединен в единую конструкцию с двумя коронками, надевающимися на находящиеся справа и слева подготовленные соответствующим образом (препарированные) естественные зубы и зафиксированными при помощи цемента.
В некоторых случаях операции по протезированию зуба, замещающий искусственный зуб прикрепляется к задней поверхности соседних естественных зубов при помощи металлических пластинок (мост «Мэрилэнд»).
Иногда, когда нужно восстановить последний в ряду утерянный зуб, применяются консольные мостики: два крайних зуба в ряду обтачиваются, на них надевают две коронки и искусственный зуб, соединенных в единую конструкцию.
Врач-стоматолог определит, какой именно несъемный мостовидный протез поможет восстановить Ваши утраченные зубы. Жевательное давление, которое может достигать десятков килограммов, передается на кость через опорные зубы. Количество опор в мостовидном протезе наиболее часто равно двум, но иногда применяются мосты с тремя и большим количеством опор. Поскольку опорные зубы испытывают давление, приходящееся не только непосредственно на них, но и на промежуточную ферму моста, число замещаемых зубов не может быть слишком большим.
Как правило это 1— 2 отсутствующих зуба.
Из чего изготавливают несъемные мостовидные протезы?
Несъемные мостовидные протезы изготавливают из металлов (в том числе из стали, золота и других), сплавов металлов, фарфора, акриловых или композитных полимеров, комбинаций этих материалов. Наиболее широко используются цельнометаллические протезы (в том числе — литые, штампованно-паяные), металлокерамические протезы (когда металлический каркас облицован керамикой) и протезы, в которых для облицовки применяются композитные материалы.
Металлокерамические мосты имеют большую надежность и долговечность благодаря металлическому каркасу. Стоматологический фарфор, которым облицованы металлокерамические мосты, придает им высокую твердость поверхности, отличные светоотражательные свойства и цветостабильность. Мостовидные протезы, в которых металлический каркас облицован композитным материалом, более легким, близким по консистенции к твердой ткани живого зуба, имеют также определенные достоинства.
Облицовка композитными материалами обеспечивает необходимую твердость и не уступает фарфоровой по внешним данным.
Какие этапы включает протезирование с помощью несъемных мостовидных протезов?
Главным показанием к протезированию зубов с помощью несъемных мостовидных протезов являются дефекты зубного ряда — отсутствие одного или нескольких зубов, реставрации зубов.
Стоматолог определит оптимальный тип мостовидного протеза и материалы, из которых он будет сделан.
При этом будут приняты во внимание расположение дефекта зубного ряда, состояние тканей десен, особенности прикуса (смыкания зубов) и улыбки, цвет соседних зубов, с которыми должны максимально гармонировать цвет и форма мостовидного протеза.Для успешного протезирования зубов, крайне важно хорошее состояние зубов, которые будут опорой мостовидного протеза.
При необходимости врач проведет их рентгеновское исследование, сделает тесты на жизнеспособность (наличие в зубе живой пульпы).
Препарированные зубы перед установкой мостовидного протеза
После обследования проводится необходимое предварительное лечение (гигиенические процедуры, лечение десен, пломбирование опорных зубов и в случаях, когда без этого не обойтись — удаление пульпы и пломбирование корневых каналов).
Следующий этап — препарирование зубов, на которые будут надеваться коронки, входящие в состав мостовидного протеза. Препарирование зубов заключается в обтачивании их выпуклых поверхностей, препятствующих надеванию коронки.
Временный несъемный
мостовидный протез
Глубина препарирования зависит от типа будущего протеза, материала, из которого он будет изготовлен, а также от особенностей обтачиваемого зуба. Если зуб имеет пломбу, часть пломбировочного материала может быть сохранена на месте. Зубы с живой пульпой препарируются прерывисто, с местным обезболиванием, с водно-воздушным охлаждением.
После препарирования снимается слепок Ваших зубов, по которому в зуботехнической лаборатории происходит изготовление мостовидного протеза. Поскольку этот процесс может длиться от нескольких дней до 2—3 недель, на этот период Вам может быть установлен временный протез, который защитит препарированные зубы, позволит привыкнуть к новой форме зубного ряда и провести, если это потребуется, какие-либо изменения перед постановкой постоянного протеза.
Готовый несъемный мостовидный
протез после установки
На следующем этапе протезирования зубов проводятся примерка, подгонка и установка (припасовка) изготовленного протеза. При этом следует проверить смыкание зубов, составляющих мостовидный протез, с зубами противоположного ряда, эстетичность протеза (хороший внешний вид, сочетающийся с другими зубами). Необходимая коррекция протезируемых зубов производится непосредственно врачом-ортопедом или в зуботехнической лаборатории.
Для тщательной подгонки протеза могут потребоваться 1— 2 промежуточных визита к врачу в стоматологическую клинику.
Добившись правильной посадки протеза, врач выполнит его закрепление на своем месте цементом или адгезивом. Если через несколько дней после закрепления протеза возникли какие-либо проблемы, нужно еще раз обратиться к врачу, который посоветует, что сделать, или произведет дополнительную подгонку протеза.
Установка несъемного мостовидного протеза поможет Вам восстановить (а в некоторых случаях и улучшить!) функции и внешний вид естественных здоровых зубов, причем на сколь угодно длительное время.
Вместе с тем, следует учитывать, что изменение цвета, болезни десен и слизистой оболочки, болезни опорных и других зубов, а также иные причины могут вызвать необходимость дополнительной коррекции или замены несъемного мостовидного протеза при протезировании.
Несъемный мостовидный протез может быть удален только врачом-стоматологом в стоматологической клиники.
Уход за несъемными мостовидными протезами.
Состояние Вашего мостовидного протеза в значительной степени зависит от состояния десен, опорных и соседних зубов.
Тщательно соблюдайте правила индивидуальной гигиены полости рта!
Регулярно (не менее 2-х раз в день) чистите зубы и установленные мостовидные протезы! Контактные и боковые поверхности мостовидного протеза чистите зубной щеткой так же, как это делается с естественными зубами.
Для очистки промежутков между зубами и десневых бороздок могут использоваться зубные нити (флоссы), зубочистки и специальные межзубные щетки.
Межзубный промежуток чистится специальной щеткой
Специальный держатель зубной нити позволит произвести чистку под несъемным мостовидным протезом.
Чтобы избежать повреждения или поломки протеза не следует жевать или грызть твердые продукты, жесткие предметы, лед. Не менее 2-х раз в год посещайте врача-стоматолога, консультируйтесь с ним об особенностях ухода за Вашей полостью рта, используйте при необходимости рекомендованные им специальные приспособления и препараты!
Чтобы провести чистку под несъемным мостовидным протезом зубная нить протягивается под протезом при помощи держателя
Кроме положительных качеств (полноценное восстановление зубного ряда), мостовидные протезы имеют следующие недостатки:
— необходимость препарирования опорных зубов под коронки;
— возможность перегрузки пародонта при неправильной конструкции протеза;
— со временем опорные зубы могут быть повреждены или расшататься под нагрузкой;
— большая стоимость, чем у съемных протезов;
— затрудненная гигиена полости рта.
