Безметалловая керамика e max: Керамическая коронка Emax – керамика на зубы, отзывы, фото до и после
Безметалловая керамика E-MAX (Е МАКС)
Автор статьи:
Анастасия Воронцова
Фото: Керамические коронки e-maxБезметалловая керамика e-max – одно из новейших достижений эстетической стоматологии.
Система IPS.e.max нашла широкое применение в Европе и приобрела высокую популярность среди всех ортопедических реставраций.
Система E-MAX – цельнокерамическая система, каркас которой состоит из стеклокерамики или оксида циркония. Представляет собой прессованную керамику, имеющую высокое содержание кристаллов лейцита, благодаря чему, она обладает высокой прочностью. При этом конструкция состоит полностью из одного материала.
Этот продукт нашел широкое применение для восстановления зубов с изготовлением цельнокерамических коронок и виниров.
Безметалловая керамика е макс, благодаря своей прозрачности, предоставляет большие возможности для восстановления натурального оттенка зубов.
Преимущества
Преимущества системы IPS e.max в следующем:
- Наличие большого опыта применения такой керамики во всем мире.
- Высокая эстетичность конструкций достигается благодаря широкому цветовому спектру, высокой светопроводимости.
- Со временем керамика не изменяет свой внешний вид.
- Высокая прочность керамики.
- Обладает высокой биосовместимостью.
- Простота и легкость в уходе за конструкцией. Не накапливает налет и зубной камень.
- Отсутствие необходимости сильной обточки зубов.
- Долговечность конструкции.
- Отсутствие металла придает особую легкость конструкции.
- Не дает аллергическую реакцию.
Когда применяется
Фото: Керамический винир- Для изготовления цельнокерамических коронок.
- При восстановлении зубов с помощью керамических вкладок. Керамическая вкладка E-MAX превосходит по гигиеничности, прочности и эстетичности и др. характеристикам световую пломбу.
- Если необходимо установить цельнокерамическую коронку на зубные импланты.
- Для устранения зубных дефектов с помощью виниров. При изготовлении виниров из керамики е макс, снимается от 0,3 до 0, 6 мм. эмали с поверхности зуба. При таком подходе зуб выглядит достаточно натурально. Необходимо иметь ввиду, что виниры, изготовленные из материала E-MAX – не самые тонкие.
Технология
Этапы изготовления стоматологических реставраций:
Фото: Керамическая заготовка- Снятие оттисков с верхней и нижней челюстей пациента.
- Изготовление гипсовой модели.
- Моделирование реставрации из воска.
- В специальной печи из керамической заготовки E-MAX прессуется коронка.
- Окрашивание и покрытие керамической массой стеклокерамической коронки и ее обжиг.
- Придание конструкции окончательного цвета путем нанесения дисневых, импульсных, дентиновых эффектмасс и красителей IPS e.max Ceram Shade.
Цены
| Безметалловая керамика | Стоимость |
| Безметалловая коронка E.Max | 14000 |
| Винир из прессованной керамики E.MAX | 12000 |
| Винир из керамики на основе из диоксида циркония | 11000 |
| Циркониевая коронка на импланте | 13000 |
| Безметалловая культевая вкладка из керамики E-max | 1700 |
Отзывы
- После того, как были травмированы передние зубов, пришлось их депульпировать. Через три года зубы поменяли цвет и стали отличаться от здоровых. Делали винирование с помощью световых пломб, но цвет зубов отличался. Когда мне предложили установить безметалловую керамику E-Max, я отказалась, т. к. не хотела обтачивать зубы. Тогда мне предложили поставить фарфоровые виниры, при этом зубы чуть слегка обработали. Цвет зубов теперь не отличается.
- На переднем зубе была установлена коронка из металлокерамики, и было заметно, что зуб не настоящий. По совету стоматолога установила коронку из безметалловой керамики Е МАКС, которая неотличима от моих здоровых зубов. Никто не догадывается, что зуб искусственный.
- На передних зубах были пломбы, которые не совпадали по цвету с зубами и были видны окружающим. Приходилось часто менять пломбы, но результат меня никак не устраивал. В стоматологической клинике, куда я обратилась в очередной раз, посоветовали провести протезирование безметалловой керамикой е-макс. Все получилось достаточно удачно: зубы все одинаковые, как по форме, так и по цвету. Очень понравилось то, что все сделали очень быстро.
Видео: «Протезы из циркония. Компьютерное моделирование»
Похожие статьи:
Установка коронок E-Max в ТОП1 клинике Москвы
Стоматологические клиники Немецкого Имплантологического Центра — современные центры дентальной медицины европейского уровня. В своей работе мы применяем последние технологии лечения, имплантации и протезирования зубов — малотравматичные, безболезненные и гарантирующие многолетний эффект.Эстетические дефекты зубов вызывают физический и эмоциональный дискомфорт у пациентов. Протезирование зубов, в том числе по технологии E-Max, в Немецком имплантологическом центре позволяет эффективно решить эту проблему. Пролистав материал чуть ниже, вы сможете ознакомиться с нашими работами.