Возможность использования мостовидных протезов определяет врач в стоматологической клиники в зависимости от протяженности и топографии дефекта зубного ряда. Как правило, их применяют при потери от одного до четырех резцов, потери клыка, потери премоляров, потери двух премоляров и одного моляра. Если включенные дефекты очень протяженные, применение мостовидных протезов нецелесообразно.
Установка зубных протезов из металлокерамики в Санкт-Петербурге
Протезирование дефектов зубного ряда несет не только эстетическую функцию – это важный этап восстановления жевательной эффективности, от которой напрямую зависит общее здоровье организма. При отсутствии одного, двух, максимум трех зубов подряд и наличии двух опорных зубов, как правило, применяется метод несъемного протезирования мостовидными протезами. Эти конструкции обладают отличными эстетическими характеристиками, а их изготовление занимает от несколько дней до 2-3 недель.
Зубные протезы из металлокерамики – это одна из наиболее востребованных разновидностей несъемного протезирования.
Что такое металлокерамические коронки?
Конструкция состоит их цельнолитого металлического каркаса, на который нанесен слой керамической массы, соответствующей по цвету собственным зубам пациента. Для тех, кому показаны несъемные протезы, металлокерамика является вариантом выбора. Основные показания к изготовлению металлокерамики:
-
значительное разрушение коронковой части зуба, которое невозможно полноценно устранить при помощи композитной пломбы;
-
ограниченные дефекты зубных рядов при наличии устойчивых опорных зубов;
-
патологическая стираемость эмали, которая ведет к постепенному уменьшению высоты клинических коронок и снижению высоты прикуса;
-
аномалии формы и положения зубов, которые невозможно устранить другими способами.
Коронки из металлокерамики очень прочны и могут выдерживать значительные нагрузки.
Керамическая масса имеет отличную биосовместимость и не вызывает аллергических реакций. Правильно изготовленная коронка надежно защищает зуб от дальнейшего разрушения, а цвет и гладкая поверхность конструкции не меняется со временем. Несмотря на стоимость протеза, металлокерамика остается доступным и эстетичным методом восстановления утраченных зубов.
При протезировании в переднем участке зубного ряда чаще отдают предпочтение безметалловым конструкциям. Это связано с тем, что металлический каркас не пропускает свет, поэтому если во фронтальном участке стоит металлокерамика, зубы могут выглядеть не совсем естественно.
Подготовка к протезированию и этапы процедуры
Перед началом ортопедического лечения необходимо пролечить все кариозные зубы и устранить воспалительные процессы в полости рта. Зубы, не подлежащие восстановлению, придется удалить, а также обязательно нужно провести профессиональную чистку зубного камня. В большинстве случаев проводится депульпирование опорного зуба – удаление нерва и пломбировка корневых каналов.
После подготовки врач проводит обработку зубов – снимает слой эмали определенной толщины. Затем проводится снятие оттисков, которые передаются в зуботехническую лабораторию. Обработанные зубы покрываются временными коронками из композиционного материала, чтобы избежать дискомфорта пациента и сохранить уровень десны.
После того как в лаборатории отлит каркас будущего протеза, проводится его примерка в полости рта. Если все в порядке, врач совместно с пациентом выбирает цвет керамики и снова передает работу зубному технику. Потребуется еще одна примерка протеза перед окончательной его припасовкой, а во время финального визита врач цементирует готовую работу при помощи специальных фиксирующих цементов.
Уход и особенности пользования металлокерамическими конструкциями
Для тех, кому необходим относительно недорогой и эстетичный несъемный протез, металлокерамика, цена которой вполне приемлема, является идеальным выбором. Она проста в уходе и требует такого же отношения, как собственные зубы.
Зубы необходимо чистить минимум дважды в день после еды, а в течение дня обязательно прополаскивать ротовую полость после приема пищи.
Запишитесь на прием к врачу
- Смоленская ул., 9
Записаться на прием - Ул. Бадаева, 6, корп. 1
Записаться на прием - Бульвар Менеделеева, 9, корп. 1
Записаться на прием - Туристская ул., 10
Записаться на прием
Уход за съемными зубными протезами
Как и обычным зубам, протезам нужен постоянный уход. Забудете о гигиене, и искусственные зубы покроются налетом, появится запах изо рта. В конце концов улыбка потеряет эстетический вид. Неприятно, не правда ли? Давайте же выясним, как это предотвратить.
Чистка зубных протезов: средства и таблетки для ухода
Причина всех бед – бактерии. Расправиться с ними можно разными методами.
Промывка
После еды искусственные зубы промываются водой. В идеале – кипяченой.
Использование щетки для чистки в домашних условиях
По возможности, после полоскания протеза в воде рекомендуется провести механическую чистку.
Для этого нужны мягкая щетка и паста с низкой абразивностью (можно брать детские щадящие пасты).
Дезинфекция
Чтобы гарантированно избавиться от остатков пищи (и крема для фиксации, если таковой используется), конструкцию рекомендуется периодически погружать в антисептик (например, VITIS Orthodontic или любые ополаскиватели, в состав которых входит хлоргексидин).
Дезинфицирующую жидкость также можно получить, растворив в воде специальные таблетки (Efferdent, Corega, Lacalut, President, Dentipur, Dontodent и другие) для дезинфекции протезов. Процедура позволяет полностью избавиться от бактерий, которые провоцируют заболевания зубов и десен.
Применение прибора для чистки ультразвуком
Раз в полгода ортопеды рекомендуют проводить ультразвуковую чистку съемной
конструкции.
В ходе этой процедуры удаляются твердые и мягкие отложения, снимается пигментированный налет, устраняется неприятный запах.
Важные правила во время чистки
Чтобы не повредить протез при надевании, снятии и во время чистки все процедуры рекомендуется проводить перед зеркалом и над раковиной, подложив в нее мягкое полотенце. Если конструкция выскользнет из рук, она не сломается.
Уход за зубными протезами
В первое время врачи советуют не снимать протезы на ночь и спать в них, но после привыкания следует вынимать их каждый день минимум на шесть часов – это то время, которое необходимо тканям протезного ложа для отдыха. Важно, чтобы конструкция все время находилась во влажной среде – во рту, в воде или специальном растворе.
Чтобы не ухудшать фиксацию, нужно отказаться от жевательных резинок, ирисок и подобной еды. От кофе, чая и курения протезы, как и настоящие зубы, покрываются налетом. Рассмотрим особенности ухода за разными протезами.
Протезы из пластмассы
За акриловыми пластмассовыми конструкциями ухаживать нужно точно так же, как и за зубами – ежедневная двухразовая чистка щеткой с пастой, ополаскивание после еды, дезинфекция.
Хранить конструкции из акрила нужно только в сухом виде.
Особенность ухода за полиуретановыми протезами из гибкой пластмассы – категорический запрет использования абразивных паст для чистки.
Уход протезами из силикона
Силиконовым конструкциям нужен особый уход. Для чистки можно использовать средство для мытье посуды или жидкое мыло: они не содержат абразивов и отлично справляются с бактериями. На ночь протезы следует снимать и класть в антисептическую жидкость. Конструкция не должна пересыхать, контактировать с горячей водой – это приводит к деформации.