Коронка керамическая емакс — естественная красота улыбки
Безметалловая коронка E-Max — протез нового поколения, обладающий одновременно высокой прочностью и идеальной эстетикой.

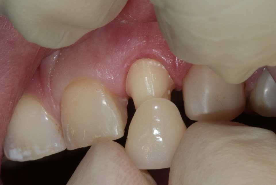
Керамические коронки E-Max могут использоваться для замещения одного или нескольких отсутствующих зубов, как в нижнем случае, исполненном нашим замечательным ортопедом Карнеевым Андреем Николаевичем:

Подробнее про комбинированное протезирование зубов, с использованием как циркониевых коронок, так и керамики E-max, вы можете прочитать ЗДЕСЬ.
Кроме того, эта керамика отлично подходит для изготовления виниров: она буквально преображает передние зубы, а за счет меньшей толщины и повышенной прочности не требует глубокой обточки эмали.
Вопреки сложившемуся мнению, технология E-Max не нова, но настоящую популярность она получила в последние годы, когда пациенты стали предъявлять особое требование к естественному виду виниров и коронок. И действительно, этот передовой материал повторяет цвет и структуру натурального зуба, пропуская свет и обладая достаточной степенью прозрачности.
Как создаются реставрации из керамики E-Max?
В основе протеза лежит крепкий каркас из диоксида циркония или стекловолокна. Нужно отметить, что оба эти материала не только прочны, но еще и имеют светлый оттенок, а потому цвет реставрации не искажается, как это происходит с металлокерамикой. Сверху базис покрывается керамическим слоем из дисиликата лития. Этот слой либо подкрашивают, либо используют технику редукции с последующей индивидуализацией керамическими массами, что дает нужный эффект глубины и высокую эстетику.
Ортопедические конструкции создаются индивидуально для каждого пациента. Сначала врач снимает слепки c зуба (или заменяющего его имплантата), а также с обеих челюстей. Оттиски передаются в зуботехническую лабораторию, где на основе полученных данных создается гипсовая модель будущей коронки. Изделия E-Max изготавливаются двумя методами:
- Горячего прессования с последовательным нанесением керамических слоев;
- Трехмерного моделирования в программах CAD/CAM с фрезеровкой изделия согласно полученной модели. Затем следует окрашивание или редуцирование с послойным нанесением керамической массы, чтобы отобразить все анатомические нюансы коронки.
В клиниках Немецкого Имплантологического Центра используется вторая методика, так как она дает наиболее предсказуемый результат.
Где лучше ставить коронки E-max?
Ни для кого не секрет, что такие эстетические операции, как установка установка коронок из E-max, надо проводить только в серьезных и проверенных клиниках. У лучших специалистов. У профессионалов своего дела, за плечами которых — тысячи успешно проведенных операций по эстетической ортопедии, винирингу и другим эстетическим реставрациям зубов.
Почему мы предлагаем установку коронок проводить у нас, в наших клиниках?
Всероссийский рейтинг частных стоматологических клиник 2019 года подтвердил лидерство клиник Немецкого Имплантологического Центра в категориях «Клиники возраста до 3-х лет» и «Клиники старше 3 лет». 100 лучших российских клиник в каждой из этих категорий боролись за право быть первыми, и мы — вновь стали лучшими в России!
Награждение прошло 23 сентября 2019 года в рамках крупнейшей стоматологической выставки России — DENTAL EXPO 2019.
В категории «Клиники возраста до 3-лет» — клиника НИЦ в Раменках:
В категории «Клиники старше 3-лет» — клиника НИЦ на Киевской,
которая успешно проводит имплантацию зубов уже более 9 лет:Какие виды протезов создают из керамики E-Max?
Коронки на передние и боковые зубы
Мостовидные протезы по технологии E-max не делают
Мостовидные протезы — в основном, только циркониевые. А по технологии E-max выполняют одиночные протезы.
Керамические виниры E-Max
Коронки с опорой на имплантат
Все плюсы технологии E-Max
- Отличная биосовместимость. Материал керамической коронки «Емакс» не отторгается организмом и не вызывает аллергии благодаря отсутствию металлических элементов.
- Привлекательный внешний вид. Прессованная керамика пропускает свет подобно натуральной эмали, а прочный каркас белого цвета не искажает оттенок реставраций.
- Легкость. Технология прессования обеспечивает меньшие вес и толщину, чем у обычных керамических коронок.
- Прочность. Несмотря на легкость конструкции, E-Max — подходящий вариант для протезирования жевательной зоны. Материал прочнее не только металлокерамики, но и прогрессивного диоксида циркония, который все же предпочтительнее ставить на передние зубы.
- Гигиеничность. На керамической поверхности намного медленнее скапливается зубной налет и появляются твердые отложения.
Единственный недостаток коронки на зуб E-Max — цена изготовления. Впрочем, учитывая надежность этого материала, в долгосрочной перспективе можно говорить об экономии: ортопедические конструкции из прессованной керамики реже требуют замены.
Обратите внимание, что если вы проводите имплантацию, то установку постоянной коронки предваряет временная коронка.
особенности и преимущества современных керамических коронок е-max
Стоматологии, в которых возможна установка керамических коронок
E-max – это современная безметалловая керамика. Коронки E-max уже давно ставят в Европе, и сейчас эта технология приобретает все большую популярность в России. Чем же она так хороша, что успешно конкурирует даже с диоксидом циркония? Попробуем разобраться в этом вопросе.
Содержание:
Преимущества и недостатки
Материал E-max обладает рядом преимуществ по сравнению со многими другими материалами для протезов, коронок и виниров.
В первую очередь керамика E-max отличается высокой прочностью – около 500 Мпа. Это очень большой показатель для керамического изделия. Таким протезом можно смело пережевывать даже твердую пищу, не опасаясь трещин и сколов.
Из прочности вытекает и долгий срок службы – от 15 лет и выше, в то время как другие зубные протезы обычно служат не больше 10 лет.

Коронки E-Max
Кроме прочности E-max отличается высокой эстетикой. Поскольку у коронок нет каркаса, их можно сделать в меру прозрачными, как естественные зубы. Оттенок выбирается индивидуально для придания улыбке большей естественности – его можно сделать таким же, как цвет зубов пациента.
Еще одно свойство материала – термоустойчивость. Он легко переносит перепады температуры, не трескается и не меняет цвет.
Все эти плюсы сочетаются с биосовместимостью. Прессованная керамика E-max не вызывает аллергических реакций, организм воспринимает ее как естественную часть себя, не возникает отторжения или раздражения.
Из недостатков можно отметить то, что ставить ее необходимо далеко не во всех клинических случаях – перед установкой нужно проконсультироваться с опытным стоматологом.
Технология изготовления
Для керамических коронок E-max, как и для других, нужны слепки с челюстей пациента. На их основе сначала изготавливается гипсовая модель, а потом делается модель из воска.
По восковой модели из заготовки E-max под большим давлением прессуется коронка. Для такой процедуры нужно сложное и дорогое оборудование, поэтому далеко не все клиники предлагают цельнокерамические прочные реставрации.

Аппарат для изготовления безметалловых коронок
Когда протез готов, он окрашивается, покрывается керамической массой и получает цвет. Для этого на него наносят запатентованные красители IPS Ceram Shade, обеспечивающие полную естественность оттенка.
Как проходит установка
Общий план установки коронки E-max:
Подготовка, рентгеновские снимки, консультация с врачом и выявление показаний и противопоказаний.
Обточка зуба либо удаление проблемного зуба и вживление импланта.
Снятие слепков с челюстей.
Изготовление коронок.

Установка коронки
Примерка и фиксация готового протеза. Если он ставится на имплантат, то искусственный корень сначала должен прижиться. Обычно приживление занимает 3-6 месяцев.
Стоимость
Коронка из безметалловой керамики E-max в среднем стоит 20 тысяч – примерно столько же, сколько из диоксида циркония.
В эту стоимость не входят подготовительные манипуляции, они обычно оплачиваются отдельно.
Сравнение с другими материалами коронок
Металлокерамика
Керамическое напыление на металлическом каркасе позволяет создать прочную и в меру эстетичную коронку. К сожалению, о прозрачности тут говорить нельзя, а со временем металл станет проступать из-под керамики.
Цельная керамика
Обычная цельная керамика не менее эстетична, чем E-max, поэтому ее часто ставят на передние зубы. Однако по прочности она сильно уступает – высокая жевательная нагрузка может вызвать поломку коронки. Цельную керамику рекомендуется ставить, если вы не планируете нагружать зубы твердыми продуктами и желаете сэкономить, обеспечив максимальную эстетику.

Виды коронок
Empress
Empress – это еще один вариант прессованной керамики, пока не очень широко распространенный. Он уступает E-max по прочности, поэтому ставят его только на передние зубы.
Диоксид циркония
Этот популярный материал по факту является металлом, но очень эстетичным. Сравнивать его с E-max сложно – стоимость почти одинаковая, как и другие показатели. Однако диоксид циркония все же прочнее прессованной керамики, так что именно его рекомендуется ставить в боковых отделах пациентам, которые скрежещут зубами.
На импланты цирконий тоже встает лучше, так как он более биосовместим и меньше раздражает десну. А вот единичную коронку стоматологи рекомендуют делать из E-max. Особенно это актуально для передних зубов – эстетика прессованной керамики выше.
Часто материалы совмещают – спереди ставят E-max, а по бокам диоксид циркония. Поэтому выбирать, какой материал лучше, следует доверить стоматологу.
Полезная статья?
Сохрани, чтобы не потерять!
Отказ от ответственности: Этот материал не предназначен для обеспечения диагностики, лечения или медицинских советов. Информация предоставлена только в информационных целях. Пожалуйста, проконсультируйтесь с врачом о любых медицинских и связанных со здоровьем диагнозах и методах лечения. Данная информация не должна рассматриваться в качестве замены консультации с врачом.