Как ухаживать за нейлоновыми зубными протезами
Материал легко поцарапать, поэтому при чистке нужно использовать только безабразивные пасты и мягкие щетки. Из-за того, что нейлон впитывает посторонние запахи и может окрашиваться от еды и напитков, особое внимание нужно уделить дезинфекции. Замачивать протезы следует в жидкостях для дентального нейлона (например, Fittydent).
Протезы из металлокерамики
Чистка зубов из металлокерамики должна выполняться утром и вечером, а также и после приемов пищи.
На ночь они снимаются: вытираются насухо и так хранятся до утра, или же опускаются на время в специальную жидкость для протезов.
Чтобы предупредить образование на металлокерамических зубах трещин, желательно отказаться от очень горячей и очень холодной еды и напитков, не чередовать во время еды продукты с большой разницей температур.
Бюгельные протезы
Эти конструкции изготавливают из металлокерамики, пластмассы и других материалов.
От этого и зависят особенности ухода за ними. Полоскания, чистку и дезинфекцию нужно проводить так же часто, как и с другими протезами.
На нашем сайте можно найти детальную информацию об уходе за разными видами съемных протезов и ознакомиться с рекомендациями опытных стоматологов-ортопедов.
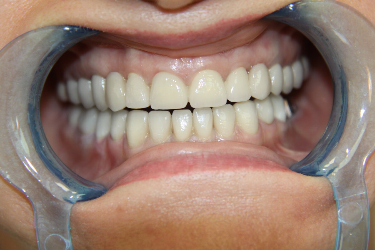
Верхний комбинированный протез, металлокерамический мостовидный протез на нижнюю челюсть
Пациентка 49 лет обратилась в клинику Суба Дентал со следующими жалобами:
- Ей не хватало смелости и финансовых средств, чтобы посетить стоматолога в течение многих лет, и она обратилась в нашу клинику по рекомендации друзей.

- Она хочет восстановить жевательную функцию и вернуть красивые зубы.
- Она знает, что нужно удалить некоторые зубы, так как они явно расшатались.
- Она не исключает возможности установки имплантата, но выступает против крупного костного трансплантата. Если был показан крупный костный трансплантат, она предпочла бы съемный раствор.
До
После
При первом осмотре стало очевидно, что верхние и нижние резцы и верхний правый первый премоляр должны быть удалены из-за разрушения кости вокруг корневого канала зуба.
При первом лечении была проведена КЛКТ (компьютерная томография с коническим лучом), чтобы исследовать остаточную костную массу в 3-х измерениях и определить точное расположение имплантатов. Компьютерная томография показала, что высота кости в области верхних моляров недостаточна с обеих сторон, что указывает на наличие костного трансплантата, называемого синус-лифтом, для надежной фиксации имплантатов.
Поскольку наша пациентка была против костного трансплантата, мы порекомендовали ей традиционное протезирование, а именно комбинированное протезирование зубов.
Что такое комбинированная замена зубов?
Комбинированная замена — это комбинация двух разных видов замены зубов. Обычно его применяют при адентулии со свободным концом, когда имеются естественные передние зубы, но отсутствуют задние зубы. В таких случаях естественные зубы получают фиксированный металлокерамический мостовидный протез, который представляет собой фиксированный заменитель зуба с цементной фиксацией, на который крепится съемный протез со скрытой кламмерой, заменяющий задние зубы.
Осмотрев нижнюю челюсть, мы установили, что беззубость в левой задней позиции отсутствует.6 (первый моляр) можно было полностью восстановить с помощью имплантата, поскольку остаточная костная масса соответствовала зубному имплантату. После консультации и составления плана лечения имплант был установлен.
Зубы, не подлежащие ремонту, были удалены, и на период заживления были предоставлены временные протезы.
Что нужно знать о временных зубных протезах?
- В случае временных протезов также важна тщательная очистка! Протез следует снимать после каждого приема пищи и тщательно очищать щеткой для зубных протезов, удаляя остатки пищи, застрявшие под ним.Полость рта также следует тщательно промыть, соблюдая осторожность.
- Желательно снимать протезы на ночь, чистить их и хранить в сухом месте, чтобы свежая рана во рту могла «дышать» и зажить.
- Во время заживления анатомические отношения между челюстной костью и десной постоянно меняются. Через пару недель протез может начать шевелиться, расшатываться и терять выравнивание, поскольку первоначальная опухоль отступает через несколько дней.
- Если протез слишком сильно раскачивается и его изнашивание приводит к растрескиванию, обратитесь в нашу клинику, так как это можно исправить с помощью простой перебазировки.

- Если возможно, носите временные протезы только в том случае, если вам нужно уйти из дома или встретиться с другими людьми. Дома обязательно снимайте протез, чтобы он не мешал процессу заживления.
Лечение можно продолжить после 3–4 месяцев заживления, после того, как места удаления зубов полностью заживут и имплантаты интегрировались в кость (остеоинтеграция).
Первая панорамная рентгенограмма, представленная пациентом
Контрольная панорамная рентгенограмма после установки нижнего имплантата и удаления зубов при необходимости
Вторая обработка (10 рабочих дней)
После 3-месячного заживления последовало более длительное 10-дневное лечение.
Сначала были сняты прецизионные оттиски имплантата с использованием слепочных колпачков с закрытой ложкой. Затем были подготовлены естественные зубы для установки коронок, с них также были сняты слепки.
При гнатологическом лечении определялось соответствующее положение височно-нижнечелюстных суставов и высота прикуса.
В ходе пробной подгонки каркаса была проверена точность оттиска и правильность металлического каркаса замены зуба.В это время все замены зубов должны полностью соответствовать мастер-модели.
Во время примерки протеза прикус, длина каркаса и заменяемых зубов, средняя линия и линия улыбки были проверены еще раз.
При предварительной пробной подгонке коронки почти закончены, керамика уже спечена на каркасе, металлическая пластина протеза готова, но зубы все еще покрыты воском, чтобы можно было при необходимости отрегулировать. На этом тесте можно с еще большей точностью проверить прикус (функцию) пациента, форму и цвет коронок, среднюю линию (эстетику) и линию улыбки.
Между различными тестовыми фитингами лечение корневых каналов выполняется по мере необходимости.
После достижения идеального прикуса и эстетики на коронки наносится слой глазури, придающий им естественный вид.
Хотя между различными тестами проходит несколько дней, зубные техники работают в полную силу в фоновом режиме.
По окончании лечения наш пациент остался доволен и широко улыбнулся. Теперь ее самооценка восстановлена, и она чувствует себя непринужденной, чтобы снова улыбнуться.
Не забывайте, что полная замена зуба не означает, что мы можем перестать посещать стоматолога. Думайте о новом протезе как о новом автомобиле, который только что выехал из автосалона: помимо чистки и ухода, наши зубы также требуют регулярного обслуживания и осмотра, как и наша машина. Ежегодный осмотр и профессиональное удаление зубного камня являются условиями гарантии.
Верхний комбинированный протез на гипсовой повязке. Хорошо видны передние коронки, к которым съемный протез крепится с помощью так называемых скрытых фиксирующих кламмеров.