Читайте также
Нужна стоматология? Стоматологии МосквыВыберите метро Авиамоторная Автозаводская Академическая Александровский сад Алексеевская Алтуфьево Аннино Арбатская Аэропорт Бабушкинская Багратионовская Баррикадная Бауманская Беговая Белорусская Беляево Бибирево Библиотека имени Ленина Новоясеневская Боровицкая Ботанический Сад Братиславская Бульвар Дмитрия Донского Варшавская ВДНХ Владыкино Водный Стадион Войковская Волгоградский Проспект Волжская Волоколамская Воробьевы Горы Выхино Деловой Центр Динамо Дмитровская Добрынинская Домодедовская Дубровка Измайловская Партизанская Калужская Кантемировская Каховская Каширская Киевская Китай-Город Кожуховская Коломенская Комсомольская Коньково Красногвардейская Краснопресненская Красносельская Красные Ворота Крестьянская Застава Кропоткинская Крылатское Кузнецкий Мост Кузьминки Кунцевская Курская Кутузовская Ленинский Проспект Лубянка Люблино Марксистская Марьина Роща Марьино Маяковская Медведково Менделеевская Митино Молодежная Нагатинская Нагорная Нахимовский Проспект Новогиреево Новокузнецкая Новопеределкино Новослободская Новые Черемушки Октябрьская Октябрьское Поле Орехово Отрадное Охотный Ряд Павелецкая Парк Культуры Парк Победы Первомайская Перово Петровско-Разумовская Печатники Пионерская Планерная Площадь Ильича Площадь Революции Полежаевская Полянка Пражская Преображенская Площадь Пролетарская Проспект Вернадского Проспект Мира Профсоюзная Пушкинская Речной Вокзал Рижская Римская Рязанский Проспект Савеловская Свиблово Севастопольская Семеновская Серпуховская Смоленская Сокол Сокольники Спортивная Сретенский Бульвар Строгино Студенческая Сухаревская Сходненская Таганская Тверская Театральная Текстильщики Теплый Стан Тимирязевская Третьяковская Трубная Тульская Тургеневская Тушинская Улица 1905 Года Улица Академика Янгеля Бульвар Рокоссовского Университет Филевский Парк Фили Фрунзенская Царицыно Цветной Бульвар Черкизовская Чертановская Чеховская Чистые Пруды Чкаловская Шаболовская Шоссе Энтузиастов Щелковская Щукинская Электрозаводская Юго-Западная Южная Ясенево Бунинская Аллея Улица Горчакова Бульвар Адмирала Ушакова Улица Скобелевская Улица Старокачаловская Мякинино Улица Сергея Эйзенштейна Достоевская Международная Выставочная Славянский бульвар Борисово Шипиловская Зябликово Пятницкое шоссе Алма-Атинская Новокосино Жулебино Лермонтовский Проспект Тропарево Битцевский парк Румянцево Саларьево Технопарк Смоленская-2 Спартак Котельники Бутырская Окружная Верхние Лихоборы Фонвизинская Ломоносовский проспект Раменки Выставочный центр Улица Академика Королёва Улица Милашенкова Селигерская Мичуринский проспект Озёрная Говорово Солнцево Боровское шоссе Рассказовка Панфиловская Зорге Ховрино Минская Шелепиха Хорошёвская ЦСКА Петровский парк Лесопарковая Телецентр Андроновка Нижегородская Новохохловская Угрешская ЗИЛ Верхние Котлы Площадь Гагарина Лужники Хорошёво Стрешнево Коптево Балтийская Ростокино Белокаменная Локомотив Измайлово Соколиная гора Крымская Беломорская Косино Некрасовка Лухмановская Улица Дмитриевского Лихоборы
Посмотрите стоматологии Москвы
Возле метро Авиамоторная Автозаводская Академическая Александровский сад Алексеевская Алтуфьево Аннино Арбатская Аэропорт Бабушкинская Багратионовская Баррикадная Бауманская Беговая Белорусская Беляево Бибирево Библиотека имени Ленина Новоясеневская Боровицкая Ботанический Сад Братиславская Бульвар Дмитрия Донского Варшавская ВДНХ Владыкино Водный Стадион Войковская Волгоградский Проспект Волжская Волоколамская Воробьевы Горы Выхино Деловой Центр Динамо Дмитровская Добрынинская Домодедовская Дубровка Измайловская Партизанская Калужская Кантемировская Каховская Каширская Киевская Китай-Город Кожуховская Коломенская Комсомольская Коньково Красногвардейская Краснопресненская Красносельская Красные Ворота Крестьянская Застава Кропоткинская Крылатское Кузнецкий Мост Кузьминки Кунцевская Курская Кутузовская Ленинский Проспект Лубянка Люблино Марксистская Марьина Роща Марьино Маяковская Медведково Менделеевская Митино Молодежная Нагатинская Нагорная Нахимовский Проспект Новогиреево Новокузнецкая Новопеределкино Новослободская Новые Черемушки Октябрьская Октябрьское Поле Орехово Отрадное Охотный Ряд Павелецкая Парк Культуры Парк Победы Первомайская Перово Петровско-Разумовская Печатники Пионерская Планерная Площадь Ильича Площадь Революции Полежаевская Полянка Пражская Преображенская Площадь Пролетарская Проспект Вернадского Проспект Мира Профсоюзная Пушкинская Речной Вокзал Рижская Римская Рязанский Проспект Савеловская Свиблово Севастопольская Семеновская Серпуховская Смоленская Сокол Сокольники Спортивная Сретенский Бульвар Строгино Студенческая Сухаревская Сходненская Таганская Тверская Театральная Текстильщики Теплый Стан Тимирязевская Третьяковская Трубная Тульская Тургеневская Тушинская Улица 1905 Года Улица Академика Янгеля Бульвар Рокоссовского Университет Филевский Парк Фили Фрунзенская Царицыно Цветной Бульвар Черкизовская Чертановская Чеховская Чистые Пруды Чкаловская Шаболовская Шоссе Энтузиастов Щелковская Щукинская Электрозаводская Юго-Западная Южная Ясенево Бунинская Аллея Улица Горчакова Бульвар Адмирала Ушакова Улица Скобелевская Улица Старокачаловская Мякинино Улица Сергея Эйзенштейна Достоевская Международная Выставочная Славянский бульвар Борисово Шипиловская Зябликово Пятницкое шоссе Алма-Атинская Новокосино Жулебино Лермонтовский Проспект Тропарево Битцевский парк Румянцево Саларьево Технопарк Смоленская-2 Спартак Котельники Бутырская Окружная Верхние Лихоборы Фонвизинская Ломоносовский проспект Раменки Выставочный центр Улица Академика Королёва Улица Милашенкова Селигерская Мичуринский проспект Озёрная Говорово Солнцево Боровское шоссе Рассказовка Панфиловская Зорге Ховрино Минская Шелепиха Хорошёвская ЦСКА Петровский парк Лесопарковая Телецентр Андроновка Нижегородская Новохохловская Угрешская ЗИЛ Верхние Котлы Площадь Гагарина Лужники Хорошёво Стрешнево Коптево Балтийская Ростокино Белокаменная Локомотив Измайлово Соколиная гора Крымская Беломорская Косино Некрасовка Лухмановская Улица Дмитриевского Лихоборы
Безметалловая керамика E-max в Москве
Одна из последних успешных находок науки и медицины в сфере эстетической стоматологии — безметалловая керамика E-max, успевшая приобрести сегодня довольно значительную популярность в странах всего мира.
Что собой представляет безметалловая керамика E-max
Стоматологическая конструкция E-max представляет собой цельнокерамическую систему, для создания прочного каркаса, который состоит из стеклокерамики или оксида циркония. Это прессованные керамические материалы с достаточно большим количеством уникальных кристаллов лейцита в своем составе, масса для восстановления разрушенных зубов однородная и состоит практически из одного материала.
Применяется данная керамика для создания особо прочных коронок и виниров, которые требуются при восстановительных работах в стоматологии. Материал для создания коронок прозрачный и позволяет восстановить натуральный оттенок зубной эмали. Таким образом безметалловая керамика E-max дает широкие возможности в области эстетической и восстановительной стоматологии.
Преимущества методики с использованием E-max
Подобная методика восстановления зубов имеет массу положительных сторон:
- эмаль имеет прекрасный эстетический вид;
- с течением времени поверхность коронки не меняет оттенка;
- используются материалы высочайшей прочности;
- отличные показатели биосовместимости;
- простота ухода за искусственной коронкой;
- не требует значительной обточки зубов;
- невероятная долговечность использованных материалов;
- легкость конструкции в виду отсутствия металлов в составе;
- отсутствие аллергических реакций.
Современная безметалловая керамика E-max, цена которой в сравнении с многими имплантационными технологиями достаточно невелика, имеет отличные показания гигиенических норм, обладают особой прочностью и эстетическими свойствами.
Восстановительная стоматология в Москве
Безметалловая керамика E-max требует создания на начальном этапе гипсовой модели по оттискам челюстей пациента. После этого из воска производится процесс реставрации, и затем в специально разработанной для этих целей печи из особой керамической заготовки путем прессования создается необходимая коронка.
После изготовления, коронка требует покрытия специальной керамической массой, и затем производится обжиг созданной конструкции. Отличного качества безметалловая керамика E-max в Москве доступна в нашей клинике, а наши специалисты имеют достаточно большой опыт работы с восстановительными материалами в стоматологии.
Возможно вас заинтересует
E.Max — современная пресс керамика
E.Max – эстетическая реставрация
В последние годы потребность в эстетической стоматологии возросла в разы, и это вполне объяснимо – современные пациенты используют весь арсенал имеющихся средств для улучшения внешних показателей зубного ряда, как элемента положительного имиджа.
Социальный статус и внешняя культура нашего современника не допускают безалаберного отношения к своему «зубному» здоровью и эстетическому виду.