Верхний комбинированный протез снятый с гипсовой повязки
Фиксированная часть верхнего комбинированного протеза (металлокерамический мостовидный протез), цементируемая на препарированные естественные зубы (препсы)
Съемная часть верхнего комбинированного протеза, то есть съемный протез с задними зубами и металлическими крыльями бабочки для большей устойчивости.
Демонтированный верхний комбинированный протез.Передний металлокерамический мостовидный протез, который представляет собой фиксированную часть с цементной фиксацией, и съемный протез с задними зубами и крыльями бабочки для обеспечения большей устойчивости
Металлокерамический мостовидный протез с полной аркой для естественных нижних зубов и имплантатов, на гипсовой основе
Инструктаж пациента о важности домашнего ухода, стоматологических приспособлений и чистки зубов. Очистка готового металлокерамического мостовидного протеза с помощью межзубной щетки и Super Floss (Oral B)
Панорамный снимок готовых металлокерамических мостовидных протезов после несъемного цементирования
До
After
Несъемные мостовидные протезы из фарфора (керамики) | Салем, OR
Зубной мост — это несъемный (несъемный) аппарат, который является отличным способом замены отсутствующих зубов.
Есть несколько типов мостов. Вы и ваш стоматолог обсудите лучшие варианты для вашего конкретного случая. «Традиционный мост» когда-то был самым популярным типом и обычно делался из фарфора, сплавленного с металлом. Керамические несъемные мостовидные протезы наиболее популярны, потому что они напоминают ваши естественные зубы. Этот тип мостовидного протеза состоит из двух коронок, которые проходят над двумя фиксирующими зубами (опорные зубы) и прикрепляются к мосту (искусственные зубы), заполняя промежуток, образованный одним или несколькими отсутствующими зубами.
Зубные мосты очень прочные и прослужат много лет; однако они могут нуждаться в замене или повторной цементации из-за нормального износа.
Причины стационарного моста:
Заполнить пространство отсутствующих зубов.
Поддерживайте форму лица.
Предотвращает смещение оставшихся зубов.

Восстановить жевательную и говорящую способность.
Восстановите свою улыбку.
Переход от съемного частичного протеза к постоянному стоматологическому устройству.
Что включает в себя приобретение фиксированного моста?
Чтобы установить мост, обычно требуется два или более визитов. Пока зубы онемели, два фиксирующих зуба подготавливаются путем удаления части эмали для изготовления коронки.Затем делается цифровое сканирование, которое будет отправлено в зуботехническую лабораторию, где будет изготовлен мост. Кроме того, вам будет изготовлен временный мостовидный протез, который будет носить его в течение нескольких недель до следующего приема.
При втором посещении постоянный мостовидный протез будет тщательно проверен, отрегулирован и зацементирован для обеспечения правильной посадки.
Иногда стоматолог может лишь временно закрепить мостовидный протез, давая вашим зубам и тканям время привыкнуть к новому мосту. Новый мост будет окончательно зацементирован позднее.
По завершении лечения вы получите инструкции по уходу. Правильная чистка зубов щеткой, зубной нитью и регулярные посещения стоматолога улучшат жизнь вашего нового постоянного мостовидного протеза.
достижений в области цельнокерамических реставраций — аспекты стоматологической гигиены
ПОКУПКА КУРСАЭтот курс был опубликован в выпуске за май 2012 года и истекает в мае 2015 года. У авторов нет коммерческих конфликтов интересов, которые следует раскрывать. Это 2 кредитных часа самообучения осуществляется с помощью электронных средств.
ОБРАЗОВАТЕЛЬНЫЕ ЦЕЛИ
После прочтения этого курса участник должен уметь:
- Обсудите плюсы и минусы цельнокерамических реставраций.
- Укажите наиболее распространенные материалы, используемые в цельнокерамических реставрациях.

- Объясните показания к применению неметаллических реставраций.
- Подробные стратегии безопасного ухода за этими реставрациями.
Предсказуемая прочность и разумная эстетика сделали металлокерамические реставрации популярными на протяжении последних 50 лет.Но в связи с улучшением качества материалов и растущим спросом на эстетические реставрации и реставрации, не содержащие металлов, использование цельнокерамических реставраций растет. 1,2 В настоящее время существует множество цельнокерамических систем, доступных для многих клинических применений, таких как виниры, коронки с частичным покрытием, коронки и несъемные частичные протезы (FPD). 2,3
Успешное клиническое применение цельнокерамических материалов зависит от способности практикующего выбрать подходящий материал и протокол цементирования, которые удовлетворяют потребности и ожидания пациента. 2 Выбор конкретной керамической системы должен основываться на физических свойствах, таких как прочность, сопротивление разрушению, износу и отдаленным клиническим результатам, а также на эстетических свойствах.
4 Следовательно, стоматолог и стоматолог-гигиенист должны понимать эти материалы и системы, чтобы они могли обучать своих пациентов, планировать лечение наиболее подходящей реставрации и поддерживать реставрацию с течением времени.
КЕРАМИЧЕСКИЕ МАТЕРИАЛЫ, ИСПОЛЬЗУЕМЫЕ В СТОМАТОЛОГИИ
Термин «керамика» происходит от греческого слова «keramos», что означает «гончар» или «гончарные изделия».«Улучшения в цельнокерамических системах привели к получению прочных и очень эстетичных реставраций. Хотя керамика может быть прочной, она является очень хрупким материалом и разрушается при изгибе или изгибе. 3 Лейциты, дисиликаты лития, керамика на основе оксида алюминия и керамика на основе диоксида циркония являются наиболее широко используемыми цельнокерамическими системами (Таблица 1).
КЕРАМИКА, УСИЛЕННАЯ ЛЕЙЦИТОМ
Самый распространенный лейцитовый материал — IPS Empress TM (Ivoclar Vivadent).Керамика, армированная лейцитом, представляет собой монолитную реставрацию, что означает, что материал остается неизменным на протяжении всей реставрации.
Дополнительной облицовочной керамики поверх колпачка нет. Лейциты естественным образом рассеивают свет и имеют полупрозрачный и реалистичный вид, но им не хватает прочности при использовании в определенных клинических ситуациях. Этот материал обладает прочностью на изгиб примерно 160 МПа и используется для изготовления виниров, вкладок, накладок, коронок 3/4, а также одиночных коронок на передние зубы и премоляры.
КЕРАМИКА ДИСИЛИКАТ ЛИТИЯ
Недавно на рынок вышла керамика из дисиликата лития, в первую очередь IPS e.max TM (Ivoclar Vivadent). Эти реставрации, как правило, монолитные, но также могут быть выполнены в виде реставраций, покрытых облицовочным фарфором. Они эстетичны, их можно окрашивать и окрашивать для повышения эстетики. Эта система позволяет осуществлять компьютерное проектирование и производство (CAD / CAM) путем фрезерования реставраций из плотных керамических блоков.
Реставрация выточена из пурпурного блока и требует процесса кристаллизации при 840 ° C, а также внешнего окрашивания и глазурования при более низких температурах.