Тренд современной стоматологии – сохранение природной красоты здоровых зубов. Одно из самых перспективных направлений в протезировании зубов — безметалловая керамика e max.
Цельнокерамическая система ips e.max открывает широкие возможности при любых показаниях – от мостовидных протезов большой протяженности до элитных люминиров.
Система е мах представляет цельнокерамическую систему, в основе которой каркас из оксида циркония или стеклокерамики. Высокое содержание кристаллов лейцита в прессованной керамике существенно повышает ее прочность.
История создания и активного применения e.max насчитывает около 20 лет – компания Ivoclar Vivadent (Германия) открыла новые горизонты в сфере эстетической стоматологии, создав новое поколение безметалловой керамики. До изобретения е мах новаторская роль отводилась металлокерамическим коронкам.
ips e.max – научные данные
Керамический высокопрочный материал – дисликат лития – обладает прочностью на изгиб до 400 МПа и идеально подходит для изготовления монолитных анатомических реставраций. Данные о свойствах этого материала и возможностях его применения в ортопедической стоматологии были получены в результате комплекса исследовательских мероприятий в американском университете в Нью-Йорке. Так, было установлено, что уникальный потенциал дисликат-литиевой керамики (IPS e.max Press, Ivoclar Vivadent) позволил методом прессования изготавливать ультратонкие и минимально инвазивные реставрации с превосходным эстетическим результатом.
E Max керамика – это коронки, вкладки, накладки, виниры из дисиликата лития.
В зависимости от конкретной клинической ситуации врач-стоматолог подбирает соответствующий цельнокерамический материал:
— с целью достижения отличного эстетического эффекта для боковой и передней группы зубов при выполнении одиночных реставраций удачным будет выбор в пользу дисиликата лития,
— если намечена реставрация большой протяженности, например, это мостовидные протезы в жевательном отделе, где так важна повышенная прочность, рекомендована основа из оксида циркония ips e.max.
E Max керамика – поговорим о преимуществах
Достоинства ips e.max системы характеризуются высокими стандартами качества:
- повышенная прочность;
- высокая степень биосовместимости;
- безупречная эстетичность конструкций благодаря светопропускной способности и расширенной цветопередаче;
- минимальная обточка зубов;
- низкая масса конструкции и легкость из-за отсутствия металла;
- долговечность и сохранение первоначального вида на протяжении всего срока эксплуатации;
- исключение образования налета и зубного камня;
- простые и удобные правила ухода.

Пресс керамика e.max ДО и ПОСЛЕ
Безметалловая керамика e max – показания к применению:
- при изготовлении цельнокерамических коронок;
- для реставрации с помощью керамических вкладок;
- при установке цельнокерамической коронки на импланты;
- устранение дефектов путем использования виниров.
Пресс керамика – технологические этапы:
- оформление оттисков;
- формирование гипсовой модели на основании оттисков;
- моделирование восковой конструкции;
- прессование коронки из керамической заготовки e.max в специальной печи;
- окрашивание, облицовка керамической массой и обжиг коронки;
- закрепление цвета с помощью эффектмасс и специальных красителей ips e.max.
Безметалловая керамика e max прекрасно подходит для реставрации полностью разрушенных зубов, но если разрушена лишь часть зуба, то нет смысла устанавливать целую коронку.

Частичная коронка или керамическая вкладка в соответствии с концепцией микропротезирования позволит сохранить максимальный объем живой ткани зуба.
Позвоните нам прямо сейчас!
☎+38 (057) 750-69-22 ☎+38 (067) 950-48-30 ☎+38 (050) 957-05-83 ☎+38 (063) 484-88-80
И мы поможем выбрать Вам хорошего стоматолога всего за несколько минут!
Пресс керамика – отзывы
Прессованная керамика е мах представляет собой конструкционный материал для идеального решения стоматологических проблем. Высокий предел прочности и оптические характеристики иллюстрируют широкие возможности данного вида протезирования.
Тема реставрации e.max интересует все большее количество пациентов – и это вполне обоснованно, поскольку виниры, вкладки, люминиры, изготовленные на основе безметалловой керамики, превосходят по всем показателям известные в стоматологии материалы.
Прессованная керамика логично предполагает более высокие цены, чем классические металлокерамические конструкции, но это не отпугивает пациентов, стремящихся провести реставрацию зубов на уровне высоких европейских стандартов. Как и натуральные зубы, пресс керамика требует постоянного ухода в домашних условиях, но желательно один раз в году посещать врача для профилактического осмотра и употреблять профессиональные гигиенические средства по совету специалиста.
Отзывы на стоматологических форумах в тематических разделах — пресс керамика, e.max – неизменно положительны вследствие прекрасных оптических и физических свойств.

Часто пациенты, не определившись с выбором, обращают внимание на мнение тех, кто уже испытал на себе процесс протезирования зубов, а также интересуются точкой зрения опытных специалистов. Необходимо отметить, что е max керамика достигла успеха и признания, закрепив высокие характеристики на практике, но показания к ее применению индивидуальны, поэтому особенно важно заранее уточнить все нюансы протезирования, ценовую шкалу, показания и противопоказания, а затем принимать решение с учетом медицинской рекомендации.