Реставрация называется IPS e.max CAD. Эту процедуру можно проводить как в офисе, так и в лаборатории. Второй способ использования дисиликата лития — использование прессовальной техники только в лаборатории. Эти реставрации называются IPS e.max Press. Прочность на изгиб этого материала составляет от 360 МПа до 400 МПа. 5 Благодаря своей высокой прочности, дисиликат лития может использоваться для изготовления вкладок, накладок, коронок 3/4, коронок с полным покрытием и короткопролетных мостовидных протезов в передних и премолярах. 2
Рисунок 2 . Клинический случай с облицованными циркониевыми коронками.КЕРАМИКА НА ОСНОВЕ ГЛИНА
Керамика на основе глинозема включает ProceraTM (Nobel Biocare), In-Ceram AluminaTM (VITA Zahnfabrik) и In-Ceram SpinellTM (VITA Zahnfabrik).
Эти системы используются с конца 1980-х годов. Реставрации из оксида алюминия имеют высокопрочный сердечник из оксида алюминия, облицованный керамикой того же типа, что и металлокерамические коронки. 2 Этот материал можно использовать для коронок на передние и боковые зубы. 6 При изготовлении каркаса Procera используется технология CAD / CAM.
КЕРАМИКА НА ОСНОВЕ ЦИРКОНИЯ
Рисунок 3A. Частичный несъемный металлокерамический протез. Благодаря своей чрезвычайно высокой прочности керамика на основе диоксида циркония, такая как Lava TM (3M ESPE) и BruxZir TM (Glidewell Laboratories), получила широкое распространение. 1 Эти реставрации изготавливаются с использованием технологии CAD / CAM. Они могут быть изготовлены как монолитные реставрации для коронок боковых зубов, так и высокопрочные циркониевые колпачки, облицованные полевошпатным фарфором.Прочность на изгиб для этого материала составляет от 900 до 1200 МПа.
7 Сколы на облицовочном фарфоре — это проблема, которая может возникнуть при облицованных реставрациях. 5 Таким образом, набирают популярность полноконтурные монолитные реставрации из диоксида циркония (BruxZir). Эти реставрации требуют минимальной подготовки и обеспечивают умеренный эстетический результат. 1 Хотя коронки из твердого диоксида циркония очень прочные, из-за отсутствия выбора цвета и смешивания их в основном используют в боковых отделах.Более распространено использование циркониевых колпачков для коронок и каркасов для несъемных частичных протезов с облицовкой из фарфора, размещенной на внешней поверхности, подобно металлокерамическим реставрациям (рис. 1 и рис. 2). Их можно использовать для коронок и мостовидных протезов для передних и боковых зубов. Абатменты имплантата также могут быть изготовлены из материалов на основе диоксида циркония. 8
ПРАКТИЧЕСКОЕ ПРИМЕНЕНИЕ ДЛЯ СТОМАТОЛОГИЧЕСКОГО ГИГИЕНИСТА
Рисунок 3B.
Несъемные реставрации из диоксида циркония с облицовкойКак член стоматологической бригады, стоматолог-гигиенист часто является первым практикующим врачом, который контактирует с пациентами, которые проходят лечение, или с новыми пациентами.Таким образом, стоматолога-гигиениста просят определить существующие реставрации, и он получает множество вопросов, которые могут возникнуть у пациентов относительно новых материалов или эстетических вариантов. Клинически существующая цельнокерамическая реставрация может выглядеть очень реалистично. Чтобы нанести на карту существующие керамические реставрации, стоматолог-гигиенист должен будет использовать рентгеновские снимки и тактильные ощущения, чтобы нащупать края. Чтобы различать различные типы цельнокерамических реставраций на рентгенограмме, стоматолог-гигиенист должен понимать различия в материалах.
На рис. 3А показана рентгенограмма металлокерамической коронки. Обратите внимание, что эта реставрация не является монолитной, так как в ней присутствуют два слоя: очень рентгеноконтрастный металлический колпачок вокруг препарированного зуба и менее непрозрачный слой фарфора, окружающий его.
На рентгенограмме облицованной реставрации из диоксида циркония будет видна рентгеноконтрастная сердцевина, похожая на металлокерамическую коронку, как показано на Рисунке 3B. Обратите внимание, что колпачки выглядят очень закругленными по углам, что является отличительной чертой цельнокерамических препаратов. Клинически коронка из диоксида циркония не имеет никаких следов металла в области десен.Склеенные виниры показаны на рисунке 3C. Их можно определить по полу рентгеноконтрастному ореолу, окружающему минимально подготовленный зуб. Коронки из дисиликата лития монолитны и слегка рентгеноконтрастны, как показано на Рисунке 3D. Эти реставрации чем-то похожи на заполненные композитом пломбы.
ИНТЕГРАЦИЯ ЦЕЛЬКЕРАМИЧЕСКИХ ВАРИАНТОВ В ЛЕЧЕНИЕ
Если пациент проявляет интерес к высокоэстетичным или «безметалловым» реставрациям, стоматолог-гигиенист должен критически оценить показания и / или ограничения цельнокерамических вариантов.
Некоторые соображения включают передние зубы по сравнению с задними, наличие парафункциональных привычек, цвет основной структуры зуба и прозрачность соседних зубов. 4
Реставрация с облицованным цирконием колпачком или полной циркониевой коронкой — самая прочная из цельнокерамических вариантов. Хотя эти варианты из диоксида циркония прочны, металлокерамическая коронка по-прежнему менее склонна к отказам под нагрузкой. 9 Если у пациента есть признаки брукса или шлифовки, металлокерамическая коронка все еще может быть лучшим вариантом для задней реставрации.Когда окклюзионная схема кажется здоровой и стабильной, целесообразным вариантом будет облицованная цирконием коронка. Если возможно сохранить часть здоровой структуры зуба, может быть подходящей вкладка или накладка из дисиликата лития. Эти реставрации могут быть предпочтительнее больших боковых композитов с множеством поверхностей. 10
В переднем отделе есть больше возможностей для цельнокерамических реставраций.
Большинству пациентов подходят облицованные коронки из дисиликата лития или циркония или виниры с бондингом.Опять же, если у пациента наблюдается парафункциональный износ или ограниченное пространство для реставрации, металлокерамическая реставрация может быть лучшим вариантом. Из-за своей высокой прозрачности коронки из лейцита или облицовки из дисиликата лития могут обеспечить лучший контроль эстетики при подборе существующих естественных зубов. 4 И наоборот, если основная структура зуба пациента имеет темные пятна (например, окрашивание тетрациклином или предыдущее эндодонтическое лечение), следует рекомендовать облицованную цирконием, оксидом алюминия или металлокерамическую коронку, поскольку их непрозрачные колпачки маскируют темную основную структуру зуба.
УХОД И ТЕХНИЧЕСКОЕ ОБСЛУЖИВАНИЕ
За цельнокерамическими реставрациями следует ухаживать так же, как и за металлокерамическими реставрациями, но с некоторыми особенностями (таблица 2).
Следует соблюдать осторожность при использовании абразивных профилактических паст на глянцевых керамических поверхностях, так как чрезмерное использование может привести к истиранию керамической глазури. Профилактические абразивные пасты вызывают шероховатость поверхности и разрушение цемента, фиксирующего смолу, на краях керамических виниров и накладок. 11 Также важно просвещение относительно использования абразивных домашних зубных паст, содержащих частицы диоксида кремния. 12
Следует соблюдать осторожность при использовании подкисленных фторидных ополаскивателей или паст. В отличие от фторида натрия, подкисленный фторид может вызывать травление и шероховатость глазурованной керамической поверхности. 13 Это может привести к усиленному окрашиванию и снижению блеска. При наличии керамических реставраций используйте только нейтральные фториды.
Хотя ультразвуковые скейлеры полезны во время гигиенических процедур, они могут повредить хрупкие керамические края.
14 Следует проявлять особую осторожность при использовании ультразвукового инструмента для удаления зубного камня по краям цельнокерамической реставрации, особенно адгезивных виниров. Наконец, пациенты должны быть проинформированы об относительной хрупкости реставраций. По возможности следует избегать твердой пищи, а в случае развития небольших трещин на окклюзионных поверхностях или режущих кромках стоматолога следует проинформировать о возможной необходимости корректировки окклюзии или изготовления окклюзионных накладок. 15
ЗАКЛЮЧЕНИЕ
Использование и спрос на цельнокерамические реставрации в последние годы увеличились.Эти реставрации обеспечивают отличную посадку, функциональность и эстетику и при правильном использовании могут быть разумной заменой металлокерамическим реставрациям. С улучшением производственных возможностей и эстетических качеств можно ожидать дальнейшего увеличения использования цельнокерамических реставраций. Поэтому стоматологам-гигиенистам важно понимать показания и ограничения этих материалов.
ССЫЛКИ
- Christensen GJ. Дилемма цельнокерамической реставрации: где мы? J Am Dent Assoc. 2011; 142 668–671.
- Conrad HJ, Seong WJ, Pesun IJ. Современные керамические материалы и системы с клиническими рекомендациями: систематический обзор. J Протез Дент . 2007. 98: 389–404.
- Джордано Р., McLaren EA. Обзор керамики: классификация по микроструктуре и методам обработки Compend Contin Educ Dent. 2010; 31: 682–684.
- McLaren EA, Уайтмен Ю.Ю. Керамика: обоснование выбора материала. Compend Contin Educ Dent.2010. 31: 666–668.
- Калп L, McLaren EA. Дисиликат лития: множество вариантов реставрационного материала. Compend Contin Educ Dent. 2010; 31: 716–720.
- Этман М.К., Вулфорд MJ. Трехлетняя клиническая оценка двух систем керамических коронок: предварительное исследование. J Prosthet Dent. 2010; 103: 80–90.
- Джордано Р., Саброза CE.
Диоксид циркония: основа материалов и клиническое применение. Compend Contin Educ Dent. 2010; 31: 710–715. - Nakamura K, Kanno T, Milleding P, Örtengren U.Цирконий как материал для абатментов зубных имплантатов: систематический обзор. Int J Prosthodont. 2010; 23: 299–309 .
- Потикет Н, Чиче Г, Палец ИМ. Устойчивость зубов к излому in vitro восстановлена с помощью различных систем цельнокерамических коронок. J Prosthet Dent. 2004. 92: 491–495.
- Magne P, Belser UC. Фарфор по сравнению с композитными вкладками / накладками: влияние механических нагрузок на распределение напряжений, адгезию и изгиб коронки. Int J Пародонтология Реставрационная Вмятина .2003. 23: 543–555.
- Neme AM, Wagner WC, Pink FE, Frazier KB. Влияние профилактических полировочных паст и чистки зубов на шероховатость поверхности полимерных композиционных материалов in vitro. Oper Dent. 2003; 28: 808–815.
- Лусси А.
, Хеллвиг, Э. Оценка рисков и превентивные меры. Mongr Oral Sci. 2006; 20: 190–199. - Kula K, Kula TJ. Влияние местного применения APFfoam и других фторидов на облицовочные керамические поверхности. Педиатр Дент. 1995; 17: 356–361.
- Vermilyea SG, Prasanna MK, Agar JR. Влияние ультразвуковой очистки и воздушной полировки на керамические реставрации губного края. J Prosthet Dent. 1994; 71: 447–452.
- Гейссбергер М. Клиническая эстетическая стоматология Практика. Эймс, Айова: Wiley-Blackwell; 2010.
Из Размеры стоматологической гигиены . Май 2012 г .; 10 (5): 60-63.
Бруксизм и протезирование: критический обзор
Реферат
Цель
На основании результатов имеющихся исследований бруксизма и протезирования, опубликованных в стоматологической литературе, была предпринята попытка сделать выводы о существовании возможной взаимосвязи между два, и его клиническое значение.
Выборка исследования
Поиск в MEDLINE / PubMed проводился с использованием терминов «бруксизм» и «протезирование», а также комбинаций этих и связанных с ними терминов. Критически рассмотрены несколько исследований, признанных актуальными, в дополнение к статьям, найденным в ходе дополнительного ручного поиска списков литературы в выбранных статьях.
Результаты
Бруксизм — распространенная парафункциональная привычка, возникающая как во сне, так и в бодрствовании. Обычно он вызывает мало серьезных последствий, но может проявляться у некоторых пациентов.Этиология многофакторна. Не существует известного лечения бруксизма, включая протезирование. Роль бруксизма в процессе износа зубов неясна, но не считается основной причиной. Как сообщается в настоящем критическом обзоре, взаимосвязь между бруксизмом и протезированием в основном связана с эффектом первого на второе.
Выводы
Бруксизм может быть включен в число факторов риска и связан с увеличением механических и / или технических осложнений при ортопедической реабилитации, хотя он, по-видимому, не влияет на выживаемость имплантата.
Когда протезирование показано пациенту с бруксизмом, следует предпринять усилия, чтобы уменьшить влияние вероятной тяжелой окклюзионной нагрузки на все компоненты, которые способствуют структурной целостности протеза. Невыполнение этого требования может указывать на более ранний отказ, чем это принято в норме.
Ключевые слова
Несъемные зубные протезы
Реставрации с опорой на имплант
Парафункция полости рта
Съемные протезы
Износ зубов
Протезирование зубов
Рекомендуемые статьи Цитирующие статьи (0)
Просмотр аннотацииhost, Япония, 2011 г.Опубликовано Elsevier Ireland Ltd.
Рекомендуемые статьи
Ссылки на статьи
Короны и мосты | Колледж стоматологии
Коронки и мосты
Коронки выглядят и ощущаются так же, как и ваши естественные зубы. Коронку можно установить поверх существующего зуба после того, как он был препарирован, или ее можно установить поверх имплантата, который был установлен там, где зуб был потерян.
В любом случае, за несколько коротких визитов вы получите красивое и долгосрочное решение косметической проблемы.
Коронка может обеспечить поддержку и эстетику, необходимые, когда зуб треснул или пломба большая и снижает прочность зуба. В случае трещины или большой площади разрушения, требующей процедуры лечения корневого канала, зуб будет восстановлен коронкой. Обычно для завершения вашей короны потребуется несколько посещений. Каждая коронка изготавливается по индивидуальному заказу с использованием слепков или нашей собственной технологии 3D CAD / CAM для оптимальной подгонки, функциональности и естественного вида.