E Max керамика – в какую стоматологическую клинику обратиться?
Если Вы уже определились и Ваш выбор — безметалловая керамика e max, то непременно возникнет ряд вопросов:
— как сделать оптимальный выбор клиники и врача-ортопеда?
— как выяснить фактический уровень стоматологического сервиса в клинике?
В основном, современные пациенты являются активными пользователями Сети и составляют запросы в поисковой системе — е мах, прессованная керамика.
Не является секретом, что в Сети реклама большей частью носит коммерческий характер в угоду интересам рекламодателей. Рекомендации знакомых также не всегда оказываются полезны.
Вас заинтересовал данный вид протезирования!?
Мы предлагаем Вам единственно верный путь — помощь коллектива специалистов!
С «Гидом по Стоматологии» у вас не возникнет неясной ситуации с проблемой выбора – мы знаем путь к успешному протезированию и лечению. Наша профессиональная бесплатная рекомендация гарантирует непредвзятую оценку показателей стоматологического сервиса.
Гарантия отличного результата лечения и протезирования любой сложности — компетентный совет от «Гида по Стоматологии».
Гид по Стоматологии:

- знает оптимальный и комфортный для Вас вариант лечения и протезирования и поможет Вам принять решение с учетом Ваших запросов;
- порекомендует специалистов с опытом работы в необходимой Вам сфере – e max керамика;
- поможет принять верное решение при выборе клиники, частного кабинета, врача-ортопеда.
Внимание !!! Данная услуга предоставляется бесплатно и с гарантией качества. Доверьте свой выбор профессионалам.

С этой статьей читают:
18.11.2015 00:37
Коронки из безметалловой керамики по технологии E-Max (И-Макс) это действительно передовая и доступная технология для решения разнообразных клинических задач в современной косметической стоматологии. Технология коронок e.max была разработана в Германии и заслуженно пользуется доверием пациентов во всем мире. Преимуществом материала, из которого изготавливаются коронки, состоит в том, что он в своей структуре содержит гораздо меньше стеклоподобного наполнителя, а химическая решетка материала наполнена микроскопическими частицами люцита, самыми маленькими, по сравнению с остальными массами. Именно размер этих частиц имеет значение,- чем меньше частицы в решетке, тем прочнее материал. Передний отдел зубного ряда всегда наиболее заметен при разговоре и улыбке. При этом, ваш собеседник видит передние зубы под углом 90 градусов без светопотери, и ему становятся заметны даже самое незначительное отличие коронки по цвету или по форме от соседних, естественных зубов. Коронки из пресскерамики по технологии e.max решают именно эту проблему. Главным и существенным отличием безметалловых коронок от классических, является отсутствие металлического каркаса, который, чтобы он не просвечивал через керамическую облицовку, маскируют довольно толстым слоем керамики. Следовательно, для того, чтобы металлокерамическая коронка выглядела эстетичной, необходима достаточная толщина коронки, это вынуждает стоматолога, для того чтобы обеспечить необходимый объем, сошлифовывать дополнительный объем ткани зубов, делая культи опорных зубов меньше. Технология пресскерамики, при сравнительно меньшей толщине коронки, позволяет добиться желаемой эстетики, сделать коронку неотличимой от рядом стоящих зубов с меньшей потерей тканей опорного зуба, так же Коронки Emax фиксируются на специальный цемент, который связывает ткани опорного зуба и поверхность конструкции на микроскопическом уровне. Такая фиксация способствует тому, что она практически становится неотъемлемой частью восстановленного зуба. Чем отличается коронка из пресскерамики от обычной металлокерамической коронки? Безметалловые керамические коронки E-Max — это керамические коронки последнего поколения. Данная технология позволяет добиться действительно выдающихся эстетических результатов, меньше обтачивая зубы. Коронка сделанная из пресскерамики фиксируется на специальный цемент, который на микроскопическом уровне связывает коронку и ткани опорного зуба. Так, коронка в буквальном смысле становится неотъемлемой частью зуба. Технология керамики e-max позволяет как делать цельнопрессованные коронки и виниры, так и наносить дополнительные керамические слои, придавая композиции утонченный, естественный и живой внешний вид. Почему стоит выбрать именно коронки из E-Max?
|
Безметалловая керамика E-max, цены, преимущества, установка коронок Е МАКС
Появление безметалловой коронки стало настоящим прорывом в эстетической стоматологии. Однако, при своей красоте и схожести с натуральными зубами, коронки из фарфора имеют серьезный недостаток – низкую прочность. Позже появились высокотехнологичные прочные коронки на основе циркония и алюминия. Они имеют массу преимуществ и широко применяются благодаря отличным эксплуатационным и эстетическим свойствам. Еще один прорыв – изобретение коронок E-max.
Что лучше керамика или металлокерамика — просмотр видео поможет сделать выбор
Особенности коронок E-max
Создатели этих конструкция преследовали непростую цель. Это создание коронок высокой прочности с максимально высокими эстетическими свойствами. Они нашли оптимальное решение – системы на основе стеклокерамики. Это абсолютно биосовместимый материал на основе дисиликата лития.
Преимущества
- Высокая прочность керамических коронок.
- Эстетичность. E-max считаются одними из наиболее натурально выглядящих коронок. Уникальная технология изготовления позволяет специалисту регулировать не только цвет, но и уровень прозрачности изделия. Таким образом, можно добиться абсолютного внешнего соответствия натуральным зубам.
- Универсальность. Восстановить можно зуб любого типа, мостовидных конструкций. Обычно цельнокерамические коронки не используются для жевательных зубов. Новая технология позволила преодолеть этот барьер.
- Срок службы. Цельнокерамические коронки E-max служат более 15 лет. Это высший показатель среди подобных конструкций.
- Биосовместимость. Коронки не вызывают аллергии. Это достигается благодаря использованию специализированных материалов нового поколения.
- Простота установки. Благодаря тому, что эти коронки гораздо тоньше всех прочих (даже циркониевых), для их установки не нужно сильно повреждать зуб. При этом плотность прилегания максимальная.
Как изготавливаются коронки E-max?
- Изготовление оттиска.
- Производство гипсовой модели.
- Восковое моделирование.
- Прессование коронки высокой прочности в специализированной печи.
- Облицовка массой из керамики, придание нужного оттенка.
- Обжиг для придания необходимых свойств.
- Закрепление цвета при помощи красителей и эффектмасс.
По этой технологии могут изготавливаться не только цельные коронки, но и виниры, вкладки. При изготовлении применяется компьютерное моделирование, что положительно влияет на конечный результат.
Особенности установки коронок E-max
- Подготовка ротовой полости, устранение кариеса, заболеваний десен и других проблем.
- Зачистка зуба, придание формы, оптимальной для закрепления Emax коронки.
- Снятие слепка, восковой репродукции, изготовление коронки методом прессования из заготовки.
- Примерка, фиксация готового изделия.
Цены
Стоимость цельнометаллических коронок E-max довольно высока и находится на одном уровне с циркониевыми протезами. Это обусловлено технологией изготовления, дороговизной современных материалов. Точную стоимость можно узнать, обратившись в «Стоматологию Удивительных Цен» для консультации. Цельнокерамические коронки нового поколения неотличимы от натуральных зубов и служат гораздо дольше более дешевых вариантов. При качественной установке и должном уходе красивая улыбка обеспечена на долгие годы.
Врачи, которые оказывают данную услугу:
Система IPS e.max
перейти к содержанию Перейти к навигации- Проводить исследования
- Клинические продукты
- Клеи
- Клеи
- Adhese Universal
- Excite F / Excite F DSC
- Синтакс
- Гелиобонд
- Сравнить все клеи
- Гели для травления
- Total Etch Gel
- Жидкость для подготовки электронной почты
- Клеи
- CAD / CAM материалы
- Блоки
- IPS e.макс. канадских долларов
- IPS e.max ZirCAD
- IPS Empress CAD
- Tetric CAD
- Telio CAD
- Блоки
- Цементация
- Цементы
- Variolink Esthetic
- Multilink Automix
- SpeedCEM Plus
- Сравнить все Dual-Cure
- Навигационная система для цементации
- Грунтовка и очиститель
- Цементы
- Клеи
- Клинические продукты
IPS e.max Ceram
- На корпоративный сайт
Ivoclar Vivadent
Глобальный
Америка
-
Бразилия -
Канада -
Колумбия -
Мексика -
США - Другие страны Латинской Америки
Европа
-
Австрия -
Бенилюкс -
Хорватия - Республика Чехия
-
Франция -
Германия -
Греция -
Венгрия -
Италия -
Лихтенштейн -
Польша -
Румыния
IPS e.max Дисиликат лития
- На корпоративный сайт
Ivoclar Vivadent
Глобальный
Америка
-
Бразилия -
Канада -
Колумбия -
Мексика -
США - Другие страны Латинской Америки
Европа
-
Австрия -
Бенилюкс -
Хорватия - Республика Чехия
-
Франция -
Германия -
Греция -
Венгрия -
Италия -
Лихтенштейн -
Польша -
Румыния -
Россия
IPS e.max System Dentists
- На корпоративный сайт
Ivoclar Vivadent
Глобальный
Америка
-
Бразилия -
Канада -
Колумбия -
Мексика -
США - Другие страны Латинской Америки
Европа
-
Австрия -
Бенилюкс -
Хорватия - Республика Чехия
-
Франция -
Германия -
Греция -
Венгрия -
Италия -
Лихтенштейн -
Польша -
Румыния -
Россия -
Словения
Бразилия
Канада
Колумбия
Мексика
США
Австрия
Бенилюкс
Хорватия
Франция
Германия
Греция
Венгрия
Италия
Лихтенштейн
Польша
Румыния
Россия
Словения