Мы предлагаем несколько вариантов лечения имплантатов и коронок в зависимости от ваших потребностей:
Коронки с опорой на имплантаты — это керамические / металлокерамические реставрации, удерживаемые зубными имплантатами, которые были помещены в челюстную кость для замены отсутствующих корней.Когда естественный зуб потерян или отсутствует, имплантат и соответствующая ему коронка являются лучшим выбором для замены, поскольку он не может быть удален пациентом, оставляет без изменений соседние зубы, устойчив к болезням и точно имитирует ощущение и функцию зуба.
натуральный зуб.
Несъемные протезы с опорой на имплантаты — это полные реставрации зубной дуги керамических / металлокерамических коронок / мостовидных протезов или полных протезов, удерживаемых / поддерживаемых множеством титановых имплантатов, размещенных в стратегически важных местах.Это идеальное реставрационное решение, когда у пациента полностью отсутствуют зубы (без каких-либо зубов), поскольку, в отличие от обычного альтернативного протеза, он не снимается пациентом и очень похож на естественные зубы как функционально, так и эстетически.
Съемные протезы с опорой на имплантаты — это доступная альтернатива для замены всех зубов. По сути, полный зубной протез поддерживается и удерживается несколькими (2-6) стратегически расположенными зубными имплантатами. Это может обеспечить невероятный эстетический и функциональный результат.
Индивидуальный подбор цвета зубов
Цветовой состав тщательно подбирается, а затем реставрации разрабатываются индивидуально и создаются в соответствии с вашими индивидуальными потребностями.
Это включает в себя тщательный контроль формы, формы и цвета вашей индивидуальной реставрации. Этот процесс особенно важен при реставрации одного переднего зуба, когда небольшое изменение оттенка может сделать реставрацию очевидной и неестественной.
Керамические коронки (безметалловые)
Керамические коронки являются предпочтительной альтернативой традиционным керамическим реставрациям, сплавленным с металлом, в передней части рта.Мы изготавливаем керамические коронки из высокопрочных материалов, которые отличаются высочайшей прочностью и эстетичностью. Каждая коронка изготавливается по индивидуальному заказу с использованием слепков или нашей собственной технологии 3D CAD / CAM для оптимальной подгонки, функциональности и естественного вида.
Коронки и мосты — Acacia Lane Dental
МОСТЫ
Зубной мост — это искусственный зуб, известный как мостовидный протез, который соединяется между двумя фарфоровыми коронками, чтобы заполнить область, оставленную отсутствующим зубом.
Это называется фиксированным мостом. Эта процедура используется для замены одного или нескольких отсутствующих зубов. Несъемные мостовидные протезы нельзя вынимать изо рта, как съемные частичные протезы.
Мосты могут снизить риск заболевания десен, помочь исправить некоторые проблемы с прикусом и даже улучшить вашу речь. Мосты требуют серьезной гигиены полости рта, но прослужат не менее десяти лет.
Обзор процедуры установки мостовидного протеза.
Если у вас есть промежуток от отсутствующего зуба, будет изготовлен мостовидный протез, чтобы заполнить пространство ложным зубом.Вставной зуб прикрепляется к двум другим соседним зубам вокруг промежутка, соединяя их вместе.
Как делается мостовидный протез?
Ваш стоматолог подготовит ваши зубы по обе стороны от места для вставного зуба. Вам дадут слабый анестетик, чтобы обезболить этот участок, и ваш стоматолог удалит участок каждого абатмента (зубы по обе стороны от пространства) в соответствии с толщиной коронки.
Дантист снимет слепок, который послужит моделью для изготовления мостовидного протеза, искусственного зуба и коронок в зуботехнической лаборатории.Вам установят временный мост, чтобы вы могли носить его, пока мост будет изготовлен до вашего следующего визита. Этот временный мост защитит ваши зубы и десны.
Ваш стоматолог может посоветовать вам пользоваться ластами. Флиппер — это искусственный зуб, который временно заменяет отсутствующий зуб перед установкой постоянного мостовидного протеза. Плавник можно прикрепить либо с помощью проволоки, либо с помощью пластмассовой детали, которая подходит к нёбу. Ласты должны быть временным решением в ожидании постоянного моста.
Во время вашего второго визита временный мост будет удален. Ваш новый постоянный мостовидный протез будет смонтирован, проверен и отрегулирован на предмет любых несоответствий прикуса. После этого ваш новый мост будет прикреплен к вашим зубам.
Существует три типа зубных мостов:
Традиционный фиксированный мост: Зубной мост — это искусственный зуб, известный как мостовидный протез, который соединяется между двумя фарфоровыми коронками для заполнения области, оставленной отсутствующим зубом.
. Это называется фиксированным мостом.Эта процедура используется для замены одного или нескольких отсутствующих зубов. Несъемные мостовидные протезы нельзя вынимать изо рта, как съемные частичные протезы.
мостовидные протезы с полимерным бондингом: мостовидные протезы с полимерным бондингом в основном используются для ваших передних зубов. Этот менее дорогой мост лучше всего использовать, когда опорные зубы здоровы и не имеют больших пломб. Искусственный зуб соединяется с бандажами, которые прикреплены к опорным зубам с помощью смолы, которая не видна. Этот тип мостовидных протезов уменьшает количество препарирования на соседних зубах.
Консольные мостовидные протезы: Консольные мостовидные протезы используются, когда зубы есть только на одной стороне открытого пространства. Эта процедура включает фиксацию искусственного зуба с одной стороны над одним или несколькими естественными и соседними зубами.
Как коронки прикрепляются к зубу?
Ваш стоматолог сделает слепок зуба, а в зуботехнической лаборатории изготовит коронку.
Обычно вы покидаете офис с временной коронкой, которую будете носить, пока идет изготовление постоянной — это занимает около двух недель.Затем на зуб цементируется постоянная коронка. Обычно для этого типа процедуры требуется всего два посещения. Часто перед установкой коронки может потребоваться предварительная реставрация зуба. Чтобы стабилизировать зуб, перед установкой коронки можно сначала нанести налет из-за потери первоначальной структуры зуба.
Существует три основных типа коронок: золотые, керамические и золотые, облицованные керамикой. Золотые и металлокерамические коронки чрезвычайно прочные и обычно используются на молярах, где силы от жевания и измельчения являются наиболее распространенными.Все керамические коронки используются для передних и задних зубов. Они лучше всего напоминают естественный цвет зубов.
Коронки без содержания циркония, несъемные частичные протезы, вкладки с современной обработкой плеча • Стоматологические процедуры • Tour de Dental
Самая современная эстетическая стоматология предлагает реставрации высочайшего качества премиум-класса.
От 29000 HUF.
В реставрации нет металла, все слои окрашены в цвет зуба. Это реставрация, которая идеально имитирует наслоение и естественную прозрачность собственных зубов; Таким образом, эти реставрации имеют идеальный эстетический вид и очень прочные.Самая совершенная бордюрная печать с микронной точностью, которую вы можете достичь с помощью самой совершенной на сегодняшний день системы CAD / CAM с компьютерным управлением. На основе подготовленного образца силиконового слепка зуба мы оцифровываем его с помощью трехмерной лазерной сканирующей машины, а бортовые станки с компьютерным управлением без вмешательства человека создают каркас из диоксида циркония, возможность ошибки исключена. Каркас из диоксида циркония изготавливается вручную по технологии, управляемой пантографом.
Результат — безупречная точность и высокий уровень уникального сочетания эстетики.
Для кого мы рекомендуем коронку из оксида циркония?
- потребовалась замена старой керамометаллической коронки (серого цвета, видна металлическая полоса)
- Обработка корневого канала, изменение цвета зуба
- беззубая зона (наиболее эстетичная реставрация — коронка)
- Воспаление десен, устранение неприятного запаха изо рта
- в случае реставраций на имплантатах (рекомендуется для циркониевых имплантатов с циркониевой конструкцией)
Преимущества коронки из оксида циркония:
- он эстетичен и сверхточен, потому что циркониевый протез изготавливается с помощью вышеупомянутой так называемой процедуры CAD / CAD
- реалистично: циркониевый протез практически неотличим от настоящих зубов
- надежный, долговечный: за последние 10 лет по всему миру были изготовлены миллионы циркониевых коронок и несъемных частичных протезов, к большому удовлетворению пациентов.
Многие клинические исследования показали, что реставрации из циркония очень надежны; они служат много лет и десятилетий. - биосовместим: оксид циркония не содержит металлов, поэтому риск аллергии практически исключен. Отвечает строгим требованиям, связанным с имплантологией, поэтому десна вокруг коронок или несъемных частичных протезов полностью здорова.
- благодаря препарированию плеча десна остается здоровой розовой, не воспаляется, не становится синей
Подготовка производится с помощью процедуры CAD-CAM, контролируемой компьютером:
На фото слева титановый каркас, справа — циркониевый каркас, на котором будет керамический винир, закрепленный в имплантатах.(из собственного материала пациентов)
Технология CAD-CAM для изготовления несъемных частичных протезов (циркониевые, титановые, золотые каркасные коронки и INLAYS)
Наш бортовой станок с компьютерным управлением CAD-CAM, который выполняет квадратную обработку каркаса из циркона и вставок:
Какие существуют альтернативы плате за металл?
Изготовление эстетических пломб (вкладок) вместо пломб из амальгамы.
Эстетические безметалловые реставрации вместо керамометаллических коронок, несъемных частичных протезов.
Материал может быть:
BelleGlas: пластик, армированный стекловолокном. Его можно использовать для изготовления вкладок, боковых коронок и традиционных коротких несъемных частичных протезов, а также для изготовления вкладок с фиксацией одноэлементных коротких несъемных частичных протезов. Его недостаток — низкая прочность на разрыв, поэтому он устойчив только для изготовления коротких реставраций; и он не может полировать так гладко, как фарфор, поэтому он лучше удерживает зубной налет.Но его положительная особенность в том, что он не такой жесткий, как фарфор.
Gradia: пластик, армированный керамикой. Область индикации такая же, как у реставраций из материала BelleGlas. Его характеристики такие же, как у BelleGlas. Традиционная керамика: рекомендуется в основном для изготовления вкладок и одиночных коронок; а также виниры. Сейчас эта технология практически не используется.
Прессованная керамика: (на картинке выше вы видите такие вкладки прессованной керамики после замены амальгамы)
- Noritake: из этого материала сначала подготовили твердый каркас и выжигали его в керамике.Из него могут быть изготовлены инкрустация и коронка.
- Cergo Kiss (Degudent): его преимущество в том, что благодаря богатству цветовой гаммы можно создать гораздо более креативные цвета зубов, и, следовательно, его прозрачность может быть гораздо более разнообразной. Из него могут быть изготовлены инкрустация и коронка. Сама керамика не способна изготовить из нее несъемный частичный протез, в этом случае необходим другой материал, например металлический сплав, золото, оксид циркония, который составляет каркас фиксированного частичного протеза и керамическую форму, построенную на нем.
- Керамика, обожженная золотом: из нее можно изготовить все такие работы, которые можно сделать из традиционных керамометаллических, коротких и длинных несъемных частичных протезов.
Не вызывает аллергии; за счет цвета золота тон керамики намного естественнее. Золото гораздо более поддается обработке, пластичнее, поэтому его периферийные части могут иметь более простую форму, из него можно делать точные реставрации.
Технология CAD-CAM для изготовления несъемных частичных протезов (ZIRCONIUM, TITANIUM, каркасные коронки GOLD и INLAYS)
Гипсовая модель, полученная в результате снятия слепка с препарированной поверхности зуба, который сканируют с помощью компьютера.С помощью специальной компьютерной программы завершается так называемая каркасная часть реставрации, которую компьютерная система вырезает из диоксида циркония или титанового блока. К готовому каркасу надевается керамический несущий металлический каркас. Процедура очень точная. Закрытие периферийных частей не уступает самым точным изделиям из золота.
- Каркас из диоксида циркония на самом деле представляет собой каркас без металла, его материал аналогичен керамическому, но он намного прочнее и менее хрупко.
Его прочность на изгиб намного выше, чем у традиционной цельной коронки из фарфорового шпона. Благодаря белому, но окрашиваемому каркасу контакт коронок с периферической частью десны, освобождающейся со временем, не вызывает эстетических жалоб (что нормально), это обеспечивает более длительный комфорт для пациентов. Одно из основных преимуществ: не раздражает слизистую, контактирующую с периферией коронки. Мы рекомендуем: для обесцвеченного зуба с лечением корневых каналов, для закрытых зубов с металлическим штифтом, для замены старых реставраций (из-за вышеупомянутой металлической границы).Кроме того, мы рекомендуем использовать переднюю область по эстетическим причинам, но благодаря постоянному техническому развитию боковой (жевательной) области для замены 2-3 беззубых областей. - Преимущество реставраций каркаса из титана заключается в том, что они не вызывают аллергии, а поскольку материал имплантатов основан на титане, рекомендуется их наращивание (коронки, несъемные частичные протезы).







Диоксид циркония: основа материалов и клиническое применение. Compend Contin Educ Dent. 2010; 31: 710–715.
, Хеллвиг, Э. Оценка рисков и превентивные меры. Mongr Oral Sci. 2006; 20: 190–199.
Многие клинические исследования показали, что реставрации из циркония очень надежны; они служат много лет и десятилетий.
Его прочность на изгиб намного выше, чем у традиционной цельной коронки из фарфорового шпона. Благодаря белому, но окрашиваемому каркасу контакт коронок с периферической частью десны, освобождающейся со временем, не вызывает эстетических жалоб (что нормально), это обеспечивает более длительный комфорт для пациентов. Одно из основных преимуществ: не раздражает слизистую, контактирующую с периферией коронки. Мы рекомендуем: для обесцвеченного зуба с лечением корневых каналов, для закрытых зубов с металлическим штифтом, для замены старых реставраций (из-за вышеупомянутой металлической границы).Кроме того, мы рекомендуем использовать переднюю область по эстетическим причинам, но благодаря постоянному техническому развитию боковой (жевательной) области для замены 2-3 беззубых областей